Suppr超能文献

心力衰竭时磷酸化结蛋白及其降解产物水平升高。

Increased level of phosphorylated desmin and its degradation products in heart failure.

作者信息

Bouvet Marion, Dubois-Deruy Emilie, Alayi Tchilabalo Dilezitoko, Mulder Paul, El Amranii Myriam, Beseme Olivia, Amouyel Philippe, Richard Vincent, Tomavo Stanislas, Pinet Florence

机构信息

INSERM, U1167, University Lille, Institut Pasteur de Lille, F-59000 Lille, France.

University Lille, CNRS UMR8204, INSERM, U1019, Institut Pasteur de Lille, Plateforme de Protéomique et des Peptides Modifiés (P3M), F-59000 Lille, France.

出版信息

Biochem Biophys Rep. 2016 Feb 27;6:54-62. doi: 10.1016/j.bbrep.2016.02.014. eCollection 2016 Jul.

Abstract

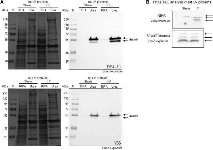
Although several risk factors such as infarct size have been identified, the progression/severity of heart failure (HF) remains difficult to predict in clinical practice. Using an experimental rat model of ischemic HF and phosphoproteomic technology, we found an increased level of phosphorylated desmin in the left ventricle (LV) of HF-rats. The purpose of the present work is to assess whether desmin is a circulating or only a tissue biomarker of HF. We used several antibodies in order to detect desmin, its proteolytic fragments and its phosphorylated form in LV and plasma by western blot, phosphate affinity electrophoresis, mass spectrometry and immunofluorescence. Plasma was treated with combinatorial peptide ligand library or depleted for albumin and immunoglobulins to increase the sensitivity of detection. We found a 2-fold increased serine-desmin phosphorylation in the LV of HF-rats, mainly in the insoluble fraction, suggesting the formation of desmin aggregates. Desmin cleavage products were also detected in the LV of HF rats, indicating that the increased phosphorylation of desmin results in more susceptibility to proteolytic activity, likely mediated by calpain activity. The native desmin and its degradation products were undetectable in the plasma of rat, mouse or human. These data suggest the potential of serine-phosphorylated form of desmin and its degradation products, but not of desmin itself, as tissue but not circulating biomarkers of HF.

摘要

尽管已经确定了梗死面积等多种风险因素,但在临床实践中,心力衰竭(HF)的进展/严重程度仍然难以预测。利用缺血性HF实验大鼠模型和磷酸化蛋白质组学技术,我们发现HF大鼠左心室(LV)中结蛋白的磷酸化水平升高。本研究的目的是评估结蛋白是HF的循环生物标志物还是仅为组织生物标志物。我们使用了几种抗体,通过蛋白质免疫印迹、磷酸盐亲和电泳、质谱和免疫荧光检测左心室和血浆中的结蛋白、其蛋白水解片段及其磷酸化形式。血浆用组合肽配体库处理或去除白蛋白和免疫球蛋白以提高检测灵敏度。我们发现HF大鼠左心室中丝氨酸 - 结蛋白磷酸化增加了2倍,主要存在于不溶性部分,提示结蛋白聚集体的形成。在HF大鼠的左心室中也检测到了结蛋白裂解产物,表明结蛋白磷酸化增加导致其对蛋白水解活性更敏感,可能由钙蛋白酶活性介导。在大鼠、小鼠或人类的血浆中未检测到天然结蛋白及其降解产物。这些数据表明,结蛋白的丝氨酸磷酸化形式及其降解产物而非结蛋白本身,有可能作为HF的组织生物标志物而非循环生物标志物。

https://cdn.ncbi.nlm.nih.gov/pmc/blobs/7082/5600436/357e76328020/gr1.jpg

文献AI研究员

20分钟写一篇综述,助力文献阅读效率提升50倍。

立即体验

用中文搜PubMed

大模型驱动的PubMed中文搜索引擎

马上搜索

文档翻译

学术文献翻译模型,支持多种主流文档格式。

立即体验