Suppr超能文献

反复加热植物油食用对健康的有害影响评估。

Evaluation of the deleterious health effects of consumption of repeatedly heated vegetable oil.

作者信息

Perumalla Venkata Rekhadevi, Subramanyam Rajagopal

机构信息

Department of Plant Sciences, School of Life Sciences, University of Hyderabad, Prof. C.R Rao Road, P.O. Central University, Hyderabad- 500 046, Telangana State, India.

出版信息

Toxicol Rep. 2016 Aug 16;3:636-643. doi: 10.1016/j.toxrep.2016.08.003. eCollection 2016.

Abstract

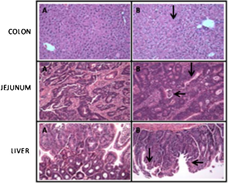
Consumption of repeatedly heated cooking oil has been a regular practice without knowing the harmful effects of use. The present study is based on the hypothesis that, heating of edible oils to their boiling points results in the formation of free radicals that cause oxidative stress and induce damage at the cellular and molecular levels. Peroxide value of heated oil, histopathological alterations, antioxidant enzyme levels and blood biochemistry were determined in Wistar rats treated with the . revealed higher peroxide value in comparison to oil that has been unheated or singly heated. Histopathological observation depicted significant damage in jejunum, colon and liver of animals that received oil heated repeatedly for 3 times. The altered antioxidant status reflects an adaptive response to oxidative stress. Alteration in the levels of these enzymes might be due to the formation of reactive oxygen species (ROS) through auto oxidation or enzyme catalyzed oxidation of electrophilic components within . Analysis of blood samples revealed elevated levels of glucose, creatinine and cholesterol with declined levels of protein and albumin in repeatedly heated cooking oil group. Hematological parameters did not reveal any statistically significant difference between treated and control groups. Results of the present study confirm that the thermal oxidation of cooking oil generates free radicals and dietary consumption of such oil results in detrimental health effects.

摘要

反复加热食用油并不知道其使用的有害影响,却一直是一种常见的做法。本研究基于这样的假设:将食用油加热至沸点会导致自由基的形成,这些自由基会引起氧化应激并在细胞和分子水平上引发损伤。在用[具体处理方式]处理的Wistar大鼠中测定了加热油的过氧化值、组织病理学改变、抗氧化酶水平和血液生化指标。结果显示,与未加热或单次加热的油相比,反复加热的油过氧化值更高。组织病理学观察表明,接受反复加热3次的油的动物空肠、结肠和肝脏出现了明显损伤。抗氧化状态的改变反映了对氧化应激的适应性反应。这些酶水平的改变可能是由于通过自动氧化或酶催化氧化食用油中的亲电成分而形成了活性氧(ROS)。血液样本分析显示,反复加热食用油组的血糖、肌酐和胆固醇水平升高,而蛋白质和白蛋白水平下降。血液学参数在处理组和对照组之间未显示出任何统计学上的显著差异。本研究结果证实,食用油的热氧化会产生自由基,食用这种油会对健康产生有害影响。

https://cdn.ncbi.nlm.nih.gov/pmc/blobs/8726/5616019/0e2617f0b1cd/gr1.jpg

文献检索

告别复杂PubMed语法,用中文像聊天一样搜索,搜遍4000万医学文献。AI智能推荐,让科研检索更轻松。

立即免费搜索

文件翻译

保留排版,准确专业,支持PDF/Word/PPT等文件格式,支持 12+语言互译。

免费翻译文档

深度研究

AI帮你快速写综述,25分钟生成高质量综述,智能提取关键信息,辅助科研写作。

立即免费体验