Suppr超能文献

偏苯三酸酐可诱导低度肥大细胞脱颗粒,且无需特异性IgE。

Trimellitic anhydride induces low-grade mast cell degranulation without specific IgE.

作者信息

Ogi Kazuhiro, Takabayashi Tetsuji, Yamada Takechiyo, Sakashita Masafumi, Kanno Masafumi, Narita Norihiko, Fujieda Shigeharu

机构信息

Division of Otorhinolaryngology Head and Neck Surgery, Department of Sensory and Locomotor Medicine, Faculty of Medical Sciences, University of Fukui, Fukui 910-1193, Japan.

出版信息

Toxicol Rep. 2016 Sep 7;3:701-707. doi: 10.1016/j.toxrep.2016.09.001. eCollection 2016.

Abstract

OBJECTIVES

Low-molecular-weight (LMW) substances are known to be causative agents of occupational asthma (OA) and occupational rhinitis (OR). Although most LMW substances are irritants or allergens, some can cause immediate type immunoglobulin E (IgE)-mediated allergic reactions. Trimellitic anhydride (TMA) is one such LMW substance, which is known as an immunological sensitizer. However, the exact molecular biological details of the effects of TMA remain unclear.

METHODS

We measured the β-hexosaminidase release from mast cells after directly exposing the cells to various LMW substances. The tyrosine phosphorylation of whole cellular molecules and the phosphorylation of extracellular signal-regulated kinase (ERK) were assessed by immunoblot assay.

RESULTS

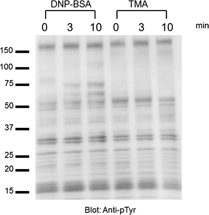
Among the LMW substances tested, only TMA induced β-hexosaminidase release. However, the mast cell degranulation induced by TMA was lower than that induced by an antigen or a calcium ionophore. Moreover, the pattern of tyrosine phosphorylation of whole cellular molecules was quite different between IgE-mediated antigen stimulation and TMA exposure. The TMA effect on mast cells was independent of not only IgE but also Ca influx. ERK phosphorylation was not detected in mast cells exposed to TMA.

CONCLUSIONS

TMA induced mild degranulation of mast cells without IgE, even though the phosphorylation of ERK was not detected. This reaction suggests that TMA affects humans even upon first exposure. Therefore, it is imperative to avoid human exposure to high concentrations of TMA. In order to stop the development of severe asthma in individuals with OR, we need to be able to identify cases of OR caused by TMA as soon as possible.

摘要

目的

低分子量(LMW)物质是职业性哮喘(OA)和职业性鼻炎(OR)的致病因素。尽管大多数LMW物质是刺激物或过敏原,但有些可引起速发型免疫球蛋白E(IgE)介导的过敏反应。偏苯三酸酐(TMA)就是这样一种LMW物质,它是一种免疫致敏剂。然而,TMA作用的确切分子生物学细节仍不清楚。

方法

将肥大细胞直接暴露于各种LMW物质后,我们测量了肥大细胞中β-己糖胺酶的释放。通过免疫印迹分析评估全细胞分子的酪氨酸磷酸化和细胞外信号调节激酶(ERK)的磷酸化。

结果

在所测试的LMW物质中,只有TMA诱导了β-己糖胺酶的释放。然而,TMA诱导的肥大细胞脱颗粒低于抗原或钙离子载体诱导的脱颗粒。此外,IgE介导的抗原刺激和TMA暴露之间全细胞分子酪氨酸磷酸化的模式有很大不同。TMA对肥大细胞的作用不仅独立于IgE,也独立于钙离子内流。在暴露于TMA的肥大细胞中未检测到ERK磷酸化。

结论

即使未检测到ERK磷酸化,TMA也能在无IgE的情况下诱导肥大细胞轻度脱颗粒。这种反应表明TMA即使在首次接触时也会对人体产生影响。因此,必须避免人体暴露于高浓度的TMA。为了阻止OR患者发展为严重哮喘,我们需要能够尽快识别出由TMA引起的OR病例。

https://cdn.ncbi.nlm.nih.gov/pmc/blobs/47d1/5616080/d549ed425472/gr1.jpg

相似文献

1
Trimellitic anhydride induces low-grade mast cell degranulation without specific IgE.
Toxicol Rep. 2016 Sep 7;3:701-707. doi: 10.1016/j.toxrep.2016.09.001. eCollection 2016.
3
Respiratory allergy and pulmonary irritation to trimellitic anhydride in Brown Norway rats.
Toxicol Appl Pharmacol. 2003 Feb 15;187(1):38-49. doi: 10.1016/s0041-008x(02)00023-6.
6
Role of mast cell in the late phase of contact hypersensitivity induced by trimellitic anhydride.
Anat Cell Biol. 2015 Dec;48(4):225-34. doi: 10.5115/acb.2015.48.4.225. Epub 2015 Dec 21.
10
Trimellitic anhydride-induced airway syndromes: clinical and immunologic studies.
J Allergy Clin Immunol. 1977 Aug;60(2):96-103. doi: 10.1016/0091-6749(77)90033-1.

引用本文的文献

本文引用的文献

1
Role of mast cell in the late phase of contact hypersensitivity induced by trimellitic anhydride.
Anat Cell Biol. 2015 Dec;48(4):225-34. doi: 10.5115/acb.2015.48.4.225. Epub 2015 Dec 21.
2
Beyond allergy: the role of mast cells in fibrosis.
Swiss Med Wkly. 2014 Sep 3;144:w13999. doi: 10.4414/smw.2014.13999. eCollection 2014.
4
A compendium of causative agents of occupational asthma.
J Occup Med Toxicol. 2013 May 24;8(1):15. doi: 10.1186/1745-6673-8-15.
5
Oxidative activity of ammonium persulfate salt on mast cells and basophils: implication in hairdressers' asthma.
Int Arch Allergy Immunol. 2013;160(4):409-19. doi: 10.1159/000343020. Epub 2012 Nov 23.
6
A critical role of IL-33 in experimental allergic rhinitis.
J Allergy Clin Immunol. 2012 Jul;130(1):184-94.e11. doi: 10.1016/j.jaci.2012.02.013. Epub 2012 Mar 27.
8
Single-cell dynamics of mast cell-CD4+ CD25+ regulatory T cell interactions.
Eur J Immunol. 2011 Jul;41(7):1872-82. doi: 10.1002/eji.201041300. Epub 2011 Jun 8.
9
High sensitivity of RBL-2H3 cells to cadmium and manganese: an implication of the role of ZIP8.
Metallomics. 2011 Jul;3(7):710-8. doi: 10.1039/c1mt00020a. Epub 2011 Apr 21.
10
Mechanisms of occupational asthma: Not all allergens are equal.
Environ Health Prev Med. 2007 Jul;12(4):165-71. doi: 10.1007/BF02897986.

文献AI研究员

20分钟写一篇综述,助力文献阅读效率提升50倍。

立即体验

用中文搜PubMed

大模型驱动的PubMed中文搜索引擎

马上搜索

文档翻译

学术文献翻译模型,支持多种主流文档格式。

立即体验