Suppr超能文献

用于治疗药物性肝毒性的肝保护剂拴系异烟肼:合成、生化及组织病理学评价

Hepatoprotective agent tethered isoniazid for the treatment of drug-induced hepatotoxicity: Synthesis, biochemical and histopathological evaluation.

作者信息

Singh Charan, Jodave Laxmikant, Bhatt Tara Datt, Gill Manjinder Singh, Suresh Sarasija

机构信息

Department of Pharmaceutical Technology (Formulations), National Institute of Pharmaceutical Education and Research (NIPER), Sector 67, S.A.S. Nagar (Mohali) Punjab 160062 India.

Technology Development Centre, National Institute of Pharmaceutical Education and Research (NIPER), Sector 67, S.A.S. Nagar (Mohali) Punjab 160062 India.

出版信息

Toxicol Rep. 2014 Oct 16;1:885-893. doi: 10.1016/j.toxrep.2014.10.001. eCollection 2014.

Abstract

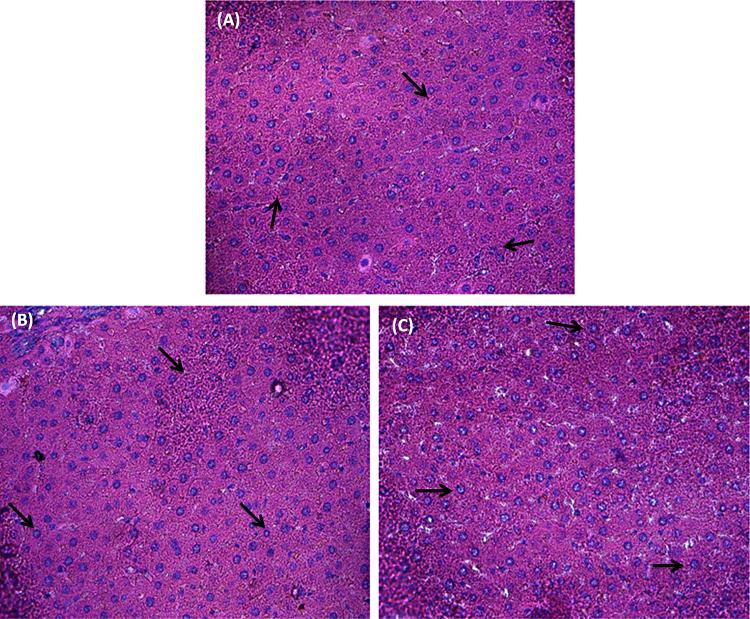
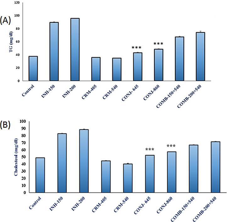
The aim of the study was to investigate the protective effect of isoniazid-curcumin conjugate (INH-CRM) in INH-induced hepatic injury by biochemical analysis and histology examination of liver in Wistar rats. The biochemical analysis included determination of the levels of plasma cholesterol, triglycerides (TG), albumin content, and lipid peroxidation (MDA). INH-CRM administration resulted in a significant decrease in plasma cholesterol, TG, and MDA levels in the liver tissue homogenate with an elevation in albumin level indicating its hepatoprotective activity. Histology of the liver further confirmed the reduction in hepatic injury. The hepatoprotective with INH-CRM can be attributed to the antioxidant activity of curcumin. The conjugate probably stabilizes the curcumin molecule, preventing its presystemic metabolism thereby enhancing its bioavailability and therefore, its hepatoprotective activity. Thus, the novel INH-CRM has the potential to alleviate INH-induced liver toxicity in antitubercular treatment.

摘要

本研究旨在通过对Wistar大鼠肝脏进行生化分析和组织学检查,探讨异烟肼-姜黄素缀合物(INH-CRM)对异烟肼诱导的肝损伤的保护作用。生化分析包括测定血浆胆固醇、甘油三酯(TG)、白蛋白含量和脂质过氧化(MDA)水平。给予INH-CRM后,肝组织匀浆中血浆胆固醇、TG和MDA水平显著降低,白蛋白水平升高,表明其具有肝保护活性。肝脏组织学进一步证实肝损伤减轻。INH-CRM的肝保护作用可归因于姜黄素的抗氧化活性。该缀合物可能稳定了姜黄素分子,防止其在体循环前代谢,从而提高其生物利用度,进而增强其肝保护活性。因此,新型INH-CRM有潜力减轻抗结核治疗中异烟肼诱导的肝毒性。

https://cdn.ncbi.nlm.nih.gov/pmc/blobs/b00f/5598226/19ce831daa85/gr1.jpg

相似文献

2
Zidovudine and isoniazid induced liver toxicity and oxidative stress: Evaluation of mitigating properties of silibinin.
Environ Toxicol Pharmacol. 2016 Sep;46:217-226. doi: 10.1016/j.etap.2016.07.014. Epub 2016 Jul 26.
4
Hot aqueous leaf extract of Lasianthera africana (Icacinaceae) attenuates rifampicin-isoniazid-induced hepatotoxicity.
J Integr Med. 2018 Jul;16(4):263-272. doi: 10.1016/j.joim.2018.05.001. Epub 2018 May 8.
8
Hepatoprotective effect of Anacyclus pyrethrum Linn. against antitubercular drug-induced hepatotoxicity in SD rats.
J Complement Integr Med. 2016 Sep 1;13(3):295-300. doi: 10.1515/jcim-2016-0001.
10
Enhanced solubility and antioxidant activity of chlorogenic acid-chitosan conjugates due to the conjugation of chitosan with chlorogenic acid.
Carbohydr Polym. 2017 Aug 15;170:206-216. doi: 10.1016/j.carbpol.2017.04.076. Epub 2017 Apr 29.

本文引用的文献

1
Novel rifampicin-phospholipid complex for tubercular therapy: synthesis, physicochemical characterization and in-vivo evaluation.
Int J Pharm. 2014 Jan 2;460(1-2):220-7. doi: 10.1016/j.ijpharm.2013.10.043. Epub 2013 Nov 1.
4
Synthesis, characterization and in-vitro antitubercular activity of isoniazid-gelatin conjugate.
J Pharm Pharmacol. 2012 May;64(5):712-8. doi: 10.1111/j.2042-7158.2012.01461.x. Epub 2012 Feb 21.
6
Highly loaded, sustained-release microparticles of curcumin for chemoprevention.
J Pharm Sci. 2011 Jul;100(7):2599-609. doi: 10.1002/jps.22475. Epub 2011 Jan 14.
7
Hepatoprotection of Graptopetalum paraguayense E. Walther on CCl₄-induced liver damage and inflammation.
J Ethnopharmacol. 2011 Mar 24;134(2):379-85. doi: 10.1016/j.jep.2010.12.029. Epub 2010 Dec 30.
9
Protective effects of thiopronin against isoniazid-induced hepatotoxicity in rats.
Toxicology. 2009 Oct 29;264(3):185-91. doi: 10.1016/j.tox.2009.08.006. Epub 2009 Aug 13.

文献AI研究员

20分钟写一篇综述,助力文献阅读效率提升50倍。

立即体验

用中文搜PubMed

大模型驱动的PubMed中文搜索引擎

马上搜索

文档翻译

学术文献翻译模型,支持多种主流文档格式。

立即体验