Suppr超能文献

人视网膜祖细胞移植治疗色素性视网膜炎患者的长期安全性。

Long-term safety of human retinal progenitor cell transplantation in retinitis pigmentosa patients.

机构信息

Key Laboratory of Visual Damage, Regeneration and Repair, Southwest Eye Hospital, Third Military Medical University, Chongqing, 400038, China.

Department of Gynecology and Obstetrics, Southwest Hospital, Third Military Medical University, Chongqing, 400038, China.

出版信息

Stem Cell Res Ther. 2017 Sep 29;8(1):209. doi: 10.1186/s13287-017-0661-8.

Abstract

BACKGROUND

Retinitis pigmentosa is a common genetic disease that causes retinal degeneration and blindness for which there is currently no curable treatment available. Vision preservation was observed in retinitis pigmentosa animal models after retinal stem cell transplantation. However, long-term safety studies and visual assessment have not been thoroughly tested in retinitis pigmentosa patients.

METHODS

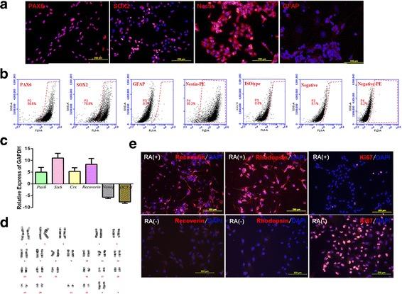
In our pre-clinical study, purified human fetal-derived retinal progenitor cells (RPCs) were transplanted into the diseased retina of Royal College of Surgeons (RCS) rats, a model of retinal degeneration. Based on these results, we conducted a phase I clinical trial to establish the safety and tolerability of transplantation of RPCs in eight patients with advanced retinitis pigmentosa. Patients were studied for 24 months.

RESULTS

After RPC transplantation in RCS rats, we observed moderate recovery of vision and maintenance of the outer nuclear layer thickness. Most importantly, we did not find tumor formation or immune rejection. In the retinis pigmentosa patients given RPC injections, we also did not observe immunological rejection or tumorigenesis when immunosuppressive agents were not administered. We observed a significant improvement in visual acuity (P < 0.05) in five patients and an increase in retinal sensitivity of pupillary responses in three of the eight patients between 2 and 6 months after the transplant, but this improvement did not appear by 12 months.

CONCLUSION

Our study for the first time confirmed the long-term safety and feasibility of vision repair by stem cell therapy in patients blinded by retinitis pigmentosa.

TRIAL REGISTRATION

WHO Trial Registration, ChiCTR-TNRC-08000193 . Retrospectively registered on 5 December 2008.

摘要

背景

色素性视网膜炎是一种常见的遗传性疾病,可导致视网膜变性和失明,目前尚无治愈方法。视网膜干细胞移植后,在色素性视网膜炎动物模型中观察到了视力保存。然而,在色素性视网膜炎患者中,尚未对长期安全性研究和视力评估进行彻底测试。

方法

在我们的临床前研究中,纯化的人胎儿来源的视网膜祖细胞(RPCs)被移植到视网膜变性的皇家外科学院(RCS)大鼠的患病视网膜中。基于这些结果,我们进行了一项 I 期临床试验,以确定在 8 名晚期色素性视网膜炎患者中移植 RPC 的安全性和耐受性。患者接受了 24 个月的研究。

结果

在 RCS 大鼠中进行 RPC 移植后,我们观察到视力中度恢复和外核层厚度保持。最重要的是,我们没有发现肿瘤形成或免疫排斥。在接受 RPC 注射的色素性视网膜炎患者中,当未给予免疫抑制剂时,我们也没有观察到免疫排斥或肿瘤发生。在移植后 2 至 6 个月,我们观察到 5 名患者的视力明显提高(P<0.05),8 名患者中有 3 名患者的瞳孔反应视网膜敏感性增加,但在 12 个月时未出现这种改善。

结论

我们的研究首次证实了干细胞疗法在失明的色素性视网膜炎患者中修复视力的长期安全性和可行性。

试验注册

WHO 临床试验注册,ChiCTR-TNRC-08000193。于 2008 年 12 月 5 日进行回顾性注册。

https://cdn.ncbi.nlm.nih.gov/pmc/blobs/748d/5622579/c999c6468f30/13287_2017_661_Fig1_HTML.jpg

文献AI研究员

20分钟写一篇综述,助力文献阅读效率提升50倍。

立即体验

用中文搜PubMed

大模型驱动的PubMed中文搜索引擎

马上搜索

文档翻译

学术文献翻译模型,支持多种主流文档格式。

立即体验