Suppr超能文献

酷似头皮血管肉瘤的侵袭性未定型树突状细胞肿瘤

Aggressive Indeterminate Dendritic Cell Tumor Mimicking Scalp Angiosarcoma.

作者信息

Li Yun, Wang Ting-Ting, Zhang Zi-Hui, Wang Lin

机构信息

Department of Dermatology, Sichuan University West China Hospital, Chengdu, China.

出版信息

Ann Dermatol. 2017 Oct;29(5):614-617. doi: 10.5021/ad.2017.29.5.614. Epub 2017 Aug 25.

Abstract

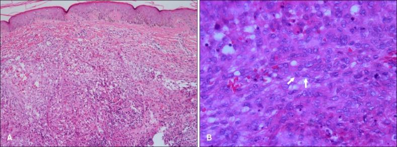
Indeterminate dendritic cell tumor (IDCT) is a proliferation of CD1a+, S100+ and langerin- histiocytes with a generally benign course. Here, we describe a case of a 90-year-old male who developed skin lesions on his scalp mimicking angiosarcoma and lymphadenopathy. He died six months after the onset of skin lesions despite of months' radiotherapy. Pathological examination ruled out scalp angiosarcoma and showed a high Ki-67 index. The appearance of skin lesions and lymphadenopathy led to challenges in diagnosis and the development of a treatment plan.

摘要

未定型树突状细胞肿瘤(IDCT)是一种CD1a+、S100+和郎格罕蛋白阴性的组织细胞增殖性疾病,通常病程呈良性。在此,我们描述一例90岁男性病例,其头皮出现类似血管肉瘤的皮肤病变及淋巴结病。尽管进行了数月的放疗,但他在皮肤病变出现6个月后死亡。病理检查排除了头皮血管肉瘤,且显示Ki-67指数较高。皮肤病变和淋巴结病的表现给诊断及治疗方案的制定带来了挑战。

https://cdn.ncbi.nlm.nih.gov/pmc/blobs/82cf/5597656/5c7b9d97b3c4/ad-29-614-g001.jpg

文献AI研究员

20分钟写一篇综述,助力文献阅读效率提升50倍。

立即体验

用中文搜PubMed

大模型驱动的PubMed中文搜索引擎

马上搜索

文档翻译

学术文献翻译模型,支持多种主流文档格式。

立即体验