Veerasamy Manivannan, Alguire Craig T
Spectrum Health Medical Group.
Spectrum Health Frederik Meijer Heart & Vascular Institute.
Glob Cardiol Sci Pract. 2017 Mar 31;2017(1):e201708. doi: 10.21542/gcsp.2017.8.
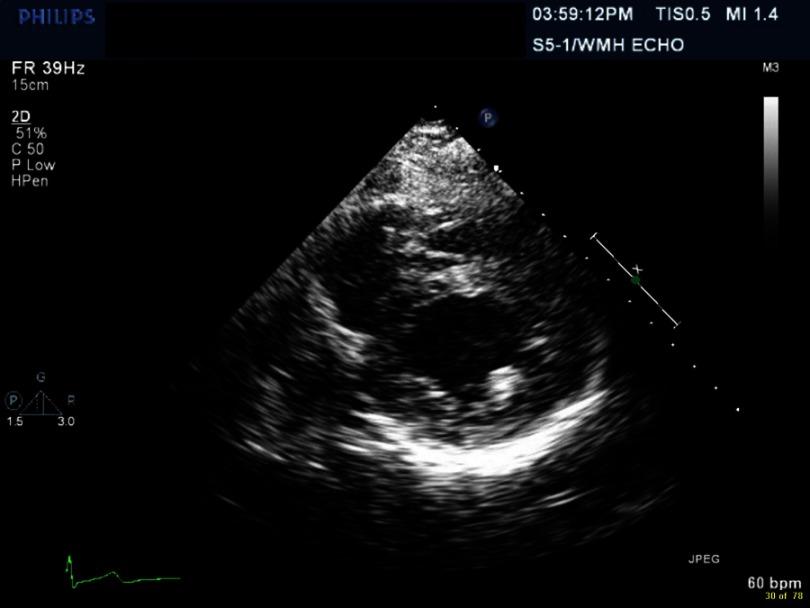
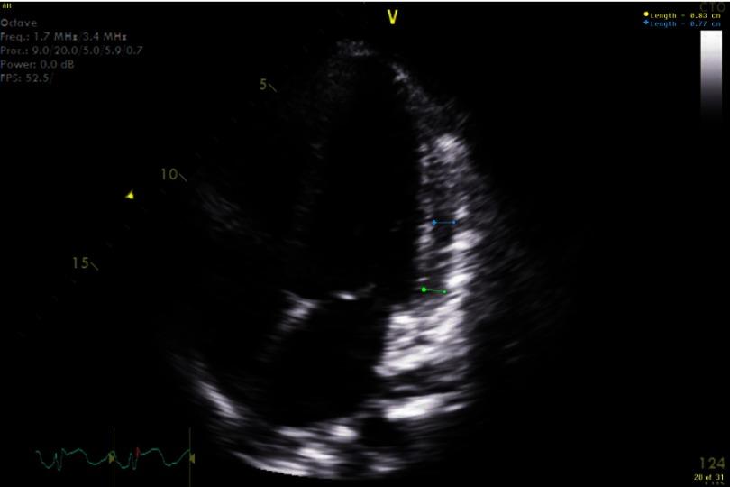
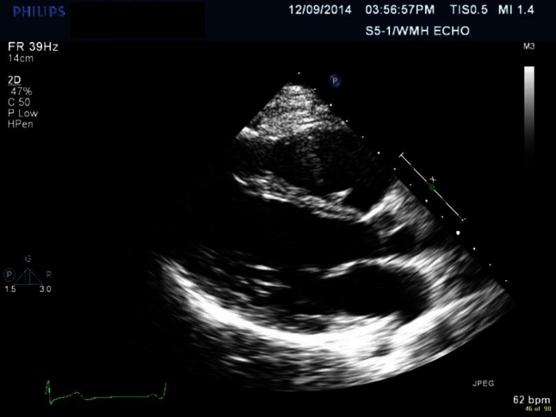
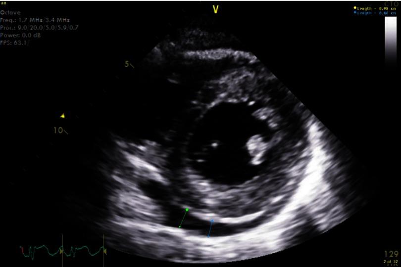
-associated myopericarditis (CAM) has been reported infrequently in the literature. We describe a case of immunocompetent young woman presenting with chest pain, with history of recent travel and diarrhea. Evaluation led to diagnosis of myopericarditis associated with this infection. The patient improved with conservative management. The pathogenesis of CAM remains unknown. Patients present with chest pain, heart failure, pulmonary edema and arrhythmias. Diagnostic evaluation includes EKG, cardiac enzymes, echocardiogram, cardiac MRI and stool culture. Conservative management recommended and routine use of antimicrobial therapy is controversial. CAM is a rare but severe complication of infection. It should be considered as a diagnosis in patients presenting with chest pain with associated gastrointestinal symptoms.