• 文献检索
  • 文档翻译
  • 深度研究
  • 学术资讯
  • Suppr Zotero 插件Zotero 插件
  • 邀请有礼
  • 套餐&价格
  • 历史记录
应用&插件
Suppr Zotero 插件Zotero 插件浏览器插件Mac 客户端Windows 客户端微信小程序
定价
高级版会员购买积分包购买API积分包
服务
文献检索文档翻译深度研究API 文档MCP 服务
关于我们
关于 Suppr公司介绍联系我们用户协议隐私条款
关注我们

Suppr 超能文献

核心技术专利:CN118964589B侵权必究
粤ICP备2023148730 号-1Suppr @ 2026

文献检索

告别复杂PubMed语法,用中文像聊天一样搜索,搜遍4000万医学文献。AI智能推荐,让科研检索更轻松。

立即免费搜索

文件翻译

保留排版,准确专业,支持PDF/Word/PPT等文件格式,支持 12+语言互译。

免费翻译文档

深度研究

AI帮你快速写综述,25分钟生成高质量综述,智能提取关键信息,辅助科研写作。

立即免费体验

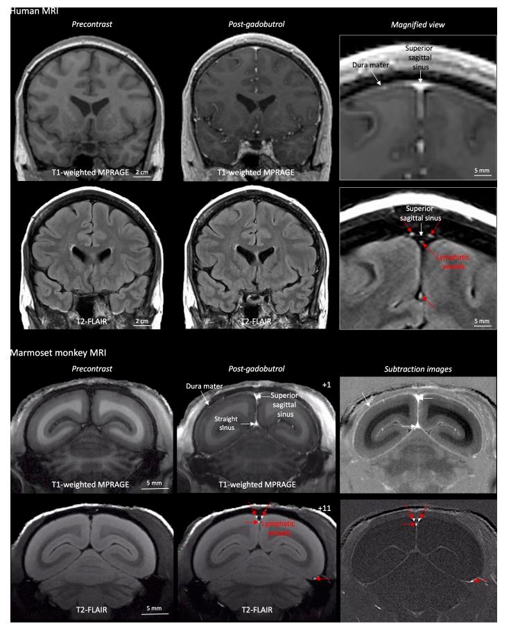
人和非人灵长类动物脑膜中存在淋巴管,可通过 MRI 进行非侵入性可视化。

Human and nonhuman primate meninges harbor lymphatic vessels that can be visualized noninvasively by MRI.

机构信息

Translational Neuroradiology Section, National Institute of Neurological Disorders and Stroke, National Institutes of Health, Bethesda, United States.

Hematopathology Section, Laboratory of Pathology, National Cancer Institute, National Institutes of Health, Bethesda, United States.

出版信息

Elife. 2017 Oct 3;6:e29738. doi: 10.7554/eLife.29738.

DOI:10.7554/eLife.29738
PMID:28971799
原文链接:https://pmc.ncbi.nlm.nih.gov/articles/PMC5626482/
Abstract

Here, we report the existence of meningeal lymphatic vessels in human and nonhuman primates (common marmoset monkeys) and the feasibility of noninvasively imaging and mapping them in vivo with high-resolution, clinical MRI. On T2-FLAIR and T1-weighted black-blood imaging, lymphatic vessels enhance with gadobutrol, a gadolinium-based contrast agent with high propensity to extravasate across a permeable capillary endothelial barrier, but not with gadofosveset, a blood-pool contrast agent. The topography of these vessels, running alongside dural venous sinuses, recapitulates the meningeal lymphatic system of rodents. In primates, meningeal lymphatics display a typical panel of lymphatic endothelial markers by immunohistochemistry. This discovery holds promise for better understanding the normal physiology of lymphatic drainage from the central nervous system and potential aberrations in neurological diseases.

摘要

在这里,我们报告了脑膜淋巴管在人类和非人类灵长类动物(普通狨猴)中的存在,以及使用高分辨率临床 MRI 对其进行非侵入性成像和体内绘图的可行性。在 T2-FLAIR 和 T1 加权黑血成像中,淋巴管增强与钆布醇增强,这是一种具有高倾向穿过可渗透的毛细血管内皮屏障外渗的基于钆的造影剂,但与血池造影剂钆氟塞特不同。这些与硬脑膜静脉窦并行运行的血管的拓扑结构再现了啮齿动物的脑膜淋巴系统。在灵长类动物中,脑膜淋巴管通过免疫组织化学显示出典型的一组淋巴管内皮标志物。这一发现有望更好地理解从中枢神经系统进行淋巴引流的正常生理学以及神经疾病中的潜在异常。

https://cdn.ncbi.nlm.nih.gov/pmc/blobs/a479/5626482/2a7f723fe445/elife-29738-fig4-figsupp1.jpg
https://cdn.ncbi.nlm.nih.gov/pmc/blobs/a479/5626482/b47f4c175d44/elife-29738-fig1.jpg
https://cdn.ncbi.nlm.nih.gov/pmc/blobs/a479/5626482/8c712231e350/elife-29738-fig1-figsupp1.jpg
https://cdn.ncbi.nlm.nih.gov/pmc/blobs/a479/5626482/b46eaed5647e/elife-29738-fig2.jpg
https://cdn.ncbi.nlm.nih.gov/pmc/blobs/a479/5626482/2c92d3daa28f/elife-29738-fig2-figsupp1.jpg
https://cdn.ncbi.nlm.nih.gov/pmc/blobs/a479/5626482/c1524ab7b24f/elife-29738-fig3.jpg
https://cdn.ncbi.nlm.nih.gov/pmc/blobs/a479/5626482/94593a29e6ff/elife-29738-fig3-figsupp1.jpg
https://cdn.ncbi.nlm.nih.gov/pmc/blobs/a479/5626482/315a3fb7646f/elife-29738-fig3-figsupp2.jpg
https://cdn.ncbi.nlm.nih.gov/pmc/blobs/a479/5626482/51ea1df2adba/elife-29738-fig4.jpg
https://cdn.ncbi.nlm.nih.gov/pmc/blobs/a479/5626482/2a7f723fe445/elife-29738-fig4-figsupp1.jpg
https://cdn.ncbi.nlm.nih.gov/pmc/blobs/a479/5626482/b47f4c175d44/elife-29738-fig1.jpg
https://cdn.ncbi.nlm.nih.gov/pmc/blobs/a479/5626482/8c712231e350/elife-29738-fig1-figsupp1.jpg
https://cdn.ncbi.nlm.nih.gov/pmc/blobs/a479/5626482/b46eaed5647e/elife-29738-fig2.jpg
https://cdn.ncbi.nlm.nih.gov/pmc/blobs/a479/5626482/2c92d3daa28f/elife-29738-fig2-figsupp1.jpg
https://cdn.ncbi.nlm.nih.gov/pmc/blobs/a479/5626482/c1524ab7b24f/elife-29738-fig3.jpg
https://cdn.ncbi.nlm.nih.gov/pmc/blobs/a479/5626482/94593a29e6ff/elife-29738-fig3-figsupp1.jpg
https://cdn.ncbi.nlm.nih.gov/pmc/blobs/a479/5626482/315a3fb7646f/elife-29738-fig3-figsupp2.jpg
https://cdn.ncbi.nlm.nih.gov/pmc/blobs/a479/5626482/51ea1df2adba/elife-29738-fig4.jpg
https://cdn.ncbi.nlm.nih.gov/pmc/blobs/a479/5626482/2a7f723fe445/elife-29738-fig4-figsupp1.jpg

相似文献

1
Human and nonhuman primate meninges harbor lymphatic vessels that can be visualized noninvasively by MRI.人和非人灵长类动物脑膜中存在淋巴管,可通过 MRI 进行非侵入性可视化。
Elife. 2017 Oct 3;6:e29738. doi: 10.7554/eLife.29738.
2
Magnetic Resonance Imaging and Histopathological Visualization of Human Dural Lymphatic Vessels.人体硬脑膜淋巴管的磁共振成像与组织病理学可视化
Bio Protoc. 2018 Apr 20;8(8). doi: 10.21769/BioProtoc.2819.
3
Current understanding of lymphatic vessels in the central nervous system.目前对中枢神经系统淋巴管的认识。
Neurosurg Rev. 2020 Aug;43(4):1055-1064. doi: 10.1007/s10143-019-01133-0. Epub 2019 Jun 18.
4
Conserved meningeal lymphatic drainage circuits in mice and humans.小鼠和人类脑膜淋巴管引流回路的保守性。
J Exp Med. 2022 Aug 1;219(8). doi: 10.1084/jem.20220035. Epub 2022 Jul 1.
5
Structural and functional features of central nervous system lymphatic vessels.中枢神经系统淋巴管的结构和功能特征。
Nature. 2015 Jul 16;523(7560):337-41. doi: 10.1038/nature14432. Epub 2015 Jun 1.
6
Noninvasive Characterization of Human Glymphatics and Meningeal Lymphatics in an in vivo Model of Blood-Brain Barrier Leakage.血脑屏障通透性增加的活体模型中人类脑淋巴系统和脑膜淋巴管的无创性特征描述
Ann Neurol. 2021 Jan;89(1):111-124. doi: 10.1002/ana.25928. Epub 2020 Oct 23.
7
[Lymphatic system in central nervous system].[中枢神经系统中的淋巴系统]
Med Sci (Paris). 2019 Jan;35(1):55-61. doi: 10.1051/medsci/2018309. Epub 2019 Jan 23.
8
Semiquantitative 3T Brain Magnetic Resonance Imaging for Dynamic Visualization of the Glymphatic-Lymphatic Fluid Transport System in Humans: A Pilot Study.3T 半定量脑磁共振成像对人类脑淋巴液转运系统的动态可视化:一项初步研究。
Invest Radiol. 2022 Aug 1;57(8):544-551. doi: 10.1097/RLI.0000000000000870. Epub 2022 Apr 1.
9
Meningeal Lymphatics in Central Nervous System Diseases.脑膜淋巴管与中枢神经系统疾病。
Annu Rev Neurosci. 2024 Aug;47(1):323-344. doi: 10.1146/annurev-neuro-113023-103045. Epub 2024 Jul 1.
10
Morphological and Functional Analysis of CNS-Associated Lymphatics.中枢神经系统相关淋巴管的形态学与功能分析
Methods Mol Biol. 2018;1846:141-151. doi: 10.1007/978-1-4939-8712-2_9.

引用本文的文献

1
Cerebrospinal fluid draining lymphatics in health and disease: advances and controversies.健康与疾病状态下的脑脊液引流淋巴管:进展与争议
Nat Cardiovasc Res. 2025 Sep 8. doi: 10.1038/s44161-025-00705-2.
2
The Evidence That Brain Cancers Could Be Effectively Treated with In-Home Radiofrequency Waves.脑癌可通过家用射频波有效治疗的证据。
Cancers (Basel). 2025 Aug 15;17(16):2665. doi: 10.3390/cancers17162665.
3
Morphology of the glymphatic and meningeal lymphatic structures of the bottlenose dolphin.宽吻海豚脑周淋巴系统和脑膜淋巴结构的形态学

本文引用的文献

1
Utilizing 3D Printing Technology to Merge MRI with Histology: A Protocol for Brain Sectioning.利用3D打印技术将磁共振成像(MRI)与组织学相结合:脑切片方案
J Vis Exp. 2016 Dec 6(118):54780. doi: 10.3791/54780.
2
Multifaceted interactions between adaptive immunity and the central nervous system.适应性免疫与中枢神经系统之间的多方面相互作用。
Science. 2016 Aug 19;353(6301):766-71. doi: 10.1126/science.aag2638.
3
Intracranial Vessel Wall MRI: Principles and Expert Consensus Recommendations of the American Society of Neuroradiology.
Sci Rep. 2025 Aug 18;15(1):30216. doi: 10.1038/s41598-025-14840-0.
4
Impaired Meningeal Lymphatic Drainage Aggravates LPS-Induced Neuroinflammation and Depression-Like Behaviors in Mice.脑膜淋巴引流受损加重脂多糖诱导的小鼠神经炎症和类抑郁行为。
Mediators Inflamm. 2025 Aug 6;2025:4288671. doi: 10.1155/mi/4288671. eCollection 2025.
5
Resolving Inflammation: The Impact of Antiretroviral Therapy on Macrophage Traffic In and Out of the CNS.炎症的消退:抗逆转录病毒疗法对巨噬细胞进出中枢神经系统的影响。
bioRxiv. 2025 May 8:2025.05.02.651872. doi: 10.1101/2025.05.02.651872.
6
Morphologic and functional alterations in the parasagittal dural space in mild cognitive impairment.轻度认知障碍患者矢状窦旁硬脑膜间隙的形态学和功能改变
Sci Rep. 2025 Jul 4;15(1):23882. doi: 10.1038/s41598-025-07909-3.
7
Role of meningeal lymphatic vessels in brain homeostasis.脑膜淋巴管在脑内稳态中的作用。
Front Immunol. 2025 Jun 19;16:1593630. doi: 10.3389/fimmu.2025.1593630. eCollection 2025.
8
Immuno-oncological interactions between meningeal lymphatics and glioblastoma: from mechanisms to therapies.脑膜淋巴管与胶质母细胞瘤之间的免疫肿瘤学相互作用:从机制到治疗
Theranostics. 2025 Jun 9;15(14):6983-7000. doi: 10.7150/thno.111972. eCollection 2025.
9
Visualization of the Glymphatic System Through Brain Magnetic Resonance in Human Subjects with Neurodegenerative Disorders: A Systematic Review and Meta-Analysis.通过脑磁共振成像对患有神经退行性疾病的人类受试者的类淋巴系统进行可视化:一项系统评价和荟萃分析。
J Clin Med. 2025 Jun 19;14(12):4387. doi: 10.3390/jcm14124387.
10
Post-traumatic hydrocephalus after decompressive craniectomy: a multidimensional analysis of clinical, radiological, and surgical risk factors.减压性颅骨切除术后创伤性脑积水:临床、影像学和手术风险因素的多维度分析
Neurosurg Rev. 2025 Jun 21;48(1):523. doi: 10.1007/s10143-025-03673-0.
颅内血管壁磁共振成像:美国神经放射学会的原理与专家共识推荐
AJNR Am J Neuroradiol. 2017 Feb;38(2):218-229. doi: 10.3174/ajnr.A4893. Epub 2016 Jul 28.
4
How Do Meningeal Lymphatic Vessels Drain the CNS?脑膜淋巴管如何引流中枢神经系统?
Trends Neurosci. 2016 Sep;39(9):581-586. doi: 10.1016/j.tins.2016.07.001. Epub 2016 Jul 25.
5
Dura mater is a potential source of Aβ seeds.硬脑膜是β淀粉样蛋白种子的一个潜在来源。
Acta Neuropathol. 2016 Jun;131(6):911-23. doi: 10.1007/s00401-016-1565-x. Epub 2016 Mar 25.
6
Revisiting the Mechanisms of CNS Immune Privilege.重新审视中枢神经系统免疫豁免的机制
Trends Immunol. 2015 Oct;36(10):569-577. doi: 10.1016/j.it.2015.08.006.
7
Custom fit 3D-printed brain holders for comparison of histology with MRI in marmosets.定制的3D打印脑部固定器,用于狨猴组织学与磁共振成像的比较。
J Neurosci Methods. 2016 Jan 15;257:55-63. doi: 10.1016/j.jneumeth.2015.09.002. Epub 2015 Sep 10.
8
Pachymeningeal enhancement-a comprehensive review of literature.硬脑膜强化——文献综述
Neurosurg Rev. 2015 Oct;38(4):649-59. doi: 10.1007/s10143-015-0646-y. Epub 2015 Aug 13.
9
A dural lymphatic vascular system that drains brain interstitial fluid and macromolecules.一个引流脑间质液和大分子的硬脑膜淋巴管系统。
J Exp Med. 2015 Jun 29;212(7):991-9. doi: 10.1084/jem.20142290. Epub 2015 Jun 15.
10
Structural and functional features of central nervous system lymphatic vessels.中枢神经系统淋巴管的结构和功能特征。
Nature. 2015 Jul 16;523(7560):337-41. doi: 10.1038/nature14432. Epub 2015 Jun 1.