Suppr超能文献

处女膜闭锁:多样的表现、新的关联及处理

Imperforate Hymen: Varied Presentation, New Associations, and Management.

作者信息

Ramareddy Raghu Sampally, Kumar Anjala, Alladi Anand

机构信息

Department of Pediatric Surgery, Bangalore Medical College and Research Institute, Bengaluru, Karnataka, India.

出版信息

J Indian Assoc Pediatr Surg. 2017 Oct-Dec;22(4):207-210. doi: 10.4103/0971-9261.214451.

Abstract

AIM

Imperforate hymen is an isolated and sporadic event. The aim of this study was to report varied clinical and management problems of consecutive imperforate hymen in children and to compare the genetic review with literature.

MATERIALS AND METHODS

This is a retrospective analysis of eight consecutive imperforate hymen children admitted during 2010-2015.

RESULTS

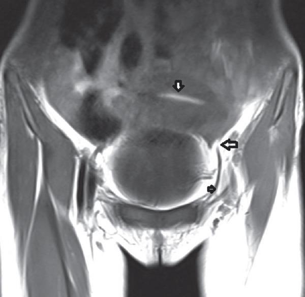
Among eight girls, two were infants and six were in the adolescent group. Clinical presentations included varied degree of genitourinary obstruction (7) and incidental finding (1). Genetic analysis of imperforate hymen suggested sporadic event (5), associations (2), and syndromic (1). Ultrasound and magnetic resonance imaging revealed the level of obstruction. Hymenectomy was done in neonate (1), adolescent (6), and one has been under observation. Abdominoperineal pull-through was done in concomitant proximal vaginal atresia.

CONCLUSIONS

Hymen development origin is variable and complex. Imperforate hymen is rarely a part of systemic/genetic anomaly. Genital examination at birth or during puberty is mandatory which often guides the timing of hymenectomy and prevents the sequelae of imperforate hymen. Hymenectomy is ideal during puberty and resolves all genitourinary obstructions.

摘要

目的

处女膜闭锁是一种孤立且散发的情况。本研究的目的是报告儿童连续性处女膜闭锁的各种临床和管理问题,并将基因评估与文献进行比较。

材料与方法

这是一项对2010年至2015年期间收治的8例连续性处女膜闭锁儿童的回顾性分析。

结果

8名女孩中,2名是婴儿,6名在青少年组。临床表现包括不同程度的泌尿生殖系统梗阻(7例)和偶然发现(1例)。处女膜闭锁的基因分析提示为散发事件(5例)、关联情况(2例)和综合征型(1例)。超声和磁共振成像显示了梗阻水平。1例新生儿、6例青少年接受了处女膜切除术,1例一直在观察中。对于合并近端阴道闭锁的情况进行了腹会阴拖出术。

结论

处女膜发育起源多样且复杂。处女膜闭锁很少是全身/基因异常的一部分。出生时或青春期进行生殖器检查是必要的,这通常可指导处女膜切除术的时机并预防处女膜闭锁的后遗症。处女膜切除术在青春期进行是理想的,可解决所有泌尿生殖系统梗阻问题。

https://cdn.ncbi.nlm.nih.gov/pmc/blobs/4225/5615893/b906601641b1/JIAPS-22-207-g002.jpg

文献检索

告别复杂PubMed语法,用中文像聊天一样搜索,搜遍4000万医学文献。AI智能推荐,让科研检索更轻松。

立即免费搜索

文件翻译

保留排版,准确专业,支持PDF/Word/PPT等文件格式,支持 12+语言互译。

免费翻译文档

深度研究

AI帮你快速写综述,25分钟生成高质量综述,智能提取关键信息,辅助科研写作。

立即免费体验