Suppr超能文献

一名11个月大婴儿因处女膜闭锁导致尿路梗阻的罕见病例。

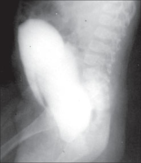
An unusual case of urinary tract obstruction due to imperforate hymen in an 11-month-old infant.

作者信息

Khemchandani Sajni, Devra Amit, Gupta Sandeep

机构信息

Department of Pediatric Urology and Transplantation, Institute of Kidney Diseases and Research Center, Dr. H. L. Trivedi institute of Transplantation Sciences, Civil Hospital Campus, Ahmedabad, (Gujarat), India.

出版信息

Indian J Urol. 2007 Apr;23(2):198-9. doi: 10.4103/0970-1591.32076.

Abstract

Variations in the anatomy of the hymen are common and imperforate hymen is an extreme manifestation. In spite of the recommendations for early inspection of the external genitalia, hymenal malformations escape diagnosis until the time of menarche. Rarely, female infants with imperforate hymen present with urologic complications. We would like to present an unusual case of urinary retention in an 11-month-old female infant due to imperforate hymen. This infant was successfully treated surgically.

摘要

处女膜解剖结构的变异很常见,处女膜闭锁是一种极端表现。尽管有建议要尽早检查外生殖器,但处女膜畸形在月经初潮时才被诊断出来。很少有处女膜闭锁的女婴出现泌尿系统并发症。我们想介绍一例因处女膜闭锁导致11个月大女婴尿潴留的罕见病例。这名婴儿通过手术成功治愈。

https://cdn.ncbi.nlm.nih.gov/pmc/blobs/bb25/2721534/4ae2079ac7a5/IJU-23-198-g001.jpg

文献检索

告别复杂PubMed语法,用中文像聊天一样搜索,搜遍4000万医学文献。AI智能推荐,让科研检索更轻松。

立即免费搜索

文件翻译

保留排版,准确专业,支持PDF/Word/PPT等文件格式,支持 12+语言互译。

免费翻译文档

深度研究

AI帮你快速写综述,25分钟生成高质量综述,智能提取关键信息,辅助科研写作。

立即免费体验