• 文献检索
  • 文档翻译
  • 深度研究
  • 学术资讯
  • Suppr Zotero 插件Zotero 插件
  • 邀请有礼
  • 套餐&价格
  • 历史记录
应用&插件
Suppr Zotero 插件Zotero 插件浏览器插件Mac 客户端Windows 客户端微信小程序
定价
高级版会员购买积分包购买API积分包
服务
文献检索文档翻译深度研究API 文档MCP 服务
关于我们
关于 Suppr公司介绍联系我们用户协议隐私条款
关注我们

Suppr 超能文献

核心技术专利:CN118964589B侵权必究
粤ICP备2023148730 号-1Suppr @ 2026

文献检索

告别复杂PubMed语法,用中文像聊天一样搜索,搜遍4000万医学文献。AI智能推荐,让科研检索更轻松。

立即免费搜索

文件翻译

保留排版,准确专业,支持PDF/Word/PPT等文件格式,支持 12+语言互译。

免费翻译文档

深度研究

AI帮你快速写综述,25分钟生成高质量综述,智能提取关键信息,辅助科研写作。

立即免费体验

中耳涎腺迷离瘤:一例报告

Middle Ear Salivary Gland Choristoma: A Case Report.

作者信息

Ziari Katayoun, Alizadeh Kamyab

机构信息

Dept. of Pathology, AJA University of Medical Sciences, Tehran, Iran.

出版信息

Iran J Pathol. 2016 Fall;11(5):461-464. Epub 2017 Jan 2.

PMID:28974967
原文链接:https://pmc.ncbi.nlm.nih.gov/articles/PMC5604111/
Abstract

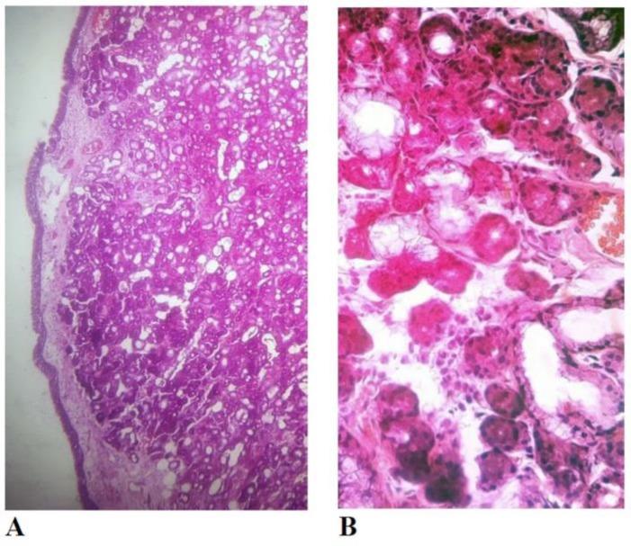
Salivary gland choristoma of the middle ear cavity is a very rare condition. These lesions are a result of a defective embryonic development and their adjacent structures may be associated with abnormalities. Here we report a case of salivary gland choristoma of the middle ear who presented to Be'sat Hospital, Tehran, Iran in 2015 with unilateral conductive hearing loss. There are 41 case reports in English and non-English literature from 1961. Taylor and Martin reported the first case of middle ear salivary choristoma.

摘要

中耳腔涎腺迷离瘤是一种非常罕见的病症。这些病变是胚胎发育缺陷的结果,其相邻结构可能伴有异常情况。在此,我们报告一例中耳涎腺迷离瘤病例,该患者于2015年就诊于伊朗德黑兰的贝萨特医院,表现为单侧传导性听力损失。自1961年以来,英文和非英文文献中有41例病例报告。泰勒和马丁报道了首例中耳涎腺迷离瘤病例。

https://cdn.ncbi.nlm.nih.gov/pmc/blobs/8ffd/5604111/78583692ab81/ijp-11-461-g002.jpg
https://cdn.ncbi.nlm.nih.gov/pmc/blobs/8ffd/5604111/05112c5c6e8f/ijp-11-461-g001.jpg
https://cdn.ncbi.nlm.nih.gov/pmc/blobs/8ffd/5604111/78583692ab81/ijp-11-461-g002.jpg
https://cdn.ncbi.nlm.nih.gov/pmc/blobs/8ffd/5604111/05112c5c6e8f/ijp-11-461-g001.jpg
https://cdn.ncbi.nlm.nih.gov/pmc/blobs/8ffd/5604111/78583692ab81/ijp-11-461-g002.jpg

相似文献

1
Middle Ear Salivary Gland Choristoma: A Case Report.中耳涎腺迷离瘤:一例报告
Iran J Pathol. 2016 Fall;11(5):461-464. Epub 2017 Jan 2.
2
Salivary gland choristoma of the middle ear: a case report.
Am J Otolaryngol. 2000 Mar-Apr;21(2):127-30. doi: 10.1016/s0196-0709(00)85011-5.
3
Salivary gland choristoma of the middle ear: report of a case and review of the literature.中耳涎腺迷离瘤:1例报告并文献复习
Ear Nose Throat J. 1996 Jul;75(7):422-4.
4
Salivary Gland Choristoma of the Middle Ear in a Child: A Case Report.儿童中耳涎腺错构瘤:病例报告。
Ear Nose Throat J. 2021 Jun;100(3_suppl):356S-359S. doi: 10.1177/0145561321995024. Epub 2021 Feb 16.
5
Salivary gland choristoma of the middle ear.中耳涎腺迷离瘤
Ear Nose Throat J. 2015 Feb;94(2):E9-E12. doi: 10.1177/014556131509400211.
6
Salivary gland choristoma of the middle ear in a child with situs inversus totalis.一名患有完全性内脏反位的儿童的中耳涎腺迷离瘤。
Auris Nasus Larynx. 2010 Jun;37(3):365-8. doi: 10.1016/j.anl.2009.09.003. Epub 2009 Oct 27.
7
Middle-Ear Salivary Gland Choristoma with Congenital, Single-Sided Hearing Loss.中耳涎腺错构瘤伴先天性单侧听力损失。
Acta Med Okayama. 2024 Aug;78(4):349-355. doi: 10.18926/AMO/67554.
8
[Salivary gland choristoma (hamartoma) of the middle ear: a case report].[中耳涎腺迷离瘤(错构瘤):一例报告]
Rev Laryngol Otol Rhinol (Bord). 2006;127(4):247-9.
9
Salivary gland choristoma of the middle ear.中耳涎腺迷离瘤
Laryngoscope. 2006 Jun;116(6):1033-4. doi: 10.1097/01.mlg.0000217250.08455.d3.
10
[Salivary gland choristoma in the middle ear].
Ugeskr Laeger. 1994 Aug 1;156(31):4474-5.

引用本文的文献

1
Inner ear salivary gland choristoma extending to the middle ear with congenital profound hearing loss and facial palsy: a case report.延伸至中耳的内耳涎腺错构瘤伴先天性重度感音神经性聋和面瘫:病例报告。
J Otolaryngol Head Neck Surg. 2021 Apr 15;50(1):25. doi: 10.1186/s40463-021-00511-3.
2
Middle Ear Salivary Choristoma: A Rare Case Report and Update on Congenital Associations, Facial Nerve Involvement, and Treatment Strategies.中耳涎腺迷离瘤:一例罕见病例报告及关于先天性关联、面神经受累情况和治疗策略的最新进展
Case Rep Otolaryngol. 2020 Aug 24;2020:8435140. doi: 10.1155/2020/8435140. eCollection 2020.

本文引用的文献

1
Salivary gland choristoma of the middle ear in a child with situs inversus totalis.一名患有完全性内脏反位的儿童的中耳涎腺迷离瘤。
Auris Nasus Larynx. 2010 Jun;37(3):365-8. doi: 10.1016/j.anl.2009.09.003. Epub 2009 Oct 27.
2
Salivary gland choristoma of the middle ear in an infant: a case report.婴儿中耳涎腺迷离瘤1例报告
Int J Pediatr Otorhinolaryngol. 2006 Jan;70(1):167-70. doi: 10.1016/j.ijporl.2005.05.030. Epub 2005 Aug 1.
3
Salivary gland choristoma of the middle ear. A review.
ORL J Otorhinolaryngol Relat Spec. 2004;66(3):141-7. doi: 10.1159/000079334.
4
Salivary gland choristoma of the middle ear in a child: a case report.
Otolaryngol Head Neck Surg. 2003 Jan;128(1):160-2. doi: 10.1067/mhn.2003.78.
5
Adenoma of the middle ear: a rare and misleading lesion.中耳腺瘤:一种罕见且易误诊的病变。
Otol Neurotol. 2002 Nov;23(6):988-91. doi: 10.1097/00129492-200211000-00029.
6
Choristoma of the middle ear: a component of a new syndrome?
Otol Neurotol. 2001 May;22(3):363-8. doi: 10.1097/00129492-200105000-00015.
7
Primary papillary adenocarcinoma confined to the middle ear and mastoid.局限于中耳和乳突的原发性乳头状腺癌。
Eur Arch Otorhinolaryngol. 2001 Feb;258(2):93-5. doi: 10.1007/s004050000288.
8
Salivary gland choristoma of the middle ear: a case report.
Am J Otolaryngol. 2000 Mar-Apr;21(2):127-30. doi: 10.1016/s0196-0709(00)85011-5.
9
Salivary gland choristoma in the middle ear: a case report.中耳涎腺迷离瘤:一例报告
Am J Otolaryngol. 1999 Jul-Aug;20(4):232-5. doi: 10.1016/s0196-0709(99)90005-4.
10
Developmental lesions of the head and neck: terminology and biologic behavior.
Ann Otol Rhinol Laryngol. 1995 Nov;104(11):913-8. doi: 10.1177/000348949510401116.