• 文献检索
  • 文档翻译
  • 深度研究
  • 学术资讯
  • Suppr Zotero 插件Zotero 插件
  • 邀请有礼
  • 套餐&价格
  • 历史记录
应用&插件
Suppr Zotero 插件Zotero 插件浏览器插件Mac 客户端Windows 客户端微信小程序
定价
高级版会员购买积分包购买API积分包
服务
文献检索文档翻译深度研究API 文档MCP 服务
关于我们
关于 Suppr公司介绍联系我们用户协议隐私条款
关注我们

Suppr 超能文献

核心技术专利:CN118964589B侵权必究
粤ICP备2023148730 号-1Suppr @ 2026

文献检索

告别复杂PubMed语法,用中文像聊天一样搜索,搜遍4000万医学文献。AI智能推荐,让科研检索更轻松。

立即免费搜索

文件翻译

保留排版,准确专业,支持PDF/Word/PPT等文件格式,支持 12+语言互译。

免费翻译文档

深度研究

AI帮你快速写综述,25分钟生成高质量综述,智能提取关键信息,辅助科研写作。

立即免费体验

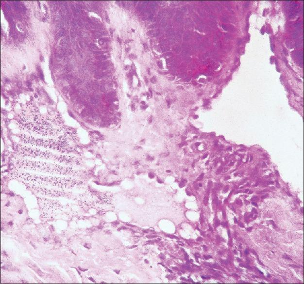
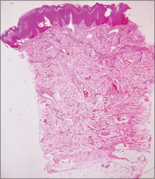
Benign Lymphangioendothelioma: A Report of a Rare Vascular Hamartoma in a Young Indian Child.

作者信息

Rudra Olympia, Ghosh Arghyaprasun, Ghosh Sudip Kumar, Bhunia Deblina, Mandal Prabhakar

机构信息

Department of Dermatology, R.G. Kar Medical College, Kolkata, West Bengal, India. E-mail:

Department of Dermatology, MGM Medical College, Krishanganj, Bihar, India.

出版信息

Indian J Dermatol. 2017 Sep-Oct;62(5):528-529. doi: 10.4103/ijd.IJD_416_16.

DOI:10.4103/ijd.IJD_416_16
PMID:28979019
原文链接:https://pmc.ncbi.nlm.nih.gov/articles/PMC5618844/
Abstract
摘要
https://cdn.ncbi.nlm.nih.gov/pmc/blobs/459b/5618844/e1839d30cbb9/IJD-62-528-g004.jpg
https://cdn.ncbi.nlm.nih.gov/pmc/blobs/459b/5618844/37043a30ba56/IJD-62-528-g001.jpg
https://cdn.ncbi.nlm.nih.gov/pmc/blobs/459b/5618844/3aec643b6340/IJD-62-528-g002.jpg
https://cdn.ncbi.nlm.nih.gov/pmc/blobs/459b/5618844/a4cb9cc7b1cd/IJD-62-528-g003.jpg
https://cdn.ncbi.nlm.nih.gov/pmc/blobs/459b/5618844/e1839d30cbb9/IJD-62-528-g004.jpg
https://cdn.ncbi.nlm.nih.gov/pmc/blobs/459b/5618844/37043a30ba56/IJD-62-528-g001.jpg
https://cdn.ncbi.nlm.nih.gov/pmc/blobs/459b/5618844/3aec643b6340/IJD-62-528-g002.jpg
https://cdn.ncbi.nlm.nih.gov/pmc/blobs/459b/5618844/a4cb9cc7b1cd/IJD-62-528-g003.jpg
https://cdn.ncbi.nlm.nih.gov/pmc/blobs/459b/5618844/e1839d30cbb9/IJD-62-528-g004.jpg

相似文献

1
Benign Lymphangioendothelioma: A Report of a Rare Vascular Hamartoma in a Young Indian Child.良性淋巴管内皮瘤:一名印度幼儿罕见血管错构瘤的病例报告
Indian J Dermatol. 2017 Sep-Oct;62(5):528-529. doi: 10.4103/ijd.IJD_416_16.
2
Benign lymphangioendothelioma: a clinical, histopathologic and immunohistochemical analysis of four cases.良性淋巴管内皮瘤:4例临床、组织病理学及免疫组化分析
J Cutan Pathol. 2013 Nov;40(11):945-9. doi: 10.1111/cup.12216. Epub 2013 Sep 16.
3
Giant benign lymphangioendothelioma.巨大良性淋巴管内皮瘤
J Cutan Pathol. 2012 Oct;39(10):950-6. doi: 10.1111/j.1600-0560.2012.01971.x. Epub 2012 Jul 27.
4
Eccrine angiomatous hamartoma: a case report and review of the literature.小汗腺血管瘤样错构瘤:一例报告并文献复习
Cutis. 2003 Jun;71(6):449-55.
5
Benign lymphangioendothelioma manifested clinically as actinic keratosis.
Cutis. 2001 Jan;67(1):29-30.
6
A rare case of a splenic hamartoma in a patient with a huge palpable abdominal mass: a case report.一例可触及巨大腹部肿块患者的脾脏错构瘤罕见病例:病例报告
J Med Case Rep. 2015 Jan 28;9:4. doi: 10.1186/1752-1947-9-4.
7
Enlargement of eccrine angiomatous hamartoma following trauma.创伤后小汗腺血管瘤样错构瘤增大。
Pediatr Dermatol. 2015 May-Jun;32(3):e92-4. doi: 10.1111/pde.12564. Epub 2015 Mar 17.
8
Eccrine angiomatous hamartoma in a child.儿童的小汗腺血管瘤样错构瘤
Pediatr Dermatol. 2010 Sep-Oct;27(5):548-9. doi: 10.1111/j.1525-1470.2010.01281.x.
9
Hamartoma of the spleen (splenoma) with calcifications in a child with beta-thalassemia: A case report.一名患有β地中海贫血的儿童脾脏错构瘤(脾瘤)伴钙化:病例报告
J Radiol Case Rep. 2017 May 31;11(5):7-12. doi: 10.3941/jrcr.v11i5.3100. eCollection 2017 May.
10
Malignant mesenchymal neoplasms of the dermis and subcutis mimicking benign lesions: a case-based review.
Virchows Arch. 2017 Nov;471(5):565-574. doi: 10.1007/s00428-017-2187-y. Epub 2017 Jul 12.

引用本文的文献

1
Surgical Treatment for Benign Lymphangioendothelioma After Two Incomplete Excisions: A Case Report and Literature Review.两次不完全切除术后良性淋巴管内皮瘤的手术治疗:病例报告及文献综述
Clin Cosmet Investig Dermatol. 2023 Sep 28;16:2697-2719. doi: 10.2147/CCID.S420019. eCollection 2023.

本文引用的文献

1
Benign Lymphangioendothelioma - A Case Report.良性淋巴管内皮瘤——一例报告
J Clin Diagn Res. 2016 Jan;10(1):WD01-2. doi: 10.7860/JCDR/2016/15664.7155. Epub 2016 Jan 1.
2
[Acquired progressive lymphangioma (benign lymphangioendothelioma)].[获得性进行性淋巴管瘤(良性淋巴管内皮瘤)]
Actas Dermosifiliogr. 2010 Nov;101(9):792-7.
3
Benign lymphangioendothelioma (acquired progressive lymphangioma): a lesion not to be confused with well-differentiated angiosarcoma and patch stage Kaposi's sarcoma: clinicopathologic analysis of a series.
良性淋巴管内皮瘤(获得性进行性淋巴管瘤):一种不应与高分化血管肉瘤和斑块期卡波西肉瘤相混淆的病变:一组病例的临床病理分析
Am J Surg Pathol. 2000 Aug;24(8):1047-57. doi: 10.1097/00000478-200008000-00002.
4
Acquired progressive lymphangioma.
J Am Acad Dermatol. 1983 May;8(5):663-7. doi: 10.1016/s0190-9622(83)70076-9.