Suppr超能文献

肝门部胆管癌R0手术后复发性腹膜播散切除的长期存活者:一例报告

A long-term survivor of hilar cholangiocarcinoma with resection of recurrent peritoneal dissemination after R0 surgery: a case report.

作者信息

Miyata Tatsunori, Okabe Hirohisa, Chikamoto Akira, Yamao Takanobu, Umezaki Naoki, Tsukamoto Masayo, Kitano Yuki, Arima Kota, Nakagawa Shigeki, Imai Katsunori, Hashimoto Daisuke, Yamashita Yo-Ichi, Baba Hideo

机构信息

Department of Gastroenterological Surgery, Graduate School of Life Sciences, Kumamoto University, 1-1-1 Honjo, Chuo-ku, Kumamoto, 860-0811, Japan.

出版信息

Surg Case Rep. 2017 Oct 16;3(1):110. doi: 10.1186/s40792-017-0386-z.

Abstract

BACKGROUND

Although hilar cholangiocarcinoma (HCCA) has a very poor prognosis, there are cases in which long-term survival is rarely obtained by multidisciplinary treatment.

CASE PRESENTATION

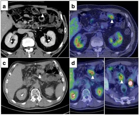
A 61-year-old man diagnosed with HCCA was referred to our hospital. We performed an extended left hemi-hepatectomy and caudate lobectomy with extrahepatic bile duct resection. The tumor stage was T2aN0M0, stage II, based on the TNM classification, seventh edition. R0 resection was successfully performed. Adjuvant chemotherapy was not administered. After 38 months, computed tomography revealed peritoneal dissemination. The patient received chemotherapy with tegafur-gimeracil-oteracil-potassium (S-1) and gemcitabine. The peritoneal dissemination was successfully controlled for more than 50 months. During the treatment, levels of CEA and CA19-9 kept rising slowly, which was followed by bowel obstruction due to peritoneal dissemination of HCCA. The patient underwent resection of transverse colon with tumor nodules, and the tumor was pathologically diagnosed as metastasis of HCCA. Tumor markers decreased to normal levels, and the patient has been free from tumor relapse for 6 months.

CONCLUSIONS

We here report a rare case of HCCA patient with recurrent peritoneal dissemination 3 years after R0 surgery which was sensitive to chemotherapy. The patient successfully received resection of peritoneal dissemination 50 months after the induction of chemotherapy and survived for 10 years.

摘要

背景

尽管肝门部胆管癌(HCCA)的预后很差,但多学科治疗仍有使患者获得长期生存的病例。

病例介绍

一名61岁被诊断为HCCA的男性患者被转诊至我院。我们实施了扩大左半肝切除术及尾状叶切除术,并切除了肝外胆管。根据第七版TNM分类,肿瘤分期为T2aN0M0,Ⅱ期。成功实施了R0切除。未进行辅助化疗。38个月后,计算机断层扫描显示有腹膜播散。患者接受替吉奥(S-1)和吉西他滨化疗。腹膜播散成功控制超过50个月。治疗期间,癌胚抗原(CEA)和糖类抗原19-9(CA19-9)水平持续缓慢上升,随后因HCCA腹膜播散导致肠梗阻。患者接受了横结肠及肿瘤结节切除术,肿瘤经病理诊断为HCCA转移。肿瘤标志物降至正常水平,患者已无肿瘤复发6个月。

结论

我们在此报告一例罕见的HCCA患者,R0手术后3年出现复发性腹膜播散,对化疗敏感。患者在化疗诱导50个月后成功接受腹膜播散切除术,并存活10年。

https://cdn.ncbi.nlm.nih.gov/pmc/blobs/7ae2/5643839/edf3c0f3a89f/40792_2017_386_Fig1_HTML.jpg

相似文献

3
Recurrent biliary dissemination of colon cancer liver metastasis: a case report.
J Med Case Rep. 2018 Oct 27;12(1):314. doi: 10.1186/s13256-018-1858-x.
4
Liver resection for hilar and peripheral cholangiocarcinomas: a study of 62 cases.
Ann Surg. 1998 Jan;227(1):70-9. doi: 10.1097/00000658-199801000-00011.
8
Surgery for hilar cholangiocarcinoma: the Leeds experience.
Eur J Surg Oncol. 2008 Jul;34(7):787-94. doi: 10.1016/j.ejso.2007.10.005. Epub 2007 Nov 26.
9
The Impact of Intraoperative Re-Resection of a Positive Bile Duct Margin on Clinical Outcomes for Hilar Cholangiocarcinoma.
Ann Surg Oncol. 2018 May;25(5):1140-1149. doi: 10.1245/s10434-018-6382-0. Epub 2018 Feb 22.
10
Hilar cholangiocarcinoma: the Memorial Sloan-Kettering Cancer Center experience.
J Hepatobiliary Pancreat Sci. 2010 Jul;17(4):490-6. doi: 10.1007/s00534-009-0205-4. Epub 2009 Oct 6.

引用本文的文献

1
Rectal stenosis due to solitary pelvic recurrence of hilar cholangiocarcinoma.
JGH Open. 2020 May 16;4(5):1014-1016. doi: 10.1002/jgh3.12357. eCollection 2020 Oct.
2
A case of chest wall recurrence of hilar cholangiocarcinoma 10 years after R1 surgery with positive ductal margin of carcinoma in situ.
Int Cancer Conf J. 2020 Feb 15;9(2):77-81. doi: 10.1007/s13691-020-00400-y. eCollection 2020 Apr.

本文引用的文献

1
Tumour-infiltrating inflammatory and immune cells in patients with extrahepatic cholangiocarcinoma.
Br J Cancer. 2018 Jan;118(2):171-180. doi: 10.1038/bjc.2017.401. Epub 2017 Nov 9.
4
Pulmonary Metastasis After Resection of Cholangiocarcinoma: Incidence, Resectability, and Survival.
World J Surg. 2017 Jun;41(6):1550-1557. doi: 10.1007/s00268-017-3877-y.
7
Conditional probability of long-term survival after resection of hilar cholangiocarcinoma.
HPB (Oxford). 2016 Jun;18(6):510-7. doi: 10.1016/j.hpb.2016.04.001. Epub 2016 Apr 24.
9
Surgery for recurrent biliary carcinoma: results for 27 recurrent cases.
World J Surg Oncol. 2015 Feb 27;13:82. doi: 10.1186/s12957-015-0507-8.

文献AI研究员

20分钟写一篇综述,助力文献阅读效率提升50倍。

立即体验

用中文搜PubMed

大模型驱动的PubMed中文搜索引擎

马上搜索

文档翻译

学术文献翻译模型,支持多种主流文档格式。

立即体验