Suppr超能文献

一种极其罕见的肾上腺碰撞瘤:肾上腺腺瘤-转移性乳腺癌-髓脂肪瘤。

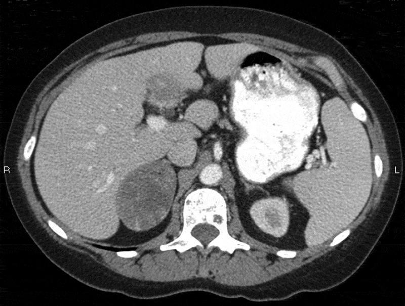
An exceedingly rare adrenal collision tumor: adrenal adenoma-metastatic breast cancer-myelolipoma.

作者信息

Liu Dongyan, Kumar Sahayini A

机构信息

Department of Medicine, Greater Baltimore Medical Center, Towson, MD, USA.

出版信息

J Community Hosp Intern Med Perspect. 2017 Sep 9;7(4):241-244. doi: 10.1080/20009666.2017.1362315. eCollection 2017 Oct.

Abstract

Adrenal collision tumors (ACTs), in which distinct tumors coexist without histological intermingling in the same adrenal gland, are rare and their actual prevalence is unknown. ACTs commonly consist of adrenal cortical adenoma, myelolipoma, or metastatic malignant tumor. We report a 58-year-old woman with a past history of breast cancer, who presented with a 1 month history of fevers, chills, and abdominal fullness. The physical examination and the laboratory data including endocrine studies were unremarkable. Computed tomography of the abdomen showed a right adrenal gland mass, and a laparoscopic right adrenalectomy was performed. Histological and immunohistochemical examinations revealed three distinct tumors: an adrenal cortical adenoma, a myelolipoma, and metastatic breast tumors. Breast cancer metastases are rare in the adrenal gland and exist as ACTs only in exceptionally rare cases. To our knowledge, this is the first reported case of coexisting metastatic breast tumors, adrenal adenoma, and myelolipoma in the same adrenal gland.

摘要

肾上腺碰撞瘤(ACTs)是指在同一肾上腺内不同肿瘤共存且无组织学混合,这种情况较为罕见,其实际患病率尚不清楚。ACTs通常由肾上腺皮质腺瘤、髓样脂肪瘤或转移性恶性肿瘤组成。我们报告一例58岁有乳腺癌病史的女性,她出现发热、寒战和腹部胀满1个月。体格检查及包括内分泌检查在内的实验室检查均无异常。腹部计算机断层扫描显示右肾上腺肿块,遂行腹腔镜右肾上腺切除术。组织学和免疫组化检查发现三种不同肿瘤:肾上腺皮质腺瘤、髓样脂肪瘤和转移性乳腺肿瘤。乳腺癌转移至肾上腺罕见,仅在极少数情况下以ACTs形式存在。据我们所知,这是首例报道的同一肾上腺内并存转移性乳腺肿瘤、肾上腺腺瘤和髓样脂肪瘤的病例。

https://cdn.ncbi.nlm.nih.gov/pmc/blobs/621f/5637651/64eab2cd0c47/ZJCH_A_1362315_F0001_B.jpg

相似文献

1
An exceedingly rare adrenal collision tumor: adrenal adenoma-metastatic breast cancer-myelolipoma.
J Community Hosp Intern Med Perspect. 2017 Sep 9;7(4):241-244. doi: 10.1080/20009666.2017.1362315. eCollection 2017 Oct.
2
Adrenal Collision Tumor: Coexistence of Pigmented Adrenal Cortical Oncocytoma and Ganglioneuroma.
Case Rep Surg. 2016;2016:5790645. doi: 10.1155/2016/5790645. Epub 2016 Dec 8.
3
Adrenal collision tumor: a case report of the coexistence of myelolipoma and ganglioneuroma.
Int J Clin Exp Pathol. 2019 Jun 1;12(6):2302-2304. eCollection 2019.
6
Laparoscopic adrenalectomy of an adrenal adenoma with myelolipoma relieves severe hypertension in a 16-year-old patient.
Pediatr Nephrol. 2006 Mar;21(3):433-6. doi: 10.1007/s00467-005-2114-3. Epub 2005 Dec 29.
7
Adrenal collision tumor (parachordoma and ganglioneuroma): A case report.
Mol Clin Oncol. 2018 Jun;8(6):740-742. doi: 10.3892/mco.2018.1610. Epub 2018 Apr 19.
8
Adrenal Adenoma-Hemangioma Collision Tumor: Description of Two Cases.
J Radiol Case Rep. 2019 Jun 30;13(6):1-12. doi: 10.3941/jrcr.v13i6.3691. eCollection 2019 Jun.
9
GIANT ADRENAL GANGLIONEUROMA AND MYELOLIPOMA: A RARE CASE OF COLLISION TUMOR.
Acta Endocrinol (Buchar). 2022 Jul-Sep;18(3):379-382. doi: 10.4183/aeb.2022.379.
10
Case of combined adrenal cortical adenoma and myelolipoma.
Pathol Int. 2004 Sep;54(9):725-9. doi: 10.1111/j.1440-1827.2004.01686.x.

引用本文的文献

1
Case report - Adrenal collision tumour composed of oncocytoma and pheochromocytoma.
Front Oncol. 2025 Aug 8;15:1554355. doi: 10.3389/fonc.2025.1554355. eCollection 2025.
2
Clinical Characteristics of Adrenal Hemangioma.
J Endocr Soc. 2024 Mar 20;8(5):bvae041. doi: 10.1210/jendso/bvae041. eCollection 2024 Mar 12.
3
Synchronous ipsilateral adrenal cortical adenoma and ganglioneuroma: A case report.
Indian J Urol. 2023 Oct-Dec;39(4):322-324. doi: 10.4103/iju.iju_174_23. Epub 2023 Sep 29.
4
Metastatic Merkel Cell Carcinoma Within a Cortisol-producing Adrenal Adenoma.
JCEM Case Rep. 2023 Sep 20;1(5):luad100. doi: 10.1210/jcemcr/luad100. eCollection 2023 Sep.
5
Adrenal Adenoma-Hemangioma Collision Tumor: Description of Two Cases.
J Radiol Case Rep. 2019 Jun 30;13(6):1-12. doi: 10.3941/jrcr.v13i6.3691. eCollection 2019 Jun.

本文引用的文献

1
Collision and composite tumors; radiologic and pathologic correlation.
Abdom Radiol (NY). 2017 Dec;42(12):2909-2926. doi: 10.1007/s00261-017-1200-x.
2
Adrenal collision tumors and their mimics: multimodality imaging findings.
Cancer Imaging. 2013 Dec 30;13(4):602-10. doi: 10.1102/1470-7330.2013.0053.
3
Adrenal collision tumor diagnosed by F-18 fluorodeoxyglucose PET/CT.
Clin Nucl Med. 2010 Jun;35(6):414-7. doi: 10.1097/RLU.0b013e3181db4df1.
4
Adrenal hemangioma-adenoma: an exceedingly rare adrenal collision tumor.
J Magn Reson Imaging. 2009 Apr;29(4):949-52. doi: 10.1002/jmri.21430.
7
Adrenal masses: mr imaging features with pathologic correlation.
Radiographics. 2004 Oct;24 Suppl 1:S73-86. doi: 10.1148/rg.24si045514.
8
Functional scintigraphy of the adrenal gland.
Eur J Endocrinol. 2002 Jul;147(1):13-28. doi: 10.1530/eje.0.1470013.
10
Imaging features of uncommon adrenal masses with histopathologic correlation.
Radiographics. 1999 May-Jun;19(3):569-81. doi: 10.1148/radiographics.19.3.g99ma07569.

文献AI研究员

20分钟写一篇综述,助力文献阅读效率提升50倍。

立即体验

用中文搜PubMed

大模型驱动的PubMed中文搜索引擎

马上搜索

文档翻译

学术文献翻译模型,支持多种主流文档格式。

立即体验