• 文献检索
  • 文档翻译
  • 深度研究
  • 学术资讯
  • Suppr Zotero 插件Zotero 插件
  • 邀请有礼
  • 套餐&价格
  • 历史记录
应用&插件
Suppr Zotero 插件Zotero 插件浏览器插件Mac 客户端Windows 客户端微信小程序
定价
高级版会员购买积分包购买API积分包
服务
文献检索文档翻译深度研究API 文档MCP 服务
关于我们
关于 Suppr公司介绍联系我们用户协议隐私条款
关注我们

Suppr 超能文献

核心技术专利:CN118964589B侵权必究
粤ICP备2023148730 号-1Suppr @ 2026

文献检索

告别复杂PubMed语法,用中文像聊天一样搜索,搜遍4000万医学文献。AI智能推荐,让科研检索更轻松。

立即免费搜索

文件翻译

保留排版,准确专业,支持PDF/Word/PPT等文件格式,支持 12+语言互译。

免费翻译文档

深度研究

AI帮你快速写综述,25分钟生成高质量综述,智能提取关键信息,辅助科研写作。

立即免费体验

丙型肝炎患者肝细胞中巨型线粒体的形成——病例报告

Megamitochondria formation in hepatocytes of patient with chronic hepatitis C - a case report.

作者信息

Wieczorek Anna, Stępień Piotr M, Zarębska-Michaluk Dorota, Kryczka Wiesław, Pabjan Paweł, Król Teodora

机构信息

Department of Cell Biology and Electron Microscopy, Institute of Biology, Jan Kochanowski University, Kielce, Poland.

Clinic of Infectious Diseases, Regional Polyclinical Hospital, Kielce, Poland.

出版信息

Clin Exp Hepatol. 2017 Sep;3(3):169-175. doi: 10.5114/ceh.2017.68287. Epub 2017 Jun 12.

DOI:10.5114/ceh.2017.68287
PMID:29062908
原文链接:https://pmc.ncbi.nlm.nih.gov/articles/PMC5649480/
Abstract

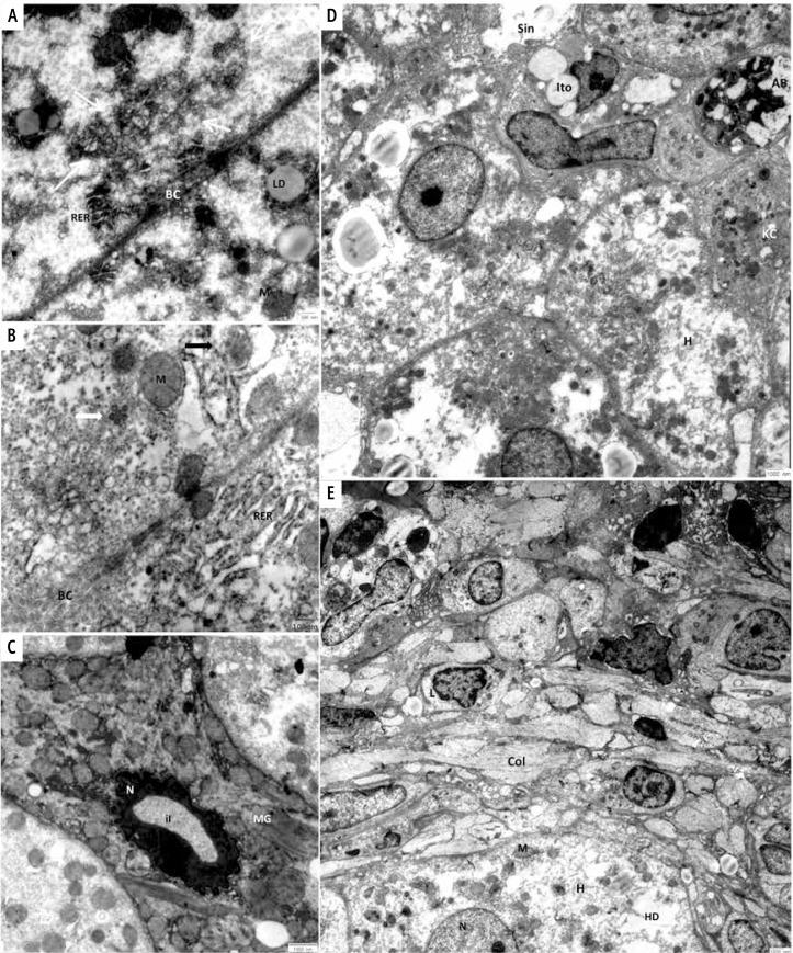
Although chronic hepatitis C virus (HCV) infection affect 185 million people world-wide, pathomechanism of liver damage is still unclear. Electron microscopy can reveal liver injury in very early stage and help understanding the mechanisms that is crucial in the pathogenesis of chronic hepatitis C. We present the morphological changes in the liver of HCV infected 24-year-old female patient, using light and transmission electron microscopy. Examination by TEM revealed wide range of specific subcellular abnormalities in hepatocellular ultrastructure. The most common observed changes were ring-shaped nuclei with intranuclear inclusion, megamitochondria, and "membranous web" structures - the hallmark of RNA-viruses infection.

摘要

尽管慢性丙型肝炎病毒(HCV)感染在全球影响着1.85亿人,但肝损伤的发病机制仍不清楚。电子显微镜可以在非常早期阶段揭示肝损伤,并有助于理解在慢性丙型肝炎发病机制中至关重要的机制。我们使用光学显微镜和透射电子显微镜展示了一名24岁丙型肝炎病毒感染女性患者肝脏的形态学变化。透射电子显微镜检查揭示了肝细胞超微结构中广泛的特定亚细胞异常。最常见的观察到的变化是带有核内包涵体的环形核、巨型线粒体和“膜性网”结构——RNA病毒感染的标志。

https://cdn.ncbi.nlm.nih.gov/pmc/blobs/59e7/5649480/01ca05747787/CEH-3-30095-g005.jpg
https://cdn.ncbi.nlm.nih.gov/pmc/blobs/59e7/5649480/1120d9519405/CEH-3-30095-g001.jpg
https://cdn.ncbi.nlm.nih.gov/pmc/blobs/59e7/5649480/00d59077097f/CEH-3-30095-g002.jpg
https://cdn.ncbi.nlm.nih.gov/pmc/blobs/59e7/5649480/09375dd6c180/CEH-3-30095-g003.jpg
https://cdn.ncbi.nlm.nih.gov/pmc/blobs/59e7/5649480/1fb616969970/CEH-3-30095-g004.jpg
https://cdn.ncbi.nlm.nih.gov/pmc/blobs/59e7/5649480/01ca05747787/CEH-3-30095-g005.jpg
https://cdn.ncbi.nlm.nih.gov/pmc/blobs/59e7/5649480/1120d9519405/CEH-3-30095-g001.jpg
https://cdn.ncbi.nlm.nih.gov/pmc/blobs/59e7/5649480/00d59077097f/CEH-3-30095-g002.jpg
https://cdn.ncbi.nlm.nih.gov/pmc/blobs/59e7/5649480/09375dd6c180/CEH-3-30095-g003.jpg
https://cdn.ncbi.nlm.nih.gov/pmc/blobs/59e7/5649480/1fb616969970/CEH-3-30095-g004.jpg
https://cdn.ncbi.nlm.nih.gov/pmc/blobs/59e7/5649480/01ca05747787/CEH-3-30095-g005.jpg

相似文献

1
Megamitochondria formation in hepatocytes of patient with chronic hepatitis C - a case report.丙型肝炎患者肝细胞中巨型线粒体的形成——病例报告
Clin Exp Hepatol. 2017 Sep;3(3):169-175. doi: 10.5114/ceh.2017.68287. Epub 2017 Jun 12.
2
Interferon-inducible cholesterol-25-hydroxylase restricts hepatitis C virus replication through blockage of membranous web formation.干扰素诱导的胆固醇-25-羟化酶通过阻断膜网络形成限制丙型肝炎病毒复制。
Hepatology. 2015 Sep;62(3):702-14. doi: 10.1002/hep.27913. Epub 2015 Jul 28.
3
NIH Consensus Statement on Management of Hepatitis C: 2002.美国国立卫生研究院关于丙型肝炎管理的共识声明:2002年。
NIH Consens State Sci Statements. 2002;19(3):1-46.
4
Chronic hepatitis associated with GB virus B persistence in a tamarin after intrahepatic inoculation of synthetic viral RNA.在绢毛猴经肝内接种合成病毒RNA后,与GB病毒B持续感染相关的慢性肝炎
Proc Natl Acad Sci U S A. 2003 Aug 19;100(17):9962-7. doi: 10.1073/pnas.1731505100. Epub 2003 Aug 7.
5
Immunohistochemical detection of hepatitis C virus-related proteins in liver tissue.肝组织中丙型肝炎病毒相关蛋白的免疫组织化学检测
Clin Exp Rheumatol. 1995 Nov-Dec;13 Suppl 13:S29-32.
6
Expression of hepatitis C virus proteins induces distinct membrane alterations including a candidate viral replication complex.丙型肝炎病毒蛋白的表达会引发不同的膜改变,包括一种候选病毒复制复合体。
J Virol. 2002 Jun;76(12):5974-84. doi: 10.1128/jvi.76.12.5974-5984.2002.
7
Intranuclear inclusion bodies in liver of chronic hepatitis B with delta infection.伴有丁型感染的慢性乙型肝炎患者肝脏中的核内包涵体。
Acta Pathol Jpn. 1988 Jun;38(6):759-68. doi: 10.1111/j.1440-1827.1988.tb02347.x.
8
Ultrastructure of normal and hepatitis virus infected human and chimpanzee liver: similarities and differences.正常及感染肝炎病毒的人类和黑猩猩肝脏的超微结构:异同点
Acta Morphol Hung. 1992;40(1-4):203-14.
9
New Mechanism of Hepatic Fibrogenesis: Hepatitis C Virus Infection Induces Transforming Growth Factor β1 Production through Glucose-Regulated Protein 94.肝纤维化形成的新机制:丙型肝炎病毒感染通过葡萄糖调节蛋白94诱导转化生长因子β1产生
J Virol. 2015 Dec 30;90(6):3044-55. doi: 10.1128/JVI.02976-15.
10
Hepatitis C virus: Enslavement of host factors.丙型肝炎病毒:宿主因子的奴役。
IUBMB Life. 2018 Jan;70(1):41-49. doi: 10.1002/iub.1702.

引用本文的文献

1
Hypoxia-reprogramed megamitochondrion contacts and engulfs lysosome to mediate mitochondrial self-digestion.缺氧重编程的巨大线粒体接触并吞噬溶酶体,从而介导线粒体自我消化。
Nat Commun. 2023 Jul 11;14(1):4105. doi: 10.1038/s41467-023-39811-9.
2
Effect of nano extracts of olea europaea leaves, ficus carica and liraglutide in lipidemic liver of type 2 diabetic rat model.油橄榄叶、无花果和利拉鲁肽纳米提取物对2型糖尿病大鼠模型脂质性肝脏的影响。
Saudi J Biol Sci. 2022 Jul;29(7):103333. doi: 10.1016/j.sjbs.2022.103333. Epub 2022 Jun 1.
3
Intracellular Ca Imbalance Critically Contributes to Paraptosis.

本文引用的文献

1
Steatosis and hepatitis C.脂肪变性和丙型肝炎。
Gastroenterol Rep (Oxf). 2016 Feb;4(1):24-9. doi: 10.1093/gastro/gov040. Epub 2015 Aug 13.
2
NS5A Domain 1 and Polyprotein Cleavage Kinetics Are Critical for Induction of Double-Membrane Vesicles Associated with Hepatitis C Virus Replication.NS5A结构域1和多聚蛋白切割动力学对于诱导与丙型肝炎病毒复制相关的双膜囊泡至关重要。
mBio. 2015 Jul 7;6(4):e00759. doi: 10.1128/mBio.00759-15.
3
Pediatric non-alcoholic steatohepatitis: the first report on the ultrastructure of hepatocyte mitochondria.
细胞内钙失衡是副凋亡的关键因素。
Front Cell Dev Biol. 2021 Jan 12;8:607844. doi: 10.3389/fcell.2020.607844. eCollection 2020.
4
Spontaneous liver disease in wild-type C57BL/6JOlaHsd mice fed semisynthetic diet.C57BL/6JOlaHsd 野生型小鼠在半合成饮食喂养下自发的肝脏疾病。
PLoS One. 2020 Sep 21;15(9):e0232069. doi: 10.1371/journal.pone.0232069. eCollection 2020.
5
Mitochondrial role in the neonatal predisposition to developing nonalcoholic fatty liver disease.线粒体在新生儿易患非酒精性脂肪性肝病中的作用。
J Clin Invest. 2018 Aug 31;128(9):3692-3703. doi: 10.1172/JCI120846.
儿童非酒精性脂肪性肝炎:关于肝细胞线粒体超微结构的首次报告。
World J Gastroenterol. 2014 Apr 21;20(15):4335-40. doi: 10.3748/wjg.v20.i15.4335.
4
Dengue virus- and hepatitis C virus-induced replication and assembly compartments: the enemy inside--caught in the web.登革热病毒和丙型肝炎病毒诱导的复制和组装隔室:内部的敌人——陷入网络之中。
J Virol. 2014 Jun;88(11):5907-11. doi: 10.1128/JVI.03404-13. Epub 2014 Mar 12.
5
Viruses as modulators of mitochondrial functions.作为线粒体功能调节因子的病毒
Adv Virol. 2013;2013:738794. doi: 10.1155/2013/738794. Epub 2013 Oct 24.
6
Mitochondrial reactive oxygen species as a mystery voice in hepatitis C.线粒体活性氧作为丙型肝炎的神秘声音。
Hepatol Res. 2014 Feb;44(2):123-32. doi: 10.1111/hepr.12247. Epub 2014 Jan 8.
7
Morphological and biochemical characterization of the membranous hepatitis C virus replication compartment.膜型丙型肝炎病毒复制区的形态和生化特征。
J Virol. 2013 Oct;87(19):10612-27. doi: 10.1128/JVI.01370-13. Epub 2013 Jul 24.
8
Global epidemiology of hepatitis C virus infection: new estimates of age-specific antibody to HCV seroprevalence.全球丙型肝炎病毒感染的流行病学:特定年龄组丙型肝炎病毒抗体血清流行率的新估计。
Hepatology. 2013 Apr;57(4):1333-42. doi: 10.1002/hep.26141. Epub 2013 Feb 4.
9
Global burden of hepatitis C: considerations for healthcare providers in the United States.全球丙型肝炎负担:美国医疗保健提供者的考虑因素。
Clin Infect Dis. 2012 Jul;55 Suppl 1:S10-5. doi: 10.1093/cid/cis361.
10
Protease inhibitors for the treatment of chronic hepatitis C genotype-1 infection: the new standard of care.蛋白酶抑制剂治疗慢性丙型肝炎基因型 1 感染:新的治疗标准。
Lancet Infect Dis. 2012 Sep;12(9):717-28. doi: 10.1016/S1473-3099(12)70060-9. Epub 2012 May 29.