Suppr超能文献

在Latarjet手术中,导钻能否改善喙突移植骨的放置?一项与徒手技术的前瞻性对比研究。

Can a Drill Guide Improve the Coracoid Graft Placement During the Latarjet Procedure? A Prospective Comparative Study With the Freehand Technique.

作者信息

Barth Johannes, Boutsiadis Achilleas, Neyton Lionel, Lafosse Laurent, Walch Gilles

机构信息

Centre Ostéo-\Articulaire Cèdres, Grenoble, France.

Générale de Santé, Hôpital privé Jean Mermoz; Centre Orthopédique Santy, Lyon, France.

出版信息

Orthop J Sports Med. 2017 Oct 20;5(10):2325967117734218. doi: 10.1177/2325967117734218. eCollection 2017 Oct.

Abstract

BACKGROUND

One of the factors that can affect the success of the Latarjet procedure is accurate coracoid graft (CG) placement.

HYPOTHESIS

The use of a guide can improve placement of the CG and screw positioning in the sagittal and axial planes as compared with the classic open ("freehand") technique.

STUDY DESIGN

Cohort study; Level of evidence, 2.

METHODS

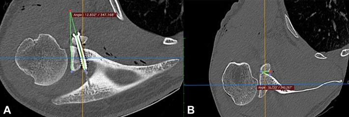
A total of 49 patients who underwent a Latarjet procedure for the treatment of recurrent anterior shoulder instability were prospectively included; the procedure was performed with the freehand technique in 22 patients (group 1) and with use of a parallel drill guide during screw placement in 27 patients (group 2). All patients underwent a postoperative computed tomography scan with the same established protocol. The scans were used to evaluate and compare the position of the CG in the sagittal and axial planes, the direction of the screws (α angle), and overall contact of the graft with the anterior surface of the glenoid after the 2 surgical techniques.

RESULTS

The CG was placed >60% below the native glenoid equator in 23 patients (85.2%) in group 2, compared with 14 patients (63.6%) in group 1 ( = .004). In the axial plane, the position of the CG in group 2 patients was more accurate (85.2% and 88.9% flush) at the inferior and middle quartiles of the glenoid surface ( = .012 and .009), respectively. Moreover, with the freehand technique (group 1), the graft was in a more lateral position in the inferior and middle quartiles ( = .012 and .009, respectively). No differences were found between groups 1 and 2 regarding the mean α angle of the superior (9° ± 4.14° vs 11° ± 6.3°, = .232) and inferior (9.5° ± 6° vs 10° ± 7.5°, = .629) screws. However, the mean contact angle (angle between the posterior coracoid and the anterior glenoid surface) with the freehand technique (3.8° ± 6.8°) was better than that of the guide (8.55° ± 8°) ( = .05).

CONCLUSION

Compared with the classic freehand operative technique, the parallel drill guide can ensure more accurate placement of the CG in the axial and sagittal planes, although with inferior bone contact.

摘要

背景

影响Latarjet手术成功的因素之一是喙突移植骨(CG)的精确放置。

假设

与传统的开放(“徒手”)技术相比,使用导向器可改善CG在矢状面和轴平面上的放置以及螺钉定位。

研究设计

队列研究;证据等级,2级。

方法

前瞻性纳入49例行Latarjet手术治疗复发性前肩关节不稳的患者;22例患者采用徒手技术进行手术(第1组),27例患者在螺钉置入时使用平行钻导向器(第2组)。所有患者均按照相同的既定方案进行术后计算机断层扫描。扫描用于评估和比较两种手术技术后CG在矢状面和轴平面上的位置、螺钉方向(α角)以及移植骨与肩胛盂前表面的整体接触情况。

结果

第2组23例患者(85.2%)的CG放置在天然肩胛盂赤道下方>60%,而第1组为14例患者(63.6%)(P = 0.004)。在轴平面上,第2组患者的CG在肩胛盂表面下四分位和中四分位的位置更准确(分别为85.2%和88.9%平齐)(P = 0.012和0.009)。此外,采用徒手技术(第1组)时,移植骨在下四分位和中四分位处于更外侧的位置(分别为P = 0.012和0.009)。第1组和第2组在上部螺钉(9°±4.14°对11°±6.3°,P = 0.232)和下部螺钉(9.5°±6°对10°±7.5°,P = 0.629)的平均α角方面未发现差异。然而,徒手技术的平均接触角(喙突后部与肩胛盂前表面之间的角度)(3.8°±6.8°)优于导向器的平均接触角(8.55°±8°)(P = 0.05)。

结论

与传统的徒手手术技术相比,平行钻导向器可确保CG在轴平面和矢状面上更精确的放置,尽管骨接触较差。

https://cdn.ncbi.nlm.nih.gov/pmc/blobs/d759/5652655/3ddcb5474b69/10.1177_2325967117734218-fig1.jpg

文献检索

告别复杂PubMed语法,用中文像聊天一样搜索,搜遍4000万医学文献。AI智能推荐,让科研检索更轻松。

立即免费搜索

文件翻译

保留排版,准确专业,支持PDF/Word/PPT等文件格式,支持 12+语言互译。

免费翻译文档

深度研究

AI帮你快速写综述,25分钟生成高质量综述,智能提取关键信息,辅助科研写作。

立即免费体验