Masuko S, Kuromi H, Shimada Y
Proc Natl Acad Sci U S A. 1979 Jul;76(7):3537-41. doi: 10.1073/pnas.76.7.3537.
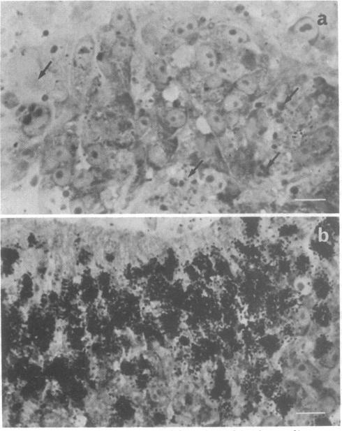
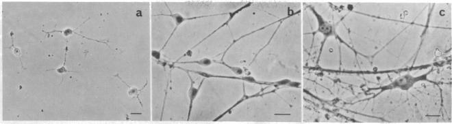
A method is described for isolating cholinergic alpha motoneurons from the spinal cord of chicken embryos at stage 17-18 (Hamburger and Hamilton numbering), at the time when it has been shown that motoneurons withdraw from the mitotic cycle but neurons of other types and glia are still mitotic. Fragments of the ventral half of the spinal cord are incubated for 24 hr in the presence of 10 microM 1-beta-D-arabinofuranosylcytosine in order to eliminate dividing cells and are subsequently dissociated into a suspension of single cells. The following evidence has been obtained and suggests that these cells are neuronal and appear to be alpha motoneurons: (i) they are resistant to the lethal effect of arabinofuranosylcytosine, and thus are postmitotic at stage 17-18; (ii) when grown in vitro, they exhibit morphological characteristics similar to those of ventral spinal neurons, which include the ability to be stained with silver, Nissl, methylene blue vital stain at pH 6.5-7.0, and choline acetyltransferase histochemistry; (iii) they have high choline acetyltransferase activity; (iv) they are capable of forming functional synapses with muscle.
本文描述了一种从处于17-18期(汉伯格和汉密尔顿分期法)鸡胚脊髓中分离胆碱能α运动神经元的方法,此时已证明运动神经元退出有丝分裂周期,而其他类型的神经元和神经胶质细胞仍处于有丝分裂状态。将脊髓腹侧半部分的片段在含有10微摩尔1-β-D-阿拉伯呋喃糖基胞嘧啶的条件下孵育24小时,以消除分裂细胞,随后将其解离成单细胞悬液。已获得以下证据,表明这些细胞是神经元,且似乎是α运动神经元:(i)它们对阿拉伯呋喃糖基胞嘧啶的致死作用具有抗性,因此在17-18期已停止有丝分裂;(ii)在体外培养时,它们表现出与脊髓腹侧神经元相似的形态特征,包括能用银染、尼氏染色、pH值为6.5-7.0的亚甲蓝活体染色以及胆碱乙酰转移酶组织化学染色;(iii)它们具有高胆碱乙酰转移酶活性;(iv)它们能够与肌肉形成功能性突触。