Department of Liver Surgery, Renji Hospital, School of Medicine, Shanghai Jiao Tong University, Shanghai 200127, China.
International Cooperation Laboratory on Signal Transduction, Eastern Hepatobiliary Surgery Institute, Second Military Medical University, Shanghai 200438, China.
Int J Biol Sci. 2017 Sep 21;13(10):1234-1241. doi: 10.7150/ijbs.21149. eCollection 2017.
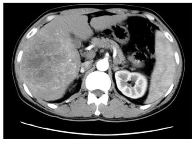
There is no information regarding transarterial chemoembolization (TACE) as a postoperative management after hepatic resection for patients with hepatitis B virus (HBV)-associated intrahepatic cholangiocarcinoma (ICC). Forty-two patients with pathological confirmation of HBV-associated ICC were enrolled. Prognostic impact of the clinicopathological factors as well as postoperative TACE were evaluated. Computed tomography findings of HBV-associated ICC were assessed. Tumor size of larger than 5 cm (hazard ratio [HR], 5.654; 95% confidence interval [CI], 1.175 to 27.204; P = 0.031), postoperative TACE (HR, 0.123; 95% CI, 0.023 to 0.643; P = 0.013), and lymph node metastasis (HR, 3.284; 95% CI, 1.236 to 8.724; P = 0.017) revealed to be independently associated with survival outcomes of patients with HBV-associated ICC. Application of TACE, as a postoperative management to control early local recurrence on the basis of hepatic arterial phase enhancement, significantly prolonged survival outcomes (1-yr, 88.9%; 3-yr, 77.8%; 5-yr, 66.7%), compared to the patients who did not receive TACE (1-yr, 63.6%; 3-yr, 30.8%; 5-yr, 13.0%). When analyzed according to the status of hepatic arterial phase, arterial phase enhancement demonstrated a favorable trend on prognosis of patients with HBV-associated ICC without statistical significance (HR, 0.435; 95% CI, 0.140 to 1.359; P = 0.141), and TACE independently improved overall survival of patients with arterial phase enhancement (HR, 0.105; 95% CI, 0.014 to 0.774; P = 0.027). Put together, our results indicate that postoperative TACE effectively improves prognosis of HBV-associated ICC with arterial phase enhancement in CT scans. Large-sized trials are required for our results to be applied in clinical medicine.
目前尚无关于经肝动脉化疗栓塞术(TACE)作为乙型肝炎病毒(HBV)相关肝内胆管细胞癌(ICC)患者肝切除术后管理的信息。本研究共纳入 42 例经病理证实的 HBV 相关 ICC 患者。评估了临床病理因素以及术后 TACE 的预后影响。评估了 HBV 相关 ICC 的 CT 表现。肿瘤直径大于 5cm(风险比[HR],5.654;95%置信区间[CI],1.175 至 27.204;P=0.031)、术后 TACE(HR,0.123;95%CI,0.023 至 0.643;P=0.013)和淋巴结转移(HR,3.284;95%CI,1.236 至 8.724;P=0.017)是与 HBV 相关 ICC 患者生存结果独立相关的因素。基于肝动脉期增强,TACE 作为一种术后管理方法,用于控制早期局部复发,与未接受 TACE 的患者相比,显著延长了生存结果(1 年,88.9%;3 年,77.8%;5 年,66.7%)(1 年,63.6%;3 年,30.8%;5 年,13.0%)。根据肝动脉期的状态进行分析时,动脉期增强显示出对 HBV 相关 ICC 患者预后的有利趋势,但无统计学意义(HR,0.435;95%CI,0.140 至 1.359;P=0.141),TACE 独立改善了动脉期增强患者的总生存(HR,0.105;95%CI,0.014 至 0.774;P=0.027)。综上所述,我们的研究结果表明,术后 TACE 可有效改善 CT 扫描显示动脉期增强的 HBV 相关 ICC 的预后。需要进行大型临床试验,以便将我们的研究结果应用于临床医学。