• 文献检索
  • 文档翻译
  • 深度研究
  • 学术资讯
  • Suppr Zotero 插件Zotero 插件
  • 邀请有礼
  • 套餐&价格
  • 历史记录
应用&插件
Suppr Zotero 插件Zotero 插件浏览器插件Mac 客户端Windows 客户端微信小程序
定价
高级版会员购买积分包购买API积分包
服务
文献检索文档翻译深度研究API 文档MCP 服务
关于我们
关于 Suppr公司介绍联系我们用户协议隐私条款
关注我们

Suppr 超能文献

核心技术专利:CN118964589B侵权必究
粤ICP备2023148730 号-1Suppr @ 2026

文献检索

告别复杂PubMed语法,用中文像聊天一样搜索,搜遍4000万医学文献。AI智能推荐,让科研检索更轻松。

立即免费搜索

文件翻译

保留排版,准确专业,支持PDF/Word/PPT等文件格式,支持 12+语言互译。

免费翻译文档

深度研究

AI帮你快速写综述,25分钟生成高质量综述,智能提取关键信息,辅助科研写作。

立即免费体验

骨旁脂肪瘤作为周围神经病变和局部刺激的罕见病因:12例报告

Parosteal lipoma as a rare cause of peripheral neuropathy and local irritation: A report of 12 cases.

作者信息

Başarir Kerem, Şahin Ercan, Kalem Mahmut, Karaca Mustafa Onur, Yildiz Yusuf, Saglik Yener

机构信息

Ankara University, Faculty of Medicine, Department of Orthopedics & Traumatology, Ankara, Turkey.

Bülent Ecevit University, Faculty of Medicine, Department of Orthopedics & Traumatology, Zonguldak, Turkey.

出版信息

Acta Orthop Traumatol Turc. 2017 Dec;51(6):474-477. doi: 10.1016/j.aott.2017.02.016. Epub 2017 Nov 8.

DOI:10.1016/j.aott.2017.02.016
PMID:29128312
原文链接:https://pmc.ncbi.nlm.nih.gov/articles/PMC6197454/
Abstract

OBJECTIVE

The aim of this study was to evaluate the clinical features and functional results of patients with parosteal lipomas.

METHODS

A total of 12 patients (8 females and 4 males; mean age: 45 (10-62) years) with parosteal lipomas who were treated between April 1986 and April 2014, were included into the study. The medical records of the patients were reviewed to analyze the clinical features and functional results of the patients.

RESULTS

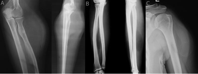
Of the 12 lipomas, 5 were localized in the proximal arm, 4 in the forearm, 1 in the distal arm, 1 in the distal thigh and 1 in the distal tibia. All patients presented with a progressive, slow-growing mass that was associated with thumb extension weakness in 1 case, and brachialgia-like symptoms in 1 case. Plain radiographs showed a juxtacortical mass in all cases and irregular ossification in 3 cases. In all cases, marginal excision was performed and no clinical recurrence was observed after a mean follow-up of 16 months.

CONCLUSION

Parosteal lipomas are uncommon tumors that can be diagnosed with their characteristic radiological features. Parosteal lipomas occurring in the proximal radius may easily cause paralysis of the posterior interosseous nerve or muscle weakness.

LEVEL OF EVIDENCE

Level IV, Therapeutic study.

摘要

目的

本研究旨在评估骨旁脂肪瘤患者的临床特征及功能结果。

方法

本研究纳入了1986年4月至2014年4月期间接受治疗的12例骨旁脂肪瘤患者(8例女性,4例男性;平均年龄:45(10 - 62)岁)。回顾患者的病历以分析其临床特征及功能结果。

结果

12例脂肪瘤中,5例位于上臂近端,4例位于前臂,1例位于上臂远端,1例位于大腿远端,1例位于胫骨远端。所有患者均表现为进行性生长缓慢的肿块,其中1例伴有拇指伸展无力,1例出现臂痛样症状。X线平片显示所有病例均有皮质旁肿块,3例有不规则骨化。所有病例均行边缘切除术,平均随访16个月后未观察到临床复发。

结论

骨旁脂肪瘤是罕见肿瘤,可通过其特征性影像学表现进行诊断。发生于桡骨近端的骨旁脂肪瘤可能易导致骨间后神经麻痹或肌肉无力。

证据级别

四级,治疗性研究。

https://cdn.ncbi.nlm.nih.gov/pmc/blobs/1693/6197454/2f9d556b60c5/gr5.jpg
https://cdn.ncbi.nlm.nih.gov/pmc/blobs/1693/6197454/7f81c6e97cd8/gr1.jpg
https://cdn.ncbi.nlm.nih.gov/pmc/blobs/1693/6197454/e4ed8e329b74/gr2.jpg
https://cdn.ncbi.nlm.nih.gov/pmc/blobs/1693/6197454/add4bc8ad16a/gr3.jpg
https://cdn.ncbi.nlm.nih.gov/pmc/blobs/1693/6197454/9a90bfcad51a/gr4.jpg
https://cdn.ncbi.nlm.nih.gov/pmc/blobs/1693/6197454/2f9d556b60c5/gr5.jpg
https://cdn.ncbi.nlm.nih.gov/pmc/blobs/1693/6197454/7f81c6e97cd8/gr1.jpg
https://cdn.ncbi.nlm.nih.gov/pmc/blobs/1693/6197454/e4ed8e329b74/gr2.jpg
https://cdn.ncbi.nlm.nih.gov/pmc/blobs/1693/6197454/add4bc8ad16a/gr3.jpg
https://cdn.ncbi.nlm.nih.gov/pmc/blobs/1693/6197454/9a90bfcad51a/gr4.jpg
https://cdn.ncbi.nlm.nih.gov/pmc/blobs/1693/6197454/2f9d556b60c5/gr5.jpg

相似文献

1
Parosteal lipoma as a rare cause of peripheral neuropathy and local irritation: A report of 12 cases.骨旁脂肪瘤作为周围神经病变和局部刺激的罕见病因:12例报告
Acta Orthop Traumatol Turc. 2017 Dec;51(6):474-477. doi: 10.1016/j.aott.2017.02.016. Epub 2017 Nov 8.
2
Posterior interosseous nerve palsy due to parosteal lipoma.骨膜下脂肪瘤导致的骨间后神经麻痹
J Hand Surg Br. 2002 Dec;27(6):535-7. doi: 10.1054/jhsb.2002.0783.
3
Well-circumscribed deep-seated lipomas of the upper extremity. A report of 13 cases.上肢界限清楚的深部脂肪瘤。报告 13 例。
Orthop Traumatol Surg Res. 2011 Apr;97(2):152-8. doi: 10.1016/j.otsr.2010.09.019. Epub 2011 Feb 26.
4
Posterior interosseous nerve palsy caused by parosteal lipoma of proximal radius.桡骨近端骨膜下脂肪瘤致骨间后神经麻痹
Skeletal Radiol. 1998 Jul;27(7):375-9. doi: 10.1007/s002560050401.
5
[On parosteal lipomas of the limbs].[关于肢体骨旁脂肪瘤]
Minerva Chir. 1996 Jul-Aug;51(7-8):607-16.
6
[Lipoma as a rare cause of nerve compression syndrome in the hand and forearm].[脂肪瘤作为手部和前臂神经压迫综合征的罕见病因]
Handchir Mikrochir Plast Chir. 2002 Jan;34(1):17-21. doi: 10.1055/s-2002-22105.
7
Superficial radial nerve compression caused by a parosteal lipoma of proximal radius: a case report.近端桡骨骨膜下脂肪瘤致桡神经浅支受压:一例报告
Hand Surg. 2005;10(2-3):293-6. doi: 10.1142/S0218810405002851.
8
Parosteal lipoma of the proximal radius: a report of five cases.桡骨近端骨旁脂肪瘤:5例报告
J Hand Surg Am. 1992 Nov;17(6):1095-7. doi: 10.1016/s0363-5023(09)91072-3.
9
[Thenar lipoma causing nervous compression. A case report].
Chir Main. 2006 Sep;25(3-4):156-8. doi: 10.1016/j.main.2006.05.001.
10
Lipoma causing posterior interosseous nerve palsy or superficial radial nerve paraesthesia.脂肪瘤导致骨间后神经麻痹或桡神经浅支感觉异常。
J Hand Surg Eur Vol. 2011 Jan;36(1):76-7. doi: 10.1177/1753193410382376.

引用本文的文献

1
Unusual Large Parosteal Lipoma of the Proximal Forearm: A Case Report and Literature Review.前臂近端罕见的骨旁脂肪瘤:一例报告及文献复习
Case Rep Orthop. 2025 Apr 11;2025:7750483. doi: 10.1155/cro/7750483. eCollection 2025.
2
Parosteal lipoma of the left femur: A case report.左股骨骨旁脂肪瘤:一例报告。
Clin Case Rep. 2024 Apr 22;12(4):e8744. doi: 10.1002/ccr3.8744. eCollection 2024 Apr.
3
Multimodality imaging features of parosteal lipomas.骨旁脂肪瘤的多模态影像学特征。

本文引用的文献

1
Peripheral nerve compression secondary to adjacent lipomas.继发于相邻脂肪瘤的周围神经受压。
Surg Neurol. 2007 Mar;67(3):258-62; discussion 262-3. doi: 10.1016/j.surneu.2006.06.052.
2
Neurovascular compression by a subpectoral lipoma. A case report of a rare cause of thoracic outlet syndrome.
Acta Chir Belg. 2003 Oct;103(5):528-31. doi: 10.1080/00015458.2003.11679484.
3
PAROSTEL LIPOMA OF THE PROXIMAL PART OF THE RADIUS. A CLINICAL ENTITY WITH FREQUENT RADIAL-NERVE INJURY.桡骨近端副骨膜脂肪瘤。一种常伴有桡神经损伤的临床实体。
Skeletal Radiol. 2023 Sep;52(9):1767-1775. doi: 10.1007/s00256-023-04349-w. Epub 2023 Apr 21.
4
Forearm Lipoma Causing PIN Compression: Literature Review and Meta-Analysis of Predictors for Motor Recovery.前臂脂肪瘤导致 PIN 受压:运动功能恢复预测因素的文献回顾和荟萃分析。
Hand (N Y). 2024 Jan;19(1):149-153. doi: 10.1177/15589447221096710. Epub 2022 Jun 3.
5
Intraneural Posterior Interosseous Nerve Lipoma with Complete Paralysis: Case Report and Review of the Literature.伴有完全性麻痹的神经内骨间后神经脂肪瘤:病例报告及文献复习
Cureus. 2018 May 25;10(5):e2689. doi: 10.7759/cureus.2689.
J Bone Joint Surg Am. 1964 Apr;46:608-14.
4
A high radial neuropathy by parosteal lipoma compression.骨膜下脂肪瘤压迫导致的高位桡神经病变
J Shoulder Elbow Surg. 2002 Jul-Aug;11(4):386-8. doi: 10.1067/mse.2002.121766.
5
MR imaging of a parosteal lipoma.骨旁脂肪瘤的磁共振成像
Clin Imaging. 2000 Jan-Feb;24(1):15-8. doi: 10.1016/s0899-7071(00)00156-x.
6
Posterior interosseous nerve palsy caused by parosteal lipoma of proximal radius.桡骨近端骨膜下脂肪瘤致骨间后神经麻痹
Skeletal Radiol. 1998 Jul;27(7):375-9. doi: 10.1007/s002560050401.
7
Parosteal lipoma with hyperostosis: report of two pathologically proven cases evaluated by magnetic resonance imaging.伴有骨质增生的骨旁脂肪瘤:经磁共振成像评估的两例病理证实病例报告
Can Assoc Radiol J. 1993 Aug;44(4):285-90.
8
Parosteal lipoma: MR imaging characteristics.骨旁脂肪瘤:磁共振成像特征
AJR Am J Roentgenol. 1994 Jan;162(1):105-10. doi: 10.2214/ajr.162.1.8273646.
9
Case report 821: Parosteal ossifying lipoma of femur.病例报告821:股骨骨旁骨化性脂肪瘤。
Skeletal Radiol. 1994 Jan;23(1):67-9.
10
Ossifying parosteal lipoma with exuberant cortical reaction. A case report.伴有旺盛皮质反应的骨化性骨旁脂肪瘤。病例报告。
Int Orthop. 1994 Feb;18(1):55-6. doi: 10.1007/BF00180182.