• 文献检索
  • 文档翻译
  • 深度研究
  • 学术资讯
  • Suppr Zotero 插件Zotero 插件
  • 邀请有礼
  • 套餐&价格
  • 历史记录
应用&插件
Suppr Zotero 插件Zotero 插件浏览器插件Mac 客户端Windows 客户端微信小程序
定价
高级版会员购买积分包购买API积分包
服务
文献检索文档翻译深度研究API 文档MCP 服务
关于我们
关于 Suppr公司介绍联系我们用户协议隐私条款
关注我们

Suppr 超能文献

核心技术专利:CN118964589B侵权必究
粤ICP备2023148730 号-1Suppr @ 2026

文献检索

告别复杂PubMed语法,用中文像聊天一样搜索,搜遍4000万医学文献。AI智能推荐,让科研检索更轻松。

立即免费搜索

文件翻译

保留排版,准确专业,支持PDF/Word/PPT等文件格式,支持 12+语言互译。

免费翻译文档

深度研究

AI帮你快速写综述,25分钟生成高质量综述,智能提取关键信息,辅助科研写作。

立即免费体验

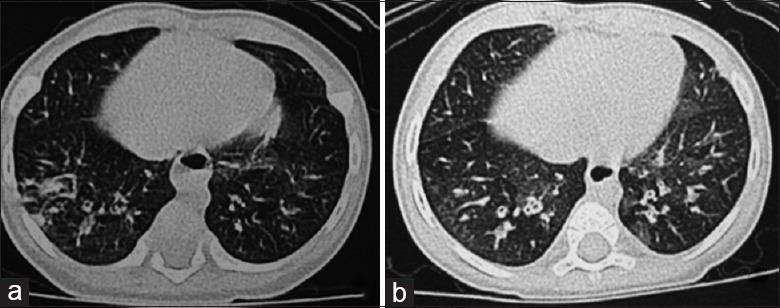
Pseudo-Bartter Syndrome in a Chinese Infant with Cystic Fibrosis Caused by c.532G>A Mutation in .

作者信息

Yao Yao, Feng Xue-Li, Xu Bao-Ping, Shen Kun-Ling

机构信息

National Clinical Research Center for Respiratory Diseases, Department of Respiratory Medicine, Beijing Children's Hospital, Capital Medical University, National Center for Children's Health, Beijing 100045, China.

出版信息

Chin Med J (Engl). 2017 Nov 20;130(22):2771-2772. doi: 10.4103/0366-6999.218015.

DOI:10.4103/0366-6999.218015
PMID:29133775
原文链接:https://pmc.ncbi.nlm.nih.gov/articles/PMC5695073/
Abstract
摘要
https://cdn.ncbi.nlm.nih.gov/pmc/blobs/45a1/5695073/f018caed8b01/CMJ-130-2771-g001.jpg
https://cdn.ncbi.nlm.nih.gov/pmc/blobs/45a1/5695073/f018caed8b01/CMJ-130-2771-g001.jpg
https://cdn.ncbi.nlm.nih.gov/pmc/blobs/45a1/5695073/f018caed8b01/CMJ-130-2771-g001.jpg

相似文献

1
Pseudo-Bartter Syndrome in a Chinese Infant with Cystic Fibrosis Caused by c.532G>A Mutation in .一名中国婴儿因CFTR基因c.532G>A突变导致囊性纤维化并发假性巴特综合征
Chin Med J (Engl). 2017 Nov 20;130(22):2771-2772. doi: 10.4103/0366-6999.218015.
2
Pseudo-Bartter syndrome in Chinese children with cystic fibrosis: Clinical features and genotypic findings.囊性纤维化患儿中的假性巴特综合征:临床特征和基因发现。
Pediatr Pulmonol. 2020 Nov;55(11):3021-3029. doi: 10.1002/ppul.25012. Epub 2020 Aug 13.
3
Pseudo-Bartter syndrome as the sole manifestation of cystic fibrosis in a child with 711+G>T/IVS8-5T mutation: a new face of an old disease.伪巴特综合征作为一名携带711+G>T/IVS8-5T突变的儿童囊性纤维化的唯一表现:一种旧疾病的新面孔。
Ann Biol Clin (Paris). 2017 Aug 1;75(4):466-473. doi: 10.1684/abc.2017.1268.
4
Clinical characterization and diagnosis of cystic fibrosis through exome sequencing in Chinese infants with Bartter-syndrome-like hypokalemia alkalosis.通过外显子组测序对中国婴儿巴特综合征样低钾碱中毒进行临床特征分析和诊断。
Front Med. 2018 Oct;12(5):550-558. doi: 10.1007/s11684-017-0567-y. Epub 2018 Mar 9.
5
[Cystic fibrosis primarily presenting with pseudo-Bartter syndrome: a report of three cases and literature review].以假性巴特综合征为主要表现的囊性纤维化:三例报告及文献复习
Zhongguo Dang Dai Er Ke Za Zhi. 2024 May 15;26(5):506-511. doi: 10.7499/j.issn.1008-8830.2310080.
6
Cystic Fibrosis Presenting as Pseudo-Bartter Syndrome: An Important Diagnosis that is Missed!囊性纤维化表现为假性巴特综合征:一个被忽视的重要诊断!
Indian J Pediatr. 2020 Sep;87(9):726-732. doi: 10.1007/s12098-020-03342-8. Epub 2020 Jun 5.
7
Should isolated Pseudo-Bartter syndrome be considered a CFTR-related disorder of infancy?孤立性假性巴特综合征是否应被视为婴儿期 CFTR 相关疾病?
Pediatr Pulmonol. 2019 Oct;54(10):1578-1583. doi: 10.1002/ppul.24433. Epub 2019 Jul 21.
8
K162E - A rare and uncategorized CFTR variant causing cystic fibrosis.K162E - 一种导致囊性纤维化的罕见且未分类的囊性纤维化跨膜传导调节因子变体。
J Cyst Fibros. 2021 May;20(3):489-491. doi: 10.1016/j.jcf.2020.07.007. Epub 2020 Jul 14.
9
A new compound heterozygous CFTR mutation in a Chinese family with cystic fibrosis.一个患有囊性纤维化的中国家庭中的一种新的复合杂合CFTR突变。
Clin Respir J. 2017 Nov;11(6):696-702. doi: 10.1111/crj.12401. Epub 2015 Nov 3.
10
Differences in gene mutations between Chinese and Caucasian cystic fibrosis patients.中国囊性纤维化患者与白种人囊性纤维化患者基因突变的差异。
Pediatr Pulmonol. 2017 Mar;52(3):E11-E14. doi: 10.1002/ppul.23539. Epub 2016 Oct 7.

引用本文的文献

1
[Cystic fibrosis primarily presenting with pseudo-Bartter syndrome: a report of three cases and literature review].以假性巴特综合征为主要表现的囊性纤维化:三例报告及文献复习
Zhongguo Dang Dai Er Ke Za Zhi. 2024 May 15;26(5):506-511. doi: 10.7499/j.issn.1008-8830.2310080.
2
c.753_754delAG, a novel mutation found in a Chinese patient with cystic fibrosis: A case report and review of the literature.c.753_754delAG,在中国一名囊性纤维化患者中发现的一种新型突变:病例报告及文献复习
World J Clin Cases. 2019 Aug 6;7(15):2110-2119. doi: 10.12998/wjcc.v7.i15.2110.

本文引用的文献

1
Four case reports of Chinese cystic fibrosis patients and literature review.4例中国囊性纤维化患者的病例报告及文献综述
Pediatr Pulmonol. 2017 Aug;52(8):1020-1028. doi: 10.1002/ppul.23744. Epub 2017 Jun 13.
2
Clinical Phenotypes and Genotypic Spectrum of Cystic Fibrosis in Chinese Children.中国儿童囊性纤维化的临床表型和基因型谱。
J Pediatr. 2016 Apr;171:269-76.e1. doi: 10.1016/j.jpeds.2015.12.025. Epub 2016 Jan 27.
3
Epidemiology and genetics of cystic fibrosis in Asia: In preparation for the next-generation treatments.
亚洲囊性纤维化的流行病学和遗传学:为下一代治疗做准备。
Respirology. 2015 Nov;20(8):1172-81. doi: 10.1111/resp.12656. Epub 2015 Oct 6.
4
Pseudo-bartter syndrome, pattern and correlation with other cystic fibrosis features.假性巴特综合征、模式及其与其他囊性纤维化特征的相关性。
Saudi J Kidney Dis Transpl. 2013 Mar;24(2):292-6. doi: 10.4103/1319-2442.109579.
5
Hyponatremic dehydration as a presentation of cystic fibrosis.低钠血症性脱水作为囊性纤维化的一种表现形式。
Pediatr Emerg Care. 2006 Nov;22(11):725-7. doi: 10.1097/01.pec.0000245170.31343.bb.