• 文献检索
  • 文档翻译
  • 深度研究
  • 学术资讯
  • Suppr Zotero 插件Zotero 插件
  • 邀请有礼
  • 套餐&价格
  • 历史记录
应用&插件
Suppr Zotero 插件Zotero 插件浏览器插件Mac 客户端Windows 客户端微信小程序
定价
高级版会员购买积分包购买API积分包
服务
文献检索文档翻译深度研究API 文档MCP 服务
关于我们
关于 Suppr公司介绍联系我们用户协议隐私条款
关注我们

Suppr 超能文献

核心技术专利:CN118964589B侵权必究
粤ICP备2023148730 号-1Suppr @ 2026

文献检索

告别复杂PubMed语法,用中文像聊天一样搜索,搜遍4000万医学文献。AI智能推荐,让科研检索更轻松。

立即免费搜索

文件翻译

保留排版,准确专业,支持PDF/Word/PPT等文件格式,支持 12+语言互译。

免费翻译文档

深度研究

AI帮你快速写综述,25分钟生成高质量综述,智能提取关键信息,辅助科研写作。

立即免费体验

表现为假性动脉瘤样皮下肿瘤的原发性皮下尤因肉瘤

Primary Subcutaneous Ewing Sarcoma Presented as Pseudo Aneurysmal Subcutaneous Tumor.

作者信息

Hammedi Faten, Ziadi Sonia, Trimeche Mounir, Jomaa Wafa, Sriha Baddredine, Korbi Sadok

机构信息

Department of Pathology, Farhat Hached Hospital, Sousse, Tunisia.

出版信息

World J Oncol. 2010 Feb;1(1):47-49. doi: 10.4021/wjon2010.01.1205. Epub 2010 Feb 1.

DOI:10.4021/wjon2010.01.1205
PMID:29147180
原文链接:https://pmc.ncbi.nlm.nih.gov/articles/PMC5649735/
Abstract

BACKGROUND

Extraskeletal Ewing's sarcoma is a rare malignant tumor of mesenchymal origin, which is histologically similar to primary osseous Ewing's sarcoma. It has been well described in deep soft tissues. However, location in cutaneous or subcutaneous tissue has rarely been reported. Being seen principally in children, it can be seen, rarely, in old men.

CASE REPORT

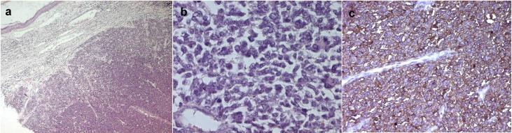
We present a case of subcutaneous Ewing sarcoma within the left shoulder of a 49-year-old man, without osseous involvement. Physical examination suggested a vascular tumor. Histologically, it was a small round cell tumor that marked strongly for CD99. The diagnosis of subcutaneous Ewing sarcoma was performed.

CONCLUSION

Ewing sarcoma is a rare malignant small round cell tumor of the skin and subcutaneous tissue. It should be differentiated from other cutaneous neoplasms composed of small round cells.

摘要

背景

骨外尤文肉瘤是一种罕见的间叶源性恶性肿瘤,组织学上与原发性骨尤文肉瘤相似。它在深部软组织中已有详细描述。然而,其位于皮肤或皮下组织的情况鲜有报道。该肿瘤主要见于儿童,在老年男性中罕见。

病例报告

我们报告一例49岁男性左肩皮下尤文肉瘤,无骨质受累。体格检查提示为血管性肿瘤。组织学上,它是一种小圆形细胞肿瘤,CD99染色强阳性。诊断为皮下尤文肉瘤。

结论

尤文肉瘤是一种罕见的皮肤和皮下组织恶性小圆形细胞肿瘤。应与其他由小圆形细胞组成的皮肤肿瘤相鉴别。

https://cdn.ncbi.nlm.nih.gov/pmc/blobs/6186/5649735/77091c09573b/wjon-01-047-g002.jpg
https://cdn.ncbi.nlm.nih.gov/pmc/blobs/6186/5649735/3c9914b03972/wjon-01-047-g001.jpg
https://cdn.ncbi.nlm.nih.gov/pmc/blobs/6186/5649735/77091c09573b/wjon-01-047-g002.jpg
https://cdn.ncbi.nlm.nih.gov/pmc/blobs/6186/5649735/3c9914b03972/wjon-01-047-g001.jpg
https://cdn.ncbi.nlm.nih.gov/pmc/blobs/6186/5649735/77091c09573b/wjon-01-047-g002.jpg

相似文献

1
Primary Subcutaneous Ewing Sarcoma Presented as Pseudo Aneurysmal Subcutaneous Tumor.表现为假性动脉瘤样皮下肿瘤的原发性皮下尤因肉瘤
World J Oncol. 2010 Feb;1(1):47-49. doi: 10.4021/wjon2010.01.1205. Epub 2010 Feb 1.
2
A large femoral primary cutaneous Ewing's sarcoma in a 35-year-old woman: Case report.一名35岁女性的大型股部原发性皮肤尤文肉瘤:病例报告。
Int J Surg Case Rep. 2021 Nov;88:106520. doi: 10.1016/j.ijscr.2021.106520. Epub 2021 Oct 18.
3
Esophageal extraskeletal neoplasm Ewing's sarcoma: Case report.食管骨外肿瘤尤因肉瘤:病例报告
Int J Surg Case Rep. 2022 Aug;97:107399. doi: 10.1016/j.ijscr.2022.107399. Epub 2022 Jul 9.
4
[Primary cutaneous extraskeletal Ewing's sarcoma].[原发性皮肤骨外尤文肉瘤]
Ann Dermatol Venereol. 2005 Dec;132(12 Pt 1):986-9. doi: 10.1016/s0151-9638(05)79562-4.
5
Cutaneous extraskeletal Ewing's sarcoma.皮肤外尤文肉瘤
J Cutan Pathol. 1985 Dec;12(6):476-85. doi: 10.1111/j.1600-0560.1985.tb00446.x.
6
[Primitive cutaneous Ewing's sarcoma: a diagnostic and therapeutic dilemma].[原发性皮肤尤因肉瘤:诊断与治疗的困境]
Ann Dermatol Venereol. 2011 May;138(5):395-8. doi: 10.1016/j.annder.2010.11.010. Epub 2010 Dec 24.
7
A primary Ewing's sarcoma of pleura: Case report and literature review.胸膜原发性尤因肉瘤:病例报告及文献复习
Respir Med Case Rep. 2021 Sep 13;34:101516. doi: 10.1016/j.rmcr.2021.101516. eCollection 2021.
8
Extraskeletal Ewing's sarcoma presenting as a mediastinal mass with vena cava superior syndrome: A rare case report.表现为纵隔肿块并伴有上腔静脉综合征的骨外尤因肉瘤:1例罕见病例报告
Int J Surg Case Rep. 2024 Jun;119:109724. doi: 10.1016/j.ijscr.2024.109724. Epub 2024 Apr 30.
9
Extraosseous Ewing's sarcoma: report of a case and review of literature.骨外尤文肉瘤:1例报告并文献复习
Zhonghua Yi Xue Za Zhi (Taipei). 1992 Jan;49(1):53-6.
10
Primary Cervical Extraosseous Ewing's Sarcoma Originated from the Sternocleidomastoid Muscle: A Case Report and Review of the Literature.起源于胸锁乳突肌的原发性颈椎骨外尤文肉瘤:一例报告并文献复习
Case Rep Otolaryngol. 2024 Feb 22;2024:8867131. doi: 10.1155/2024/8867131. eCollection 2024.

本文引用的文献

1
Primary cutaneous Ewing sarcoma/primitive neuroectodermal tumour: a clinicopathological analysis of seven cases highlighting diagnostic pitfalls and the role of FISH testing in diagnosis.原发性皮肤尤文肉瘤/原始神经外胚层肿瘤:7 例临床病理分析,重点介绍诊断陷阱和 FISH 检测在诊断中的作用。
J Clin Pathol. 2009 Oct;62(10):915-9. doi: 10.1136/jcp.2008.064014.
2
Superficial primitive neuroectodermal tumor/Ewing sarcoma (PN/ES): same tumor as deep PN/ES or new entity?浅表性原始神经外胚层肿瘤/尤因肉瘤(PN/ES):与深部PN/ES为同一肿瘤还是新的病种?
Ann Diagn Pathol. 2007 Jun;11(3):153-9. doi: 10.1016/j.anndiagpath.2006.12.019.
3
[Primary cutaneous extraskeletal Ewing's sarcoma].
[原发性皮肤骨外尤文肉瘤]
Ann Dermatol Venereol. 2005 Dec;132(12 Pt 1):986-9. doi: 10.1016/s0151-9638(05)79562-4.
4
[A pseudo aneurysmal subcutaneous tumor].
Ann Pathol. 2003 Feb;23(1):73-5.
5
Cutaneous and subcutaneous Ewing's sarcoma: an indolent disease.皮肤和皮下尤因肉瘤:一种惰性疾病。
Int J Radiat Oncol Biol Phys. 2000 Jan 15;46(2):433-8.
6
Primary cutaneous Ewing's sarcoma: immunophenotypic and molecular cytogenetic evaluation of five cases.原发性皮肤尤因肉瘤:5例病例的免疫表型及分子细胞遗传学评估
Am J Surg Pathol. 1998 Mar;22(3):310-8. doi: 10.1097/00000478-199803000-00005.
7
Immunohistochemical profile of monoclonal antibody O13: antibody that recognizes glycoprotein p30/32MIC2 and is useful in diagnosing Ewing's sarcoma and peripheral neuroepithelioma.单克隆抗体O13的免疫组织化学特征:该抗体可识别糖蛋白p30/32MIC2,对尤因肉瘤和外周神经上皮瘤的诊断有帮助。
Am J Surg Pathol. 1994 May;18(5):486-94.
8
Expression of myogenic regulatory proteins (myogenin and MyoD1) in small blue round cell tumors of childhood.儿童小蓝圆细胞肿瘤中肌源性调节蛋白(肌细胞生成素和肌分化抗原1)的表达
Am J Pathol. 1995 Dec;147(6):1799-810.
9
Chromosomal translocations in Ewing's sarcoma.尤因肉瘤中的染色体易位
N Engl J Med. 1983 Aug 25;309(8):496-8.