• 文献检索
  • 文档翻译
  • 深度研究
  • 学术资讯
  • Suppr Zotero 插件Zotero 插件
  • 邀请有礼
  • 套餐&价格
  • 历史记录
应用&插件
Suppr Zotero 插件Zotero 插件浏览器插件Mac 客户端Windows 客户端微信小程序
定价
高级版会员购买积分包购买API积分包
服务
文献检索文档翻译深度研究API 文档MCP 服务
关于我们
关于 Suppr公司介绍联系我们用户协议隐私条款
关注我们

Suppr 超能文献

核心技术专利:CN118964589B侵权必究
粤ICP备2023148730 号-1Suppr @ 2026

文献检索

告别复杂PubMed语法,用中文像聊天一样搜索,搜遍4000万医学文献。AI智能推荐,让科研检索更轻松。

立即免费搜索

文件翻译

保留排版,准确专业,支持PDF/Word/PPT等文件格式,支持 12+语言互译。

免费翻译文档

深度研究

AI帮你快速写综述,25分钟生成高质量综述,智能提取关键信息,辅助科研写作。

立即免费体验

一例同时产生甲状旁腺激素相关蛋白和粒细胞集落刺激因子的卵巢透明细胞癌病例

A Case of Ovarian Clear Cell Carcinoma Simultaneously Producing Parathyroid Hormone-related Protein and Granulocyte Colony-Stimulating Factor.

作者信息

Futagami Masayuki, Yokoyama Yoshihito, Wakui Moe, Taniguchi Ryousuke, Higuchi Tsuyoshi, Mizunuma Hideki

机构信息

Department of Obstetrics and Gynecology, Hirosaki University Graduate School of Medicine, 5-Zaifu-cho, Hirosaki, Aomori 036-8562, Japan.

出版信息

World J Oncol. 2010 Jun;1(3):138-141. doi: 10.4021/wjon2010.06.214w. Epub 2010 May 19.

DOI:10.4021/wjon2010.06.214w
PMID:29147194
原文链接:https://pmc.ncbi.nlm.nih.gov/articles/PMC5649938/
Abstract

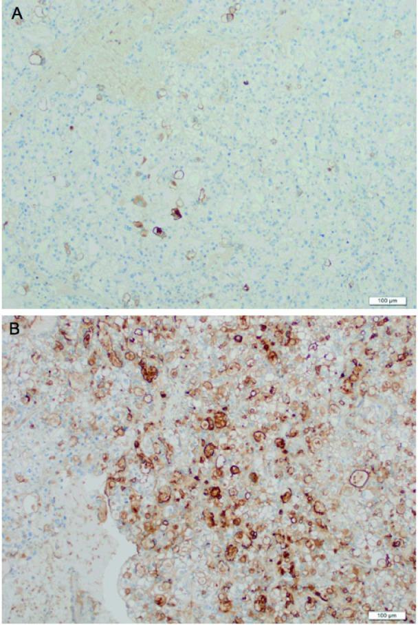
We describe the first report of an ovarian clear cell carcinoma simultaneously producing parathyroid hormone-related protein (PTHrP) and granulocyte colony-stimulating factor (G-CSF). A 64-year-old woman complained of general fatigue, loss of appetite, nausea, vomiting and constipation. The results of blood and biochemistry tests were white blood cell count of 21,060 /ml and calcium of 18.0 mg/dl, indicating an increase in the number of leukocytes and hypercalcemia. A computerized tomography scan showed a tumor in the lower abdomen with a maximum diameter of 16 cm and containing both cystic and solid parts. There was a remarkable elevation of the tumor marker CA 19-9, to 1611 IU/ml, and serum level of PTHrP was elevated to 25.9 pmol/ml. The PTH-intact level was 14 pg/ml, which was at the lower limit of the normal range. In addition, the G-CSF level was also elevated to 73 pg/ml (normal range: <38 pg/ml). Since hypercalcemia caused by tumor PTHrP production was suspected, and as this required elimination of the primary disease, extirpation of the tumor was carried out. Serum calcium levels promptly returned to 11.1 mg/ml on the first day following surgery, and PTHrP also dropped to its normal level on the same day. Histological and immunohistochemical examinations revealed that the tumor was clear cell adenocarcinoma which was partially positive for PTHrP and positive for G-CSF, indicating the tumor simultaneously producing PTHrP and G-CSF.

摘要

我们报告首例同时产生甲状旁腺激素相关蛋白(PTHrP)和粒细胞集落刺激因子(G-CSF)的卵巢透明细胞癌。一名64岁女性主诉全身乏力、食欲不振、恶心、呕吐及便秘。血液和生化检查结果显示白细胞计数为21,060 /ml,血钙为18.0 mg/dl,提示白细胞增多和高钙血症。计算机断层扫描显示下腹部有一肿瘤,最大直径为16 cm,包含囊性和实性部分。肿瘤标志物CA 19-9显著升高至1611 IU/ml,血清PTHrP水平升高至25.9 pmol/ml。完整PTH水平为14 pg/ml,处于正常范围下限。此外,G-CSF水平也升高至73 pg/ml(正常范围:<38 pg/ml)。由于怀疑肿瘤产生PTHrP导致高钙血症,且这需要消除原发疾病,遂进行了肿瘤切除。术后第一天血清钙水平迅速恢复至11.1 mg/ml,PTHrP在同一天也降至正常水平。组织学和免疫组化检查显示该肿瘤为透明细胞腺癌,PTHrP部分阳性,G-CSF阳性,表明肿瘤同时产生PTHrP和G-CSF。

https://cdn.ncbi.nlm.nih.gov/pmc/blobs/1648/5649938/ef7cacd5eecd/wjon-01-138-g002.jpg
https://cdn.ncbi.nlm.nih.gov/pmc/blobs/1648/5649938/40142ff11e9b/wjon-01-138-g001.jpg
https://cdn.ncbi.nlm.nih.gov/pmc/blobs/1648/5649938/ef7cacd5eecd/wjon-01-138-g002.jpg
https://cdn.ncbi.nlm.nih.gov/pmc/blobs/1648/5649938/40142ff11e9b/wjon-01-138-g001.jpg
https://cdn.ncbi.nlm.nih.gov/pmc/blobs/1648/5649938/ef7cacd5eecd/wjon-01-138-g002.jpg

相似文献

1
A Case of Ovarian Clear Cell Carcinoma Simultaneously Producing Parathyroid Hormone-related Protein and Granulocyte Colony-Stimulating Factor.一例同时产生甲状旁腺激素相关蛋白和粒细胞集落刺激因子的卵巢透明细胞癌病例
World J Oncol. 2010 Jun;1(3):138-141. doi: 10.4021/wjon2010.06.214w. Epub 2010 May 19.
2
Adenosquamous carcinoma of the gallbladder simultaneously producing granulocyte-colony-stimulating factor and parathyroid hormone-related protein.胆囊腺鳞癌同时产生粒细胞集落刺激因子和甲状旁腺激素相关蛋白。
Clin J Gastroenterol. 2023 Dec;16(6):901-907. doi: 10.1007/s12328-023-01841-7. Epub 2023 Aug 19.
3
Granulocyte-colony stimulating factor producing cervical cancer with elevated levels of parathyroid hormone-related protein: a case report and literature review.粒细胞集落刺激因子产生的宫颈癌伴甲状旁腺激素相关蛋白水平升高:病例报告及文献复习。
CEN Case Rep. 2024 Feb;13(1):45-52. doi: 10.1007/s13730-023-00788-5. Epub 2023 May 25.
4
[Simultaneous production of parathyroid hormone-related protein (PTHrP) and granulocyte colony-stimulating factor (G-CSF) in lung cancer patients with hypercalcemia and leukocytosis].[肺癌伴高钙血症和白细胞增多症患者甲状旁腺激素相关蛋白(PTHrP)和粒细胞集落刺激因子(G-CSF)的同时产生]
Nihon Kyobu Shikkan Gakkai Zasshi. 1995 Jan;33(1):34-8.
5
Establishment of a clonal cell line producing granulocyte colony-stimulating factor and parathyroid hormone-related protein from a lung cancer patient with leukocytosis and hypercalcemia.从一名患有白细胞增多症和高钙血症的肺癌患者中建立产生粒细胞集落刺激因子和甲状旁腺激素相关蛋白的克隆细胞系。
Jpn J Cancer Res. 1996 May;87(5):451-8. doi: 10.1111/j.1349-7006.1996.tb00245.x.
6
Laryngeal squamous cell carcinoma with ectopic production of granulocyte colony-stimulating factor and parathyroid hormone-related protein.伴有粒细胞集落刺激因子和甲状旁腺激素相关蛋白异位产生的喉鳞状细胞癌
Int J Clin Oncol. 2005 Jun;10(3):195-7. doi: 10.1007/s10147-004-0465-6.
7
Tongue squamous cell carcinoma producing both parathyroid hormone-related protein and granulocyte colony-stimulating factor: a case report and literature review.同时产生甲状旁腺激素相关蛋白和粒细胞集落刺激因子的舌鳞状细胞癌:一例报告及文献复习
World J Surg Oncol. 2016 Jun 17;14(1):161. doi: 10.1186/s12957-016-0918-1.
8
Regulation of granulocyte colony-stimulating factor and parathyroid hormone-related protein production in lung carcinoma cell line OKa-C-1.肺癌细胞系OKa-C-1中粒细胞集落刺激因子和甲状旁腺激素相关蛋白产生的调控
Jpn J Cancer Res. 2000 Sep;91(9):911-7. doi: 10.1111/j.1349-7006.2000.tb01034.x.
9
Simultaneous production of granulocyte colony-stimulating factor and parathyroid hormone-related protein in bladder cancer.膀胱癌中粒细胞集落刺激因子与甲状旁腺激素相关蛋白的同时产生。
Int J Urol. 2000 Feb;7(2):72-5. doi: 10.1046/j.1442-2042.2000.00141.x.
10
Primary adenosquamous carcinoma of the liver which produces granulocyte-colony-stimulating factor and parathyroid hormone related protein: association with leukocytosis and hypercalcemia.产生粒细胞集落刺激因子和甲状旁腺激素相关蛋白的肝脏原发性腺鳞癌:与白细胞增多和高钙血症的关联。
Intern Med. 2001 Jul;40(7):631-4. doi: 10.2169/internalmedicine.40.631.

引用本文的文献

1
Cutaneous Squamous Cell Carcinoma Producing Granulocyte Colony-stimulating Factor and Parathyroid Hormone-related Protein: A Case Report and Literature Review.产生粒细胞集落刺激因子和甲状旁腺激素相关蛋白的皮肤鳞状细胞癌:一例报告及文献复习
Intern Med. 2025 Jun 15;64(12):1933-1940. doi: 10.2169/internalmedicine.3992-24. Epub 2024 Dec 5.
2
A case of pure-type ovarian squamous cell carcinoma producing granulocyte-colony stimulating factor.一例产生粒细胞集落刺激因子的纯型卵巢鳞状细胞癌病例。
Gynecol Oncol Rep. 2017 Nov 4;22:89-91. doi: 10.1016/j.gore.2017.11.001. eCollection 2017 Nov.

本文引用的文献

1
Prognostic relevance of granulocyte colony-stimulating factor in ovarian carcinomas.粒细胞集落刺激因子在卵巢癌中的预后相关性。
Arch Gynecol Obstet. 2010 Sep;282(3):301-5. doi: 10.1007/s00404-009-1319-2. Epub 2009 Dec 12.
2
Paraneoplastic humorally mediated hypercalcemia induced by parathyroid hormone-related protein in gynecologic malignancies: a systematic review.妇科恶性肿瘤中甲状旁腺激素相关蛋白诱导的副肿瘤性体液介导的高钙血症:一项系统评价
Onkologie. 2009 Sep;32(8-9):517-23. doi: 10.1159/000226209. Epub 2009 Aug 12.
3
Granulocyte-colony stimulating factor-producing pancreatic adenosquamous carcinoma showing aggressive clinical course.
产生粒细胞集落刺激因子的胰腺腺鳞癌表现出侵袭性临床病程。
Intern Med. 2009;48(9):687-91. doi: 10.2169/internalmedicine.48.1900. Epub 2009 May 1.
4
Clinical management of ovarian small-cell carcinoma of the hypercalcemic type: a proposal for conservative surgery in an advanced stage of disease.高钙血症型卵巢小细胞癌的临床管理:疾病晚期保守手术的建议
Int J Gynecol Cancer. 2009 Apr;19(3):348-53. doi: 10.1111/IGC.0b013e3181a1a116.
5
Granulocyte-colony stimulating factor producing rectal cancer.产生粒细胞集落刺激因子的直肠癌
World J Surg Oncol. 2008 Jun 29;6:70. doi: 10.1186/1477-7819-6-70.
6
Granulocyte colony-stimulating factor production and rapid progression of gastric cancer after histological change in the tumor.粒细胞集落刺激因子的产生与肿瘤组织学改变后胃癌的快速进展
Jpn J Clin Oncol. 2007 Oct;37(10):793-6. doi: 10.1093/jjco/hym094. Epub 2007 Aug 24.
7
Clinical practice. Hypercalcemia associated with cancer.临床实践。癌症相关的高钙血症。
N Engl J Med. 2005 Jan 27;352(4):373-9. doi: 10.1056/NEJMcp042806.
8
Cooperative autocrine and paracrine functions of granulocyte colony-stimulating factor and granulocyte-macrophage colony-stimulating factor in the progression of skin carcinoma cells.粒细胞集落刺激因子和粒细胞-巨噬细胞集落刺激因子在皮肤癌细胞进展中的协同自分泌和旁分泌功能。
Cancer Res. 2004 Nov 1;64(21):7801-12. doi: 10.1158/0008-5472.CAN-03-3301.
9
Parathyroid hormone-related peptide and survival of patients with cancer and hypercalcemia.甲状旁腺激素相关肽与癌症合并高钙血症患者的生存情况
Am J Med. 2003 Aug 1;115(2):115-21. doi: 10.1016/s0002-9343(03)00310-3.
10
Granulocyte colony-stimulating factor on the growth of human ovarian carcinoma cells in vitro.
Gynecol Obstet Invest. 1999;48(4):280-4. doi: 10.1159/000010200.