Suppr超能文献

一例罕见的迟发性隐静脉移植血管痉挛病例。

A rare case of late onset saphenous vein graft spasm.

作者信息

Guragai Nirmal, Rampal Upamanyu, Vasudev Rahul, Patel Hiten, Joshi Meherwan B, Shamoon Fayez

机构信息

Department of Internal Medicine, Trinitas Regional Medical Center, Seton Hall University, Elizabeth, NJ, USA.

Department of Cardiology, New York Medical College at St Joseph's Regional Medical Center, Paterson, NJ, USA.

出版信息

J Community Hosp Intern Med Perspect. 2017 Oct 13;7(5):332-335. doi: 10.1080/20009666.2017.1379851. eCollection 2017.

Abstract

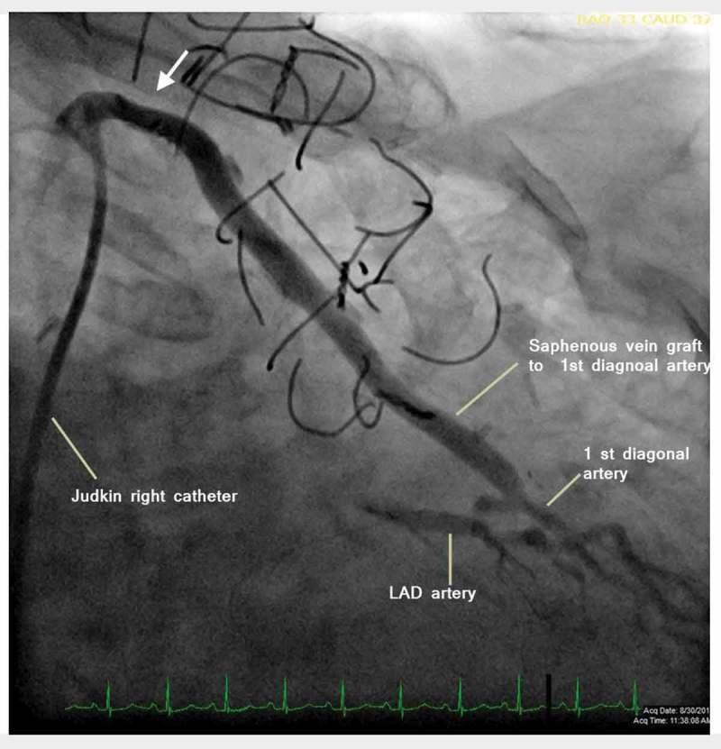
Spasm following coronary artery bypass graft surgery has been well established in arterial grafts, especially in grafts utilizing the internal mammary. Venous graft spasms are uncommon and are only observed in vein grafts during or soon after the coronary artery bypass surgery. It is exceedingly rare to see spasm of venous graft beyond one year of surgery. We report a 72-year-old female who had coronary artery bypass graft three years ago and presented with new onset chest pain for one month. The coronary angiogram revealed severe spasm of the proximal aspect of a patent saphenous venous graft which was relieved by intracoronary nitroglycerine. Patient was successfully managed using combination of anti-spasmodic medications (nitrates and calcium channel blockers) leading to long-term resolution of her anginal symptoms.

摘要

冠状动脉搭桥手术后的痉挛在动脉移植物中已得到充分证实,尤其是在使用乳内动脉的移植物中。静脉移植物痉挛并不常见,仅在冠状动脉搭桥手术期间或术后不久在静脉移植物中观察到。术后一年以上出现静脉移植物痉挛极为罕见。我们报告一名72岁女性,她三年前接受了冠状动脉搭桥手术,一个月前出现新发胸痛。冠状动脉造影显示一支通畅的大隐静脉移植物近端严重痉挛,经冠状动脉内注射硝酸甘油后缓解。患者通过使用抗痉挛药物(硝酸盐和钙通道阻滞剂)联合治疗成功治愈,心绞痛症状得到长期缓解。

https://cdn.ncbi.nlm.nih.gov/pmc/blobs/c4d3/5676795/994a9668d4b6/ZJCH_A_1379851_F0001_OC.jpg

文献AI研究员

20分钟写一篇综述,助力文献阅读效率提升50倍。

立即体验

用中文搜PubMed

大模型驱动的PubMed中文搜索引擎

马上搜索

文档翻译

学术文献翻译模型,支持多种主流文档格式。

立即体验