Suppr超能文献

急性暴发性嗜酸性粒细胞性心肌炎:早期诊断和治疗。

Acute fulminant necrotizing eosinophilic myocarditis: early diagnosis and treatment.

机构信息

Harefield Hospital, Hill End Road, Harefield, UB9 6JH, UK.

出版信息

ESC Heart Fail. 2017 Nov;4(4):660-664. doi: 10.1002/ehf2.12146. Epub 2017 Jul 5.

Abstract

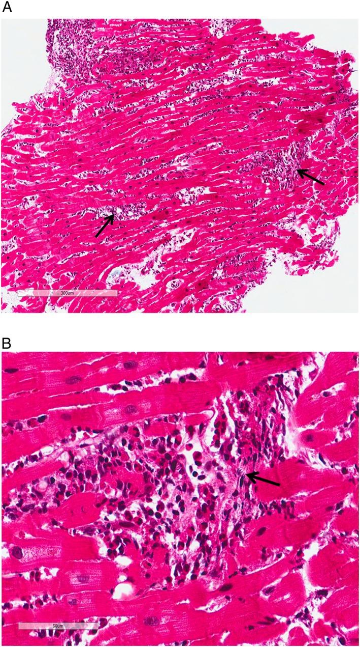
Necrotizing eosinophilic myocarditis is a rare but potentially fatal condition that requires prompt recognition and treatment. We describe a case of a young athlete presenting with chest pain and breathlessness, with evidence of rapidly deteriorating cardiac function. The condition was successfully treated with corticosteroids, with no evidence of residual myocardial damage. This is the first reported case to demonstrate the utility of cardiac magnetic resonance imaging for diagnosis and monitoring response to treatment. It also highlights the value of endomyocardial biopsy in establishing a tissue diagnosis in cases of fulminant myocarditis, in order to direct treatment appropriately.

摘要

嗜酸性粒细胞性心肌坏死是一种罕见但潜在致命的疾病,需要及时识别和治疗。我们描述了一例年轻运动员因胸痛和呼吸困难就诊的病例,其心脏功能迅速恶化。该患者经皮质激素治疗后病情得到成功控制,且无心肌损伤残留的证据。这是首例报道显示心脏磁共振成像在诊断和监测治疗反应方面具有应用价值的病例。该病例还强调了在暴发性心肌炎的情况下,通过心内膜心肌活检获得组织诊断,以进行适当治疗的重要性。

https://cdn.ncbi.nlm.nih.gov/pmc/blobs/a859/5695162/e91cebfcea21/EHF2-4-660-g001.jpg

文献AI研究员

20分钟写一篇综述,助力文献阅读效率提升50倍。

立即体验

用中文搜PubMed

大模型驱动的PubMed中文搜索引擎

马上搜索

文档翻译

学术文献翻译模型,支持多种主流文档格式。

立即体验