State Key Laboratory of Reproductive Medicine, Nanjing Medical University, Nanjing, 211166, China.
Department of Epidemiology and Biostatistics, School of Public Health, Nanjing Medical University, Nanjing, 211166, China.
Cancer Med. 2018 Jan;7(1):157-166. doi: 10.1002/cam4.1248. Epub 2017 Nov 23.
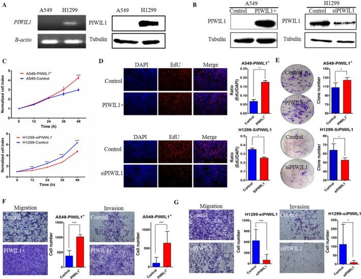
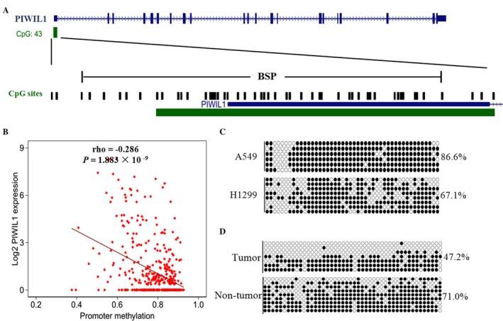
Piwi-like RNA-mediated gene silencing 1 (PIWIL1) has been identified as a novel extremely highly expressed cancer-testis (CT) gene in lung adenocarcinoma. However, the exact function and mechanism of PIWIL1 in lung adenocarcinoma remains unclear. Herein, we sought to investigate the role of PIWIL1 in the occurrence and development of lung adenocarcinoma. We examined the expression pattern of PIWIL1 in The Cancer Genome Atlas (TCGA) lung adenocarcinoma samples, and validated it by Real-Time PCR (RT-PCR) in additional 21 paired lung adenocarcinoma tissues and 16 normal tissues. Subsequently, we explored the biological function of PIWIL1 in A549 and H1299 cell lines by gain and loss-of-function analyses. Using TCGA lung adenocarcinoma data, we further performed coexpression and Gene Ontology (GO) analyses, and analyzed the association of DNA methylation levels in PIWIL1 promoter region with its expression. Finally, we evaluated its expression in different mutation status of significantly mutated genes (SMGs) in TCGA lung adenocarcinoma data. We observed that PIWIL1 was expressed in testis and lung adenocarcinoma but not in other normal tissues, and its high expression was associated with shortened survival of lung cancer patients. Overexpression of PIWIL1 could facilitate the proliferation, invasion and migration of lung adenocarcinoma cells and vice versa. GO analysis revealed that PIWIL1 upregulated genes were enriched in embryonic development, cell proliferation and regulation of transcription. Moreover, promoter DNA hypomethylation of PIWIL1 could contribute to its aberrant expression in tumors. Interestingly, PIWIL1 expression was significantly higher in patients without hepatocyte growth factor (HGF) or serine/threonine kinase 11 (STK11) mutation (P = 0.006 and 0.005, respectively). PIWIL1 is an epidriver gene in lung adenocarcinoma, indicating a potential target for further therapy.
Piwi 样 RNA 介导的基因沉默 1 (PIWIL1) 已被鉴定为肺腺癌中新型的高度表达的癌症睾丸 (CT) 基因。然而,PIWIL1 在肺腺癌中的确切功能和机制尚不清楚。在此,我们试图研究 PIWIL1 在肺腺癌发生和发展中的作用。我们检查了 TCGA 肺腺癌样本中 PIWIL1 的表达模式,并通过实时 PCR (RT-PCR) 在另外 21 对肺腺癌组织和 16 个正常组织中进行了验证。随后,我们通过获得和丧失功能分析探索了 PIWIL1 在 A549 和 H1299 细胞系中的生物学功能。利用 TCGA 肺腺癌数据,我们进一步进行了共表达和基因本体论 (GO) 分析,并分析了 PIWIL1 启动子区域的 DNA 甲基化水平与其表达的关联。最后,我们评估了其在 TCGA 肺腺癌数据中显著突变基因 (SMGs) 不同突变状态下的表达。我们观察到 PIWIL1 在睾丸和肺腺癌中表达,但在其他正常组织中不表达,其高表达与肺癌患者的生存时间缩短有关。PIWIL1 的过表达可促进肺腺癌细胞的增殖、侵袭和迁移,反之亦然。GO 分析表明,PIWIL1 上调的基因富集在胚胎发育、细胞增殖和转录调控中。此外,PIWIL1 启动子 DNA 低甲基化可能导致肿瘤中其异常表达。有趣的是,PIWIL1 的表达在没有肝细胞生长因子 (HGF) 或丝氨酸/苏氨酸激酶 11 (STK11) 突变的患者中显著更高 (P = 0.006 和 0.005,分别)。PIWIL1 是肺腺癌的一个表皮驱动基因,表明其可能是进一步治疗的潜在靶点。