• 文献检索
  • 文档翻译
  • 深度研究
  • 学术资讯
  • Suppr Zotero 插件Zotero 插件
  • 邀请有礼
  • 套餐&价格
  • 历史记录
应用&插件
Suppr Zotero 插件Zotero 插件浏览器插件Mac 客户端Windows 客户端微信小程序
定价
高级版会员购买积分包购买API积分包
服务
文献检索文档翻译深度研究API 文档MCP 服务
关于我们
关于 Suppr公司介绍联系我们用户协议隐私条款
关注我们

Suppr 超能文献

核心技术专利:CN118964589B侵权必究
粤ICP备2023148730 号-1Suppr @ 2026

文献检索

告别复杂PubMed语法,用中文像聊天一样搜索,搜遍4000万医学文献。AI智能推荐,让科研检索更轻松。

立即免费搜索

文件翻译

保留排版,准确专业,支持PDF/Word/PPT等文件格式,支持 12+语言互译。

免费翻译文档

深度研究

AI帮你快速写综述,25分钟生成高质量综述,智能提取关键信息,辅助科研写作。

立即免费体验

穿心莲内酯通过抑制丝裂原活化蛋白激酶信号通路保护主动脉缩窄诱导的实验性心肌肥大。

Andrographolide Protects against Aortic Banding-Induced Experimental Cardiac Hypertrophy by Inhibiting MAPKs Signaling.

作者信息

Wu Qing Q, Ni Jian, Zhang Ning, Liao Hai H, Tang Qi Z, Deng Wei

机构信息

Department of Cardiology, Renmin Hospital of Wuhan University, Wuhan, China.

Cardiovascular Research Institute, Wuhan University, Wuhan, China.

出版信息

Front Pharmacol. 2017 Nov 14;8:808. doi: 10.3389/fphar.2017.00808. eCollection 2017.

DOI:10.3389/fphar.2017.00808
PMID:29184496
原文链接:https://pmc.ncbi.nlm.nih.gov/articles/PMC5694538/
Abstract

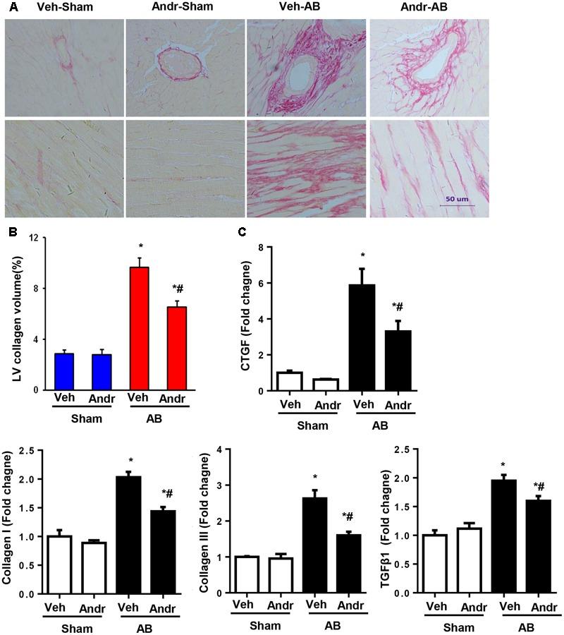
Despite therapeutic advances, heart failure-related mortality rates remain high. Therefore, understanding the pathophysiological mechanisms involved in the remodeling process is crucial for the development of new therapeutic strategies. Andrographolide (Andr), a botanical compound, has potent cardio-protective effects due to its ability to inhibit mitogen-activated protein kinases (MAPKs). Andr has also been shown to inhibit inflammation and apoptosis, which are factors related to cardiac hypertrophy. Our aim was to evaluate the effects of Andr on cardiac hypertrophy and MAPKs activation. Thus, mice were subjected to aortic banding (AB) with/without Andr administration (25 mg/kg/day, orally). Cardiac function was accessed by echocardiography and hemodynamic parameters. Our results showed that Andr administration for 7 weeks decreased cardiac dysfunction and attenuated cardiac hypertrophy and fibrosis in AB mice. Andr treatment induced a strong reduction in the transcription of both hypertrophy (ANP, BNP, and β-MHC) and fibrosis related genes (collagen I, collagen III, CTGF, and TGFβ). In addition, cardiomyocytes treated with Andr showed a reduced hypertrophic response to angiotensin II. Andr significantly inhibited MAPKs activation in both mouse hearts and cardiomyocytes. Treatment with a combination of MAPKs activators abolished the protective effects of Andr in cardiomyocytes. Furthermore, we found that Andr also inhibited the activation of cardiac fibroblasts via the MAPKs pathway, which was confirmed by the application of MAPKs inhibitors. In conclusion, Andr was found to confer a protective effect against experimental cardiac hypertrophy in mice, suggesting its potential as a novel therapeutic drug for pathological cardiac hypertrophy.

摘要

尽管治疗取得了进展,但心力衰竭相关的死亡率仍然很高。因此,了解重塑过程中涉及的病理生理机制对于开发新的治疗策略至关重要。穿心莲内酯(Andr)是一种植物化合物,因其能够抑制丝裂原活化蛋白激酶(MAPK)而具有强大的心脏保护作用。Andr还被证明可以抑制炎症和细胞凋亡,而炎症和细胞凋亡是与心肌肥大相关的因素。我们的目的是评估Andr对心肌肥大和MAPK激活的影响。因此,对小鼠进行主动脉缩窄(AB)手术,并给予/不给予Andr(25mg/kg/天,口服)。通过超声心动图和血流动力学参数评估心脏功能。我们的结果表明,给予Andr 7周可降低AB小鼠的心脏功能障碍,减轻心肌肥大和纤维化。Andr治疗导致肥大相关基因(心钠素、脑钠肽和β-肌球蛋白重链)和纤维化相关基因(I型胶原、III型胶原、结缔组织生长因子和转化生长因子β)的转录显著降低。此外,用Andr处理的心肌细胞对血管紧张素II的肥大反应降低。Andr显著抑制小鼠心脏和心肌细胞中MAPK的激活。用MAPK激活剂联合处理消除了Andr对心肌细胞的保护作用。此外,我们发现Andr还通过MAPK途径抑制心脏成纤维细胞的激活,这一点通过应用MAPK抑制剂得到了证实。总之,发现Andr对小鼠实验性心肌肥大具有保护作用,表明其作为病理性心肌肥大新型治疗药物的潜力。

https://cdn.ncbi.nlm.nih.gov/pmc/blobs/3f18/5694538/bf751cef1462/fphar-08-00808-g007.jpg
https://cdn.ncbi.nlm.nih.gov/pmc/blobs/3f18/5694538/bee2aed2b104/fphar-08-00808-g001.jpg
https://cdn.ncbi.nlm.nih.gov/pmc/blobs/3f18/5694538/3d24e0e5190f/fphar-08-00808-g002.jpg
https://cdn.ncbi.nlm.nih.gov/pmc/blobs/3f18/5694538/04f822939c54/fphar-08-00808-g003.jpg
https://cdn.ncbi.nlm.nih.gov/pmc/blobs/3f18/5694538/252e2f8aa523/fphar-08-00808-g004.jpg
https://cdn.ncbi.nlm.nih.gov/pmc/blobs/3f18/5694538/d0244d3b1bfd/fphar-08-00808-g005.jpg
https://cdn.ncbi.nlm.nih.gov/pmc/blobs/3f18/5694538/956c8771dac1/fphar-08-00808-g006.jpg
https://cdn.ncbi.nlm.nih.gov/pmc/blobs/3f18/5694538/bf751cef1462/fphar-08-00808-g007.jpg
https://cdn.ncbi.nlm.nih.gov/pmc/blobs/3f18/5694538/bee2aed2b104/fphar-08-00808-g001.jpg
https://cdn.ncbi.nlm.nih.gov/pmc/blobs/3f18/5694538/3d24e0e5190f/fphar-08-00808-g002.jpg
https://cdn.ncbi.nlm.nih.gov/pmc/blobs/3f18/5694538/04f822939c54/fphar-08-00808-g003.jpg
https://cdn.ncbi.nlm.nih.gov/pmc/blobs/3f18/5694538/252e2f8aa523/fphar-08-00808-g004.jpg
https://cdn.ncbi.nlm.nih.gov/pmc/blobs/3f18/5694538/d0244d3b1bfd/fphar-08-00808-g005.jpg
https://cdn.ncbi.nlm.nih.gov/pmc/blobs/3f18/5694538/956c8771dac1/fphar-08-00808-g006.jpg
https://cdn.ncbi.nlm.nih.gov/pmc/blobs/3f18/5694538/bf751cef1462/fphar-08-00808-g007.jpg

相似文献

1
Andrographolide Protects against Aortic Banding-Induced Experimental Cardiac Hypertrophy by Inhibiting MAPKs Signaling.穿心莲内酯通过抑制丝裂原活化蛋白激酶信号通路保护主动脉缩窄诱导的实验性心肌肥大。
Front Pharmacol. 2017 Nov 14;8:808. doi: 10.3389/fphar.2017.00808. eCollection 2017.
2
Andrographolide contributes to the attenuation of cardiac hypertrophy by suppressing endoplasmic reticulum stress.穿心莲内酯通过抑制内质网应激来减轻心肌肥厚。
Pharm Biol. 2023 Dec;61(1):61-68. doi: 10.1080/13880209.2022.2157021.
3
Loss of LRRC25 accelerates pathological cardiac hypertrophy through promoting fibrosis and inflammation regulated by TGF-β1.LRRC25 的缺失通过促进 TGF-β1 调控的纤维化和炎症加速病理性心肌肥厚。
Biochem Biophys Res Commun. 2018 Nov 17;506(1):137-144. doi: 10.1016/j.bbrc.2018.09.065. Epub 2018 Oct 16.
4
BRD4 blockage alleviates pathological cardiac hypertrophy through the suppression of fibrosis and inflammation via reducing ROS generation.BRD4 阻断通过减少 ROS 生成来抑制纤维化和炎症,从而减轻病理性心肌肥厚。
Biomed Pharmacother. 2020 Jan;121:109368. doi: 10.1016/j.biopha.2019.109368. Epub 2019 Nov 25.
5
RIP2 deficiency attenuates cardiac hypertrophy, inflammation and fibrosis in pressure overload induced mice.RIP2缺陷减轻压力超负荷诱导的小鼠的心脏肥大、炎症和纤维化。
Biochem Biophys Res Commun. 2017 Nov 18;493(2):1151-1158. doi: 10.1016/j.bbrc.2017.07.035. Epub 2017 Jul 8.
6
Arctiin protects against cardiac hypertrophy through inhibiting MAPKs and AKT signaling pathways.牛蒡苷通过抑制丝裂原活化蛋白激酶(MAPKs)和蛋白激酶B(AKT)信号通路来预防心肌肥大。
J Pharmacol Sci. 2017 Nov;135(3):97-104. doi: 10.1016/j.jphs.2017.05.012. Epub 2017 Aug 10.
7
Overexpression of miR-142-3p improves mitochondrial function in cardiac hypertrophy.miR-142-3p 的过表达改善心肌肥厚中的线粒体功能。
Biomed Pharmacother. 2018 Dec;108:1347-1356. doi: 10.1016/j.biopha.2018.09.146. Epub 2018 Oct 4.
8
Andrographolide Protects Against Adverse Cardiac Remodeling After Myocardial Infarction through Enhancing Nrf2 Signaling Pathway.穿心莲内酯通过增强 Nrf2 信号通路防止心肌梗死后的心脏不良重构。
Int J Biol Sci. 2020 Jan 1;16(1):12-26. doi: 10.7150/ijbs.37269. eCollection 2020.
9
Genistein attenuates pathological cardiac hypertrophy in vivo and in vitro.金雀异黄素在体内和体外均可减轻病理性心肌肥大。
Herz. 2019 May;44(3):247-256. doi: 10.1007/s00059-017-4635-5. Epub 2017 Nov 3.
10
Zinc-finger protein 418 overexpression protects against cardiac hypertrophy and fibrosis.锌指蛋白418过表达可预防心肌肥大和纤维化。
PLoS One. 2017 Oct 24;12(10):e0186635. doi: 10.1371/journal.pone.0186635. eCollection 2017.

引用本文的文献

1
Enhanced prevention on postoperative atrial fibrillation by using anti-inflammatory biodegradable drug patch.使用抗炎可生物降解药物贴片增强对术后房颤的预防
Regen Biomater. 2025 May 14;12:rbaf040. doi: 10.1093/rb/rbaf040. eCollection 2025.
2
Cardiac function of colorectal cancer mice is remotely controlled by gut microbiota: regulating serum metabolites and myocardial cytokines.结直肠癌小鼠的心脏功能受肠道微生物群远程控制:调节血清代谢物和心肌细胞因子。
Anim Microbiome. 2025 May 30;7(1):53. doi: 10.1186/s42523-025-00405-z.
3
Andrographolide protects against atrial fibrillation by alleviating oxidative stress injury and promoting impaired mitochondrial bioenergetics.

本文引用的文献

1
Andrographolide inhibits arrhythmias and is cardioprotective in rabbits.穿心莲内酯可抑制家兔心律失常并具有心脏保护作用。
Oncotarget. 2017 May 22;8(37):61226-61238. doi: 10.18632/oncotarget.18051. eCollection 2017 Sep 22.
2
Mechanisms contributing to cardiac remodelling.导致心脏重构的机制。
Clin Sci (Lond). 2017 Aug 24;131(18):2319-2345. doi: 10.1042/CS20171167. Print 2017 Sep 15.
3
Andrographolide attenuates microglia-mediated Aβ neurotoxicity partially through inhibiting NF-κB and JNK MAPK signaling pathway.
穿心莲内酯通过减轻氧化应激损伤和促进受损线粒体生物能学来保护对抗心房颤动。
J Zhejiang Univ Sci B. 2023 Jul 15;24(7):632-649. doi: 10.1631/jzus.B2300086.
4
Promising Therapeutic Treatments for Cardiac Fibrosis: Herbal Plants and Their Extracts.心脏纤维化的前景广阔的治疗方法:草药植物及其提取物。
Cardiol Ther. 2023 Sep;12(3):415-443. doi: 10.1007/s40119-023-00319-4. Epub 2023 May 29.
5
Andrographolide contributes to the attenuation of cardiac hypertrophy by suppressing endoplasmic reticulum stress.穿心莲内酯通过抑制内质网应激来减轻心肌肥厚。
Pharm Biol. 2023 Dec;61(1):61-68. doi: 10.1080/13880209.2022.2157021.
6
Metallothionein-2A Protects Cardiomyocytes from Hypoxia/reper-Fusion through Inhibiting p38.金属硫蛋白-2A通过抑制p38保护心肌细胞免受缺氧/复灌注损伤。
Cell Biochem Biophys. 2023 Mar;81(1):69-75. doi: 10.1007/s12013-022-01118-9. Epub 2022 Nov 29.
7
Andrographolide Protects Against Adverse Cardiac Remodeling After Myocardial Infarction through Enhancing Nrf2 Signaling Pathway.穿心莲内酯通过增强 Nrf2 信号通路防止心肌梗死后的心脏不良重构。
Int J Biol Sci. 2020 Jan 1;16(1):12-26. doi: 10.7150/ijbs.37269. eCollection 2020.
8
Pterostilbene Attenuates Fructose-Induced Myocardial Fibrosis by Inhibiting ROS-Driven Pitx2c/miR-15b Pathway.紫檀芪通过抑制 ROS 驱动的 Pitx2c/miR-15b 通路减轻果糖诱导的心肌纤维化。
Oxid Med Cell Longev. 2019 Dec 4;2019:1243215. doi: 10.1155/2019/1243215. eCollection 2019.
9
Andrographolide Protects against HG-Induced Inflammation, Apoptosis, Migration, and Impairment of Angiogenesis via PI3K/AKT-eNOS Signalling in HUVECs.穿心莲内酯通过 PI3K/AKT-eNOS 信号通路保护 HG 诱导的 HUVECs 中的炎症、细胞凋亡、迁移和血管生成损伤。
Mediators Inflamm. 2019 Oct 7;2019:6168340. doi: 10.1155/2019/6168340. eCollection 2019.
10
Regulatory Mechanisms of the NLRP3 Inflammasome, a Novel Immune-Inflammatory Marker in Cardiovascular Diseases.NLRP3 炎性小体的调控机制:心血管疾病中新型免疫炎症标志物。
Front Immunol. 2019 Jul 10;10:1592. doi: 10.3389/fimmu.2019.01592. eCollection 2019.
穿心莲内酯通过抑制NF-κB和JNK MAPK信号通路部分减轻小胶质细胞介导的Aβ神经毒性。
Immunopharmacol Immunotoxicol. 2017 Oct;39(5):276-284. doi: 10.1080/08923973.2017.1344989. Epub 2017 Jul 18.
4
Andrographolide Benefits Rheumatoid Arthritis via Inhibiting MAPK Pathways.穿心莲内酯通过抑制 MAPK 通路对类风湿关节炎有益。
Inflammation. 2017 Oct;40(5):1599-1605. doi: 10.1007/s10753-017-0600-y.
5
Andrographolide ameliorates d-galactosamine/lipopolysaccharide-induced acute liver injury by activating Nrf2 signaling pathway.穿心莲内酯通过激活Nrf2信号通路改善D-半乳糖胺/脂多糖诱导的急性肝损伤。
Oncotarget. 2017 Jun 20;8(25):41202-41210. doi: 10.18632/oncotarget.17149.
6
Increased reactive oxygen species levels cause ER stress and cytotoxicity in andrographolide treated colon cancer cells.穿心莲内酯处理的结肠癌细胞中活性氧水平升高会导致内质网应激和细胞毒性。
Oncotarget. 2017 Apr 18;8(16):26142-26153. doi: 10.18632/oncotarget.15393.
7
Evodiamine attenuates TGF-β1-induced fibroblast activation and endothelial to mesenchymal transition.吴茱萸碱减弱转化生长因子-β1诱导的成纤维细胞活化和内皮细胞向间充质细胞转化。
Mol Cell Biochem. 2017 Jun;430(1-2):81-90. doi: 10.1007/s11010-017-2956-6. Epub 2017 Mar 16.
8
How cardiomyocytes sense pathophysiological stresses for cardiac remodeling.心肌细胞如何感知导致心脏重塑的病理生理应激。
Cell Mol Life Sci. 2017 Mar;74(6):983-1000. doi: 10.1007/s00018-016-2373-0. Epub 2016 Oct 6.
9
Dual specific phosphatase 12 ameliorates cardiac hypertrophy in response to pressure overload.双重特异性磷酸酶 12 可改善压力超负荷引起的心肌肥厚。
Clin Sci (Lond). 2017 Jan 1;131(2):141-154. doi: 10.1042/CS20160664. Epub 2016 Oct 4.
10
Mnk1 (Mitogen-Activated Protein Kinase-Interacting Kinase 1) Deficiency Aggravates Cardiac Remodeling in Mice.Mnk1(丝裂原活化蛋白激酶相互作用激酶1)缺乏加重小鼠心脏重塑。
Hypertension. 2016 Dec;68(6):1393-1399. doi: 10.1161/HYPERTENSIONAHA.116.07906. Epub 2016 Oct 3.