• 文献检索
  • 文档翻译
  • 深度研究
  • 学术资讯
  • Suppr Zotero 插件Zotero 插件
  • 邀请有礼
  • 套餐&价格
  • 历史记录
应用&插件
Suppr Zotero 插件Zotero 插件浏览器插件Mac 客户端Windows 客户端微信小程序
定价
高级版会员购买积分包购买API积分包
服务
文献检索文档翻译深度研究API 文档MCP 服务
关于我们
关于 Suppr公司介绍联系我们用户协议隐私条款
关注我们

Suppr 超能文献

核心技术专利:CN118964589B侵权必究
粤ICP备2023148730 号-1Suppr @ 2026

文献检索

告别复杂PubMed语法,用中文像聊天一样搜索,搜遍4000万医学文献。AI智能推荐,让科研检索更轻松。

立即免费搜索

文件翻译

保留排版,准确专业,支持PDF/Word/PPT等文件格式,支持 12+语言互译。

免费翻译文档

深度研究

AI帮你快速写综述,25分钟生成高质量综述,智能提取关键信息,辅助科研写作。

立即免费体验

肾上腺肿块:不寻常的表现及结果

Adrenal Mass: Unusual Presentation and Outcome.

作者信息

Ramareddy Raghu Sampally, Alladi Anand

机构信息

Department of Pediatric Surgery, Bangalore Medical College and Research Institute, Bengaluru, Karnataka, India.

出版信息

Indian J Med Paediatr Oncol. 2017 Jul-Sep;38(3):256-260. doi: 10.4103/ijmpo.ijmpo_33_16.

DOI:10.4103/ijmpo.ijmpo_33_16
PMID:29200669
原文链接:https://pmc.ncbi.nlm.nih.gov/articles/PMC5686962/
Abstract

AIM

Adrenal mass may be functioning or nonfunctioning with varied clinical presentations. This study aimed to report the nature and management of uncommon adrenal mass and to review literature.

MATERIALS AND METHODS

This was an retrospective observational analysis of children with uncommon adrenal mass admitted during 2009-2015. Clinical features, investigations, and management of patients were analyzed.

RESULTS

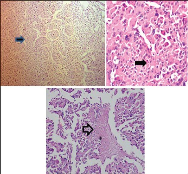
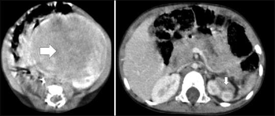
Among six, two each were adolescent and neonate, and one each was young infant and prenatal. Clinical presentation was variable; hypertensive retinopathy,[1] virilization[1] and bleeding diathesis,[1] antenatal suprarenal mass,[1] prenatal adrenal angiolipoma,[1] and spontaneous resolution of Stage III suprarenal mass.[1] Ultrasound and contrast-enhanced computed tomography revealed well-defined, heterogeneous adrenal mass. Size varied from 2 to 15 cm. Urinary metanephrine and serum testosterone were raised in adolescent hypertensive boys and virilized girls, respectively. Laparoscopy-assisted adrenalectomy was done in two and other four were managed conservatively. Histopathology of tumor revealed pheochromocytoma and borderline oncocytoma. Spontaneous resolution of adrenal mass had varied etiology; adrenal hemorrhagic lesion,[1] simple cyst,[1] neuroblastoma.[1] Follow-up varied from 3 months to 2 years. All patients were asymptomatic on last follow-up.

CONCLUSION

Close clinical follow-up, contrast-enhanced tomography, and limited/specific endocrine work-up have definite role in the management of uncommon adrenal mass.

摘要

目的

肾上腺肿物可能有功能或无功能,临床表现各异。本研究旨在报告罕见肾上腺肿物的性质及处理方法,并复习相关文献。

材料与方法

这是一项对2009年至2015年期间收治的患有罕见肾上腺肿物儿童的回顾性观察分析。对患者的临床特征、检查及处理方法进行了分析。

结果

6例患者中,青少年和新生儿各2例,幼儿和产前诊断各1例。临床表现多样,包括高血压性视网膜病变[1]、男性化[1]和出血倾向[1]、产前肾上腺肿物[1]、产前肾上腺血管脂肪瘤[1]以及Ⅲ期肾上腺肿物自发消退[1]。超声和增强CT显示肾上腺肿物边界清晰、密度不均。大小从2厘米至15厘米不等。青少年高血压男孩和男性化女孩的尿间甲肾上腺素和血清睾酮分别升高。2例行腹腔镜辅助肾上腺切除术,另外4例采取保守治疗。肿瘤组织病理学检查显示为嗜铬细胞瘤和临界性嗜酸性细胞瘤。肾上腺肿物自发消退病因各异,包括肾上腺出血性病变[1]、单纯囊肿[1]、神经母细胞瘤[1]。随访时间从3个月至2年不等。末次随访时所有患者均无症状。

结论

密切的临床随访、增强CT检查以及有限的/特定的内分泌检查在罕见肾上腺肿物的处理中具有明确作用。

https://cdn.ncbi.nlm.nih.gov/pmc/blobs/415b/5686962/37122e10a4b8/IJMPO-38-256-g004.jpg
https://cdn.ncbi.nlm.nih.gov/pmc/blobs/415b/5686962/f1046c2195c3/IJMPO-38-256-g002.jpg
https://cdn.ncbi.nlm.nih.gov/pmc/blobs/415b/5686962/bc362624d3c3/IJMPO-38-256-g003.jpg
https://cdn.ncbi.nlm.nih.gov/pmc/blobs/415b/5686962/37122e10a4b8/IJMPO-38-256-g004.jpg
https://cdn.ncbi.nlm.nih.gov/pmc/blobs/415b/5686962/f1046c2195c3/IJMPO-38-256-g002.jpg
https://cdn.ncbi.nlm.nih.gov/pmc/blobs/415b/5686962/bc362624d3c3/IJMPO-38-256-g003.jpg
https://cdn.ncbi.nlm.nih.gov/pmc/blobs/415b/5686962/37122e10a4b8/IJMPO-38-256-g004.jpg

相似文献

1
Adrenal Mass: Unusual Presentation and Outcome.肾上腺肿块:不寻常的表现及结果
Indian J Med Paediatr Oncol. 2017 Jul-Sep;38(3):256-260. doi: 10.4103/ijmpo.ijmpo_33_16.
2
[Adrenal incidentaloma: a dopamine-secreting pheochromocytoma with an atypical clinical picture. A case report and review of the literature].[肾上腺偶发瘤:一例具有非典型临床表现的分泌多巴胺的嗜铬细胞瘤。病例报告及文献复习]
Ann Ital Chir. 1998 Nov-Dec;69(6):805-14.
3
Adrenal cortical oncocytoma mimicking pheochromocytoma.肾上腺皮质嗜酸细胞瘤酷似嗜铬细胞瘤。
Hormones (Athens). 2011 Jan-Mar;10(1):76-9. doi: 10.14310/horm.2002.1296.
4
An Interesting Case of Hepatic Adrenocortical Carcinoma.肝肾上腺皮质癌的一个有趣病例
Acta Med Indones. 2018 Jul;50(3):257-259.
5
Experience with laparoscopic adrenalectomy in children.儿童腹腔镜肾上腺切除术的经验
J Pediatr Surg. 2004 May;39(5):764-7. doi: 10.1016/j.jpedsurg.2004.01.043.
6
Clinical and perinatal sonographic features of congenital adrenal cystic neuroblastoma: a case report with review of the literature.先天性肾上腺囊性神经母细胞瘤的临床及围产期超声特征:一例病例报告并文献复习
Ultrasound Obstet Gynecol. 1997 Jul;10(1):68-73. doi: 10.1046/j.1469-0705.1997.10010068.x.
7
Adrenal incidentaloma, borderline elevations of urine or plasma metanephrine levels, and the "subclinical" pheochromocytoma.肾上腺偶发瘤、尿或血浆间甲肾上腺素水平临界升高以及“亚临床”嗜铬细胞瘤。
Arch Surg. 2007 Sep;142(9):870-3; discussion 73-4. doi: 10.1001/archsurg.142.9.870.
8
Spontaneous adrenal hemorrhage with associated masses: etiology and management in 6 cases and a review of 133 reported cases.伴有肿块的自发性肾上腺出血:6 例病例的病因和治疗及对 133 例报道病例的回顾。
World J Surg. 2012 Jan;36(1):75-82. doi: 10.1007/s00268-011-1338-6.
9
NIH state-of-the-science statement on management of the clinically inapparent adrenal mass ("incidentaloma").美国国立卫生研究院关于临床无症状肾上腺肿块(“偶发瘤”)管理的科学现状声明。
NIH Consens State Sci Statements. 2002;19(2):1-25.
10
Surgical management of adrenal cysts: single-institution experience.肾上腺囊肿的外科治疗:单机构经验
BJU Int. 2009 Sep;104(6):847-50. doi: 10.1111/j.1464-410X.2009.08537.x. Epub 2009 Apr 15.

引用本文的文献

1
A 14-year-old girl with intermittent headache, palpitations, tachycardia, and diaphoresis.一名14岁女孩,有间歇性头痛、心悸、心动过速和多汗症状。
Digit J Ophthalmol. 2023 May 22;29(2):61-65. doi: 10.5693/djo.03.2023.04.003. eCollection 2023.
2
The Clinical Value of Prenatal Ultrasonography in the Differential Diagnosis of Fetal Suprarenal Space-Occupying Lesions.产前超声检查在胎儿肾上腺占位性病变鉴别诊断中的临床价值
Int J Womens Health. 2022 Jun 30;14:837-843. doi: 10.2147/IJWH.S357938. eCollection 2022.
3
Case Report: A Virilizing Adrenal Oncocytoma.

本文引用的文献

1
Single center outcomes of laparoscopic transperitoneal lateral adrenalectomy--Lessons learned after 500 cases: A retrospective cohort study.腹腔镜经腹腔外侧肾上腺切除术的单中心结果-500 例后的经验教训:回顾性队列研究。
Int J Surg. 2015 Aug;20:88-94. doi: 10.1016/j.ijsu.2015.06.020. Epub 2015 Jun 12.
2
Mechanisms of neuroblastoma regression.神经母细胞瘤消退的机制。
Nat Rev Clin Oncol. 2014 Dec;11(12):704-13. doi: 10.1038/nrclinonc.2014.168. Epub 2014 Oct 21.
3
Testosterone- and cortisol-secreting adrenocortical oncocytoma: an unusual cause of hirsutism.
病例报告:一例具有男性化表现的肾上腺嗜酸性细胞瘤。
Front Surg. 2021 Mar 22;8:646459. doi: 10.3389/fsurg.2021.646459. eCollection 2021.
分泌睾酮和皮质醇的肾上腺皮质嗜酸性细胞瘤:多毛症的罕见病因。
Case Rep Endocrinol. 2014;2014:206890. doi: 10.1155/2014/206890. Epub 2014 Mar 11.
4
Computed tomography and magnetic resonance images of adrenocortical oncocytoma cases.肾上腺皮质嗜酸性细胞瘤病例的计算机断层扫描和磁共振成像
J Korean Med Sci. 2014 Mar;29(3):445-51. doi: 10.3346/jkms.2014.29.3.445. Epub 2014 Feb 27.
5
Virilizing adrenal oncocytoma.男性化肾上腺嗜酸性细胞瘤
J Clin Imaging Sci. 2012;2:76. doi: 10.4103/2156-7514.104309. Epub 2012 Dec 4.
6
Adrenal oncocytic neoplasm: a systematic review.肾上腺嗜酸性细胞瘤:一项系统综述
Urol Int. 2013;91(2):125-33. doi: 10.1159/000345141. Epub 2012 Nov 8.
7
Neonatal adrenal hemorrhage associated with scrotal hematoma: an unusual case report and literature review.新生儿肾上腺出血合并阴囊血肿:一例不寻常病例报告及文献复习。
Pediatr Neonatol. 2012 Jun;53(3):210-2. doi: 10.1016/j.pedneo.2012.04.010. Epub 2012 Jun 12.
8
Hypertension in pheochromocytoma: characteristics and treatment.嗜铬细胞瘤中的高血压:特征和治疗。
Endocrinol Metab Clin North Am. 2011 Jun;40(2):295-311, vii. doi: 10.1016/j.ecl.2011.02.002.
9
Screening for adrenal-endocrine hypertension: overview of accuracy and cost-effectiveness.肾上腺内分泌性高血压的筛查:准确性和成本效益概述。
Endocrinol Metab Clin North Am. 2011 Jun;40(2):279-94, vii. doi: 10.1016/j.ecl.2011.02.001.
10
Comparison of clinico-radiological features between congenital cystic neuroblastoma and neonatal adrenal hemorrhagic pseudocyst.先天性囊状神经母细胞瘤与新生儿肾上腺出血性假囊肿的临床影像学特征比较。
Korean J Radiol. 2011 Jan-Feb;12(1):52-8. doi: 10.3348/kjr.2011.12.1.52. Epub 2011 Jan 3.