Suppr超能文献

使用Pipeline Flex栓塞装置对破裂的颈内动脉泡状动脉瘤进行血流导向支架辅助弹簧圈栓塞术。

Flow-diverting Stent-assisted Coil Embolization of a Ruptured Internal Carotid Artery Blister Aneurysm with the Pipeline Flex Embolization Device.

作者信息

Ding Dale, Starke Robert M, Hope Ayton, Brew Stefan

机构信息

Department of Neurosurgery, Barrow Neurological Institute, Phoenix, AZ, USA.

Department of Neurological Surgery, University of Miami, Miami, FL, USA.

出版信息

J Neurosci Rural Pract. 2017 Oct-Dec;8(4):664-667. doi: 10.4103/jnrp.jnrp_336_17.

Abstract

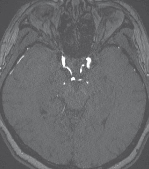
Internal carotid artery (ICA) blister aneurysms are rare and challenging to successfully treat, using contemporary surgical or endovascular approaches, without partial or complete compromise of the parent vessel. We describe the use of a resheathable flow diverter, the Pipeline Flex Embolization Device (PFED) to perform stent-assisted coiling of a ruptured supraclinoid ICA blister aneurysm in a 56-year-old female who presented with a high-grade subarachnoid hemorrhage (SAH). The first PFED was deployed across the aneurysm neck to jail a microcatheter within the aneurysm dome, and then, two small coils were delivered into the aneurysm. After removing the coiling microcatheter, the second PFED was telescoped into the first PFED. There were no postprocedural complications, and follow-up magnetic resonance angiography 15 months after embolization showed complete aneurysm obliteration. Flow-diverting stent-assisted coiling should be considered as a reconstructive, vessel-preserving, endovascular treatment option for appropriately selected patients with ruptured ICA blister aneurysms. However, future studies are necessary to assess the periprocedural safety in the setting of acute SAH.

摘要

颈内动脉(ICA)泡状动脉瘤较为罕见,采用当代手术或血管内治疗方法成功治疗且不部分或完全损伤载瘤血管具有挑战性。我们描述了使用一种可重新鞘内放置的血流导向装置——Pipeline Flex栓塞装置(PFED),对一名56岁出现高级别蛛网膜下腔出血(SAH)的女性患者的破裂鞍上ICA泡状动脉瘤进行支架辅助弹簧圈栓塞治疗。首先将第一个PFED部署在动脉瘤颈部,将微导管置于动脉瘤腔内,然后将两个小弹簧圈送入动脉瘤。取出弹簧圈栓塞微导管后,将第二个PFED套入第一个PFED。术后无并发症,栓塞后15个月的随访磁共振血管造影显示动脉瘤完全闭塞。对于适当选择的破裂ICA泡状动脉瘤患者,血流导向支架辅助弹簧圈栓塞应被视为一种重建性、保留血管的血管内治疗选择。然而,未来有必要开展研究以评估急性SAH情况下围手术期的安全性。

https://cdn.ncbi.nlm.nih.gov/pmc/blobs/67d3/5709899/4d6d484a3f49/JNRP-8-664-g001.jpg

文献检索

告别复杂PubMed语法,用中文像聊天一样搜索,搜遍4000万医学文献。AI智能推荐,让科研检索更轻松。

立即免费搜索

文件翻译

保留排版,准确专业,支持PDF/Word/PPT等文件格式,支持 12+语言互译。

免费翻译文档

深度研究

AI帮你快速写综述,25分钟生成高质量综述,智能提取关键信息,辅助科研写作。

立即免费体验