Suppr超能文献

经颅手术治疗鞍结节脑膜瘤后出现的迟发性视力丧失。

Delayed Visual Loss Following Transcranial Surgery for Tuberculum Sella Meningioma.

作者信息

Menon Sudha, Menon Girish

机构信息

Department of Ophthalmology, Kasturba Medical College, Manipal, Karnataka, India.

Department of Neurosurgery, Kasturba Medical College, Manipal, Karnataka, India.

出版信息

J Neurosci Rural Pract. 2017 Oct-Dec;8(4):680-682. doi: 10.4103/jnrp.jnrp_258_17.

Abstract

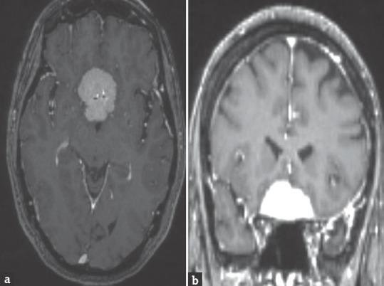
Postoperative visual loss is a dreaded complication following transcranial excision of tuberculum sella meningioma. Visual deterioration is commonly noticed immediately after surgery, and delayed deterioration after 72 h is uncommon. We report a case of delayed postoperative deterioration in a 48-year-old female and discuss the possible mechanisms.

摘要

术后视力丧失是经颅切除鞍结节脑膜瘤后一种可怕的并发症。视力恶化通常在手术后立即被注意到,72小时后出现延迟恶化的情况并不常见。我们报告一例48岁女性术后延迟恶化的病例,并讨论其可能的机制。

https://cdn.ncbi.nlm.nih.gov/pmc/blobs/c72d/5709904/83e9537e4d91/JNRP-8-680-g001.jpg

文献检索

告别复杂PubMed语法,用中文像聊天一样搜索,搜遍4000万医学文献。AI智能推荐,让科研检索更轻松。

立即免费搜索

文件翻译

保留排版,准确专业,支持PDF/Word/PPT等文件格式,支持 12+语言互译。

免费翻译文档

深度研究

AI帮你快速写综述,25分钟生成高质量综述,智能提取关键信息,辅助科研写作。

立即免费体验