Suppr超能文献

人类结直肠癌的进展与 LOX 诱导的细胞外基质变硬相关。

Human colorectal cancer progression correlates with LOX-induced ECM stiffening.

机构信息

Department of Gastrointestinal Surgery, the Third Affiliated Hospital, Sun Yat-sen University, Guangzhou, Guangdong 510630, China.

Central Laboratory, the Third Affiliated Hospital, Sun Yat-sen University, Guangzhou, Guangdong 510630, China.

出版信息

Int J Biol Sci. 2017 Nov 1;13(11):1450-1457. doi: 10.7150/ijbs.21230. eCollection 2017.

Abstract

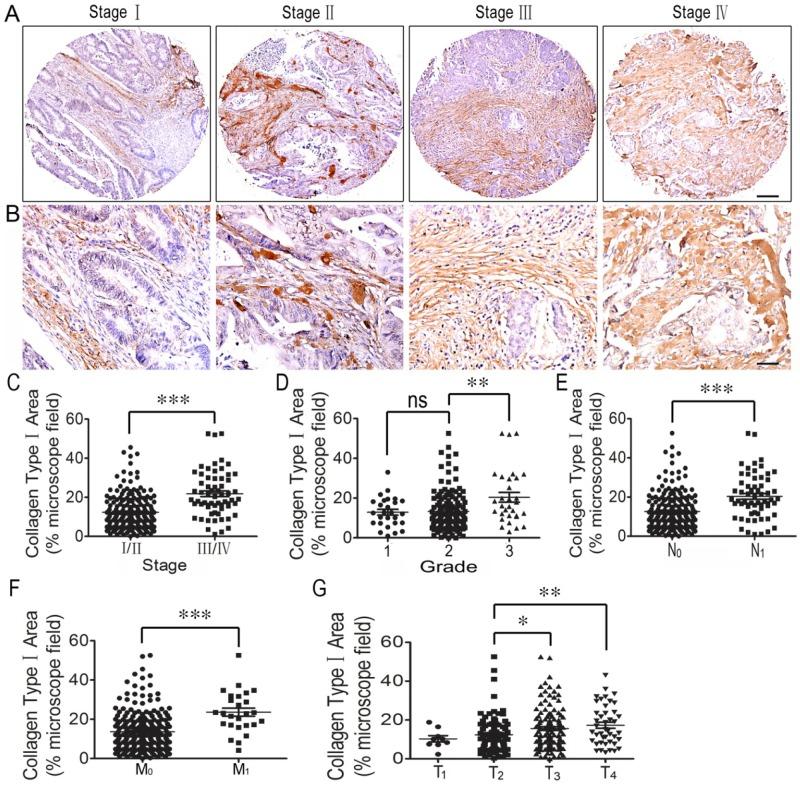
Some solid tumors are characterized by extracellular matrix (ECM) remodeling and stiffening, which is related to solid tumor progression and aggression. However, the relationship between ECM stiffness and colorectal cancer (CRC) remains unclear. In this study, we investigated the relevance of ECM stiffness to clinicopathologic features using human CRC tissue microarrays. The results demonstrate that the expression of ECM components in CRC tissues is closely correlated with CRC progression and poor prognosis, which indicates that ECM stiffness may be associated with CRC development. We further studied lysyl oxidase (LOX) expression in CRC tissue and demonstrated that LOX expression is closely correlated with CRC progression. Previous studies showed that P-selectin-mediated platelet accumulation in CRC tissue may up-regulate LOX expression. Our findings indicate that P-selectin-mediated platelet aggregation may up-regulate LOX expression and enhance the remodeling and stiffening of the tumor ECM, which may promote the progression of colorectal cancer. Therefore, LOX may be a potential effective therapeutic target to treat colorectal cancer.

摘要

一些实体瘤的特征是细胞外基质(ECM)重塑和变硬,这与实体瘤的进展和侵袭有关。然而,ECM 硬度与结直肠癌(CRC)之间的关系尚不清楚。在这项研究中,我们使用人类 CRC 组织微阵列研究了 ECM 硬度与临床病理特征的相关性。结果表明,CRC 组织中 ECM 成分的表达与 CRC 的进展和预后不良密切相关,这表明 ECM 硬度可能与 CRC 的发生有关。我们进一步研究了 CRC 组织中赖氨酰氧化酶(LOX)的表达情况,并证实 LOX 的表达与 CRC 的进展密切相关。先前的研究表明,CRC 组织中 P-选择素介导的血小板聚集可能上调 LOX 的表达。我们的研究结果表明,P-选择素介导的血小板聚集可能上调 LOX 的表达,增强肿瘤 ECM 的重塑和变硬,从而促进结直肠癌的进展。因此,LOX 可能是治疗结直肠癌的一个有潜力的有效治疗靶点。

https://cdn.ncbi.nlm.nih.gov/pmc/blobs/caaa/5715527/4ae3cc9d0d99/ijbsv13p1450g001.jpg

文献检索

告别复杂PubMed语法,用中文像聊天一样搜索,搜遍4000万医学文献。AI智能推荐,让科研检索更轻松。

立即免费搜索

文件翻译

保留排版,准确专业,支持PDF/Word/PPT等文件格式,支持 12+语言互译。

免费翻译文档

深度研究

AI帮你快速写综述,25分钟生成高质量综述,智能提取关键信息,辅助科研写作。

立即免费体验