Suppr超能文献

GDF15 缺乏加剧慢性酒精和四氯化碳诱导的肝损伤。

GDF15 deficiency exacerbates chronic alcohol- and carbon tetrachloride-induced liver injury.

机构信息

Research Center for Endocrine and Metabolic Diseases, Chungnam National University School of Medicine, 282 Munhwaro, Daejeon, 35015, Republic of Korea.

Research Institute for Medical Sciences, Chungnam National University School of Medicine, 266 Munhwaro, Daejeon, 35015, Republic of Korea.

出版信息

Sci Rep. 2017 Dec 8;7(1):17238. doi: 10.1038/s41598-017-17574-w.

Abstract

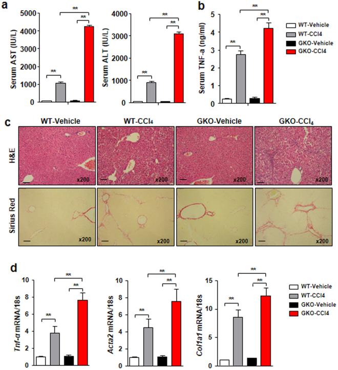
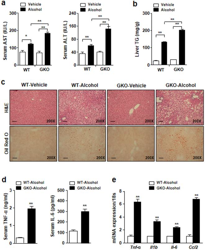
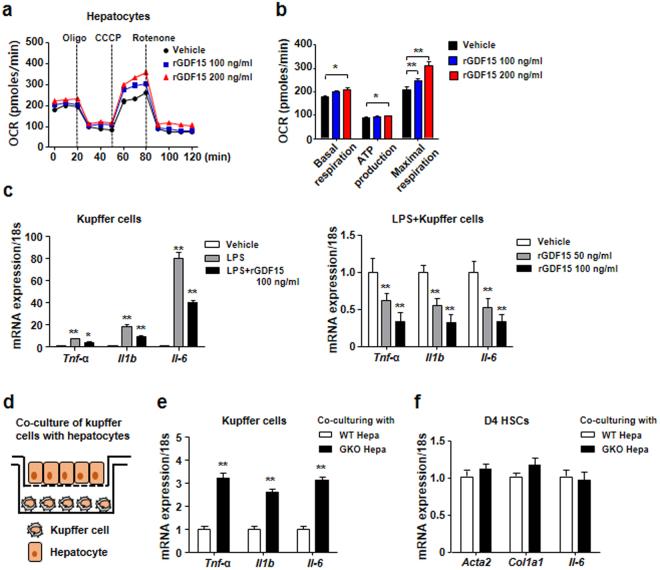
Growth differentiation factor 15 (GDF15) has recently been shown to have an important role in the regulation of mitochondrial function and in the pathogenesis of complex human diseases. Nevertheless, the role of GDF15 in alcohol-induced or fibrotic liver diseases has yet to be determined. In this study, we demonstrate that alcohol- or carbon tetrachloride (CCl)-mediated hepatic GDF15 production ameliorates liver inflammation and fibrosis. Alcohol directly enhanced GDF15 expression in primary hepatocytes, which led to increased oxygen consumption. Moreover, GDF15 reduced the expression of pro-inflammatory cytokines in liver-resident macrophages, leading to an improvement in inflammation and fibrosis in the liver. GDF15 knockout (KO) mice had more TNF-α-producing T cells and more activated CD4 and CD8 T cells in the liver than wild-type mice. Liver-infiltrating monocytes and neutrophils were also increased in the GDF15 KO mice during liver fibrogenesis. These changes in hepatic immune cells were associated with increased tissue inflammation and fibrosis. Finally, recombinant GDF15 decreased the expression of pro-inflammatory cytokines and fibrotic mediators and prevented the activation of T cells in the livers of mice with CCl-induced liver fibrosis. These results suggest that GDF15 could be a potential therapeutic target for the treatment of alcohol-induced and fibrotic liver diseases.

摘要

生长分化因子 15(GDF15)最近被证明在调节线粒体功能和复杂人类疾病的发病机制中具有重要作用。然而,GDF15 在酒精性或纤维化肝病中的作用尚未确定。在这项研究中,我们证明酒精或四氯化碳(CCl)介导的肝 GDF15 产生可改善肝炎症和纤维化。酒精直接增强原代肝细胞中的 GDF15 表达,导致耗氧量增加。此外,GDF15 降低了驻留于肝巨噬细胞中的促炎细胞因子的表达,从而改善了肝内的炎症和纤维化。与野生型小鼠相比,GDF15 敲除(KO)小鼠的肝脏中 TNF-α 产生 T 细胞和更多激活的 CD4 和 CD8 T 细胞更多。在 GDF15 KO 小鼠的肝纤维化过程中,肝内浸润的单核细胞和中性粒细胞也增加。这些肝免疫细胞的变化与组织炎症和纤维化的增加有关。最后,重组 GDF15 降低了 CCl 诱导的肝纤维化小鼠肝脏中促炎细胞因子和纤维化介质的表达,并阻止了 T 细胞的激活。这些结果表明,GDF15 可能是治疗酒精性和纤维化肝病的潜在治疗靶点。

https://cdn.ncbi.nlm.nih.gov/pmc/blobs/8aad/5722931/fd9735c7fcc8/41598_2017_17574_Fig1_HTML.jpg

文献AI研究员

20分钟写一篇综述,助力文献阅读效率提升50倍。

立即体验

用中文搜PubMed

大模型驱动的PubMed中文搜索引擎

马上搜索

文档翻译

学术文献翻译模型,支持多种主流文档格式。

立即体验