• 文献检索
  • 文档翻译
  • 深度研究
  • 学术资讯
  • Suppr Zotero 插件Zotero 插件
  • 邀请有礼
  • 套餐&价格
  • 历史记录
应用&插件
Suppr Zotero 插件Zotero 插件浏览器插件Mac 客户端Windows 客户端微信小程序
定价
高级版会员购买积分包购买API积分包
服务
文献检索文档翻译深度研究API 文档MCP 服务
关于我们
关于 Suppr公司介绍联系我们用户协议隐私条款
关注我们

Suppr 超能文献

核心技术专利:CN118964589B侵权必究
粤ICP备2023148730 号-1Suppr @ 2026

文献检索

告别复杂PubMed语法,用中文像聊天一样搜索,搜遍4000万医学文献。AI智能推荐,让科研检索更轻松。

立即免费搜索

文件翻译

保留排版,准确专业,支持PDF/Word/PPT等文件格式,支持 12+语言互译。

免费翻译文档

深度研究

AI帮你快速写综述,25分钟生成高质量综述,智能提取关键信息,辅助科研写作。

立即免费体验

一种新型热休克元件 (HSE) 在依米丁药物存在的情况下调节 基因的转录激活。

A Novel Heat Shock Element (HSE) in that Regulates the Transcriptional Activation of the Gene in the Presence of Emetine Drug.

机构信息

Laboratorio de Biomedicina Molecular I, Escuela Nacional de Medicina y Homeopatía, Instituto Politécnico Nacional, Mexico City, Mexico.

Departamento de Infectómica y Patogénesis Molecular, Centro de Investigación y de Estudios Avanzados del Instituto Politécnico Nacional, Mexico City, Mexico.

出版信息

Front Cell Infect Microbiol. 2017 Nov 29;7:492. doi: 10.3389/fcimb.2017.00492. eCollection 2017.

DOI:10.3389/fcimb.2017.00492
PMID:29238701
原文链接:https://pmc.ncbi.nlm.nih.gov/articles/PMC5712549/
Abstract

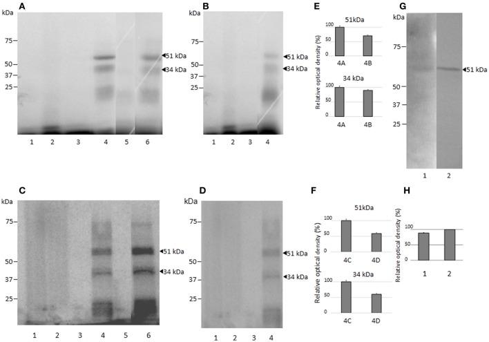
Transcriptional regulation of the multidrug resistance gene in is induced by emetine stress. overexpression alters the chloride-dependent currents that cause trophozoite swelling, diminishing induced programmed cell death (PCD) susceptibility. In contrast, antisense inhibition of P-glycoprotein (PGP) expression produces synchronous death of trophozoites and the enhancement of the biochemical and morphological characteristics of PCD induced by G418. Transcriptional gene regulation analysis identified a 59 bp region at position -170 to -111 bp promoter as putative emetine response elements (EREs). However, insights into transcription factors controlling gene transcription are missing; to fill this knowledge gap, we used deletion studies and transient CAT activity assays. Our findings suggested an activating motif (-151 to -136 bp) that corresponds to a heat shock element (HSE). Gel-shift assays, UV-crosslinking, binding protein purification, and western blotting assays revealed proteins of 94, 66, 62, and 51 kDa binding to the HSE that could be heat shock-like transcription factors that regulate the transcriptional activation of the gene in the presence of emetine drug.

摘要

依托咪酯应激诱导 基因的转录调控。过表达改变了导致滋养体肿胀的氯离子依赖性电流,降低了诱导程序性细胞死亡(PCD)的易感性。相比之下,反义抑制 P-糖蛋白(PGP)的表达会导致滋养体同步死亡,并增强 G418 诱导的 PCD 的生化和形态特征。转录基因调控分析确定了一个位于 -170 到 -111bp 启动子的 59bp 区域为依托咪酯反应元件(EREs)。然而,控制 基因转录的转录因子的见解仍然缺失;为了填补这一知识空白,我们使用了缺失研究和瞬时 CAT 活性测定。我们的研究结果表明存在一个激活基序(-151 到 -136bp),它对应于热休克元件(HSE)。凝胶迁移分析、UV 交联、结合蛋白纯化和 Western 印迹分析显示,与 HSE 结合的蛋白质为 94、66、62 和 51kDa,这些可能是热休克样转录因子,在依托咪酯药物存在的情况下调节 基因的转录激活。

https://cdn.ncbi.nlm.nih.gov/pmc/blobs/222b/5712549/985742ea2d29/fcimb-07-00492-g0006.jpg
https://cdn.ncbi.nlm.nih.gov/pmc/blobs/222b/5712549/b180b079a14f/fcimb-07-00492-g0001.jpg
https://cdn.ncbi.nlm.nih.gov/pmc/blobs/222b/5712549/a9e0cc420cb6/fcimb-07-00492-g0002.jpg
https://cdn.ncbi.nlm.nih.gov/pmc/blobs/222b/5712549/24a0c70930c7/fcimb-07-00492-g0003.jpg
https://cdn.ncbi.nlm.nih.gov/pmc/blobs/222b/5712549/86e6b4e502f8/fcimb-07-00492-g0004.jpg
https://cdn.ncbi.nlm.nih.gov/pmc/blobs/222b/5712549/435780970c89/fcimb-07-00492-g0005.jpg
https://cdn.ncbi.nlm.nih.gov/pmc/blobs/222b/5712549/985742ea2d29/fcimb-07-00492-g0006.jpg
https://cdn.ncbi.nlm.nih.gov/pmc/blobs/222b/5712549/b180b079a14f/fcimb-07-00492-g0001.jpg
https://cdn.ncbi.nlm.nih.gov/pmc/blobs/222b/5712549/a9e0cc420cb6/fcimb-07-00492-g0002.jpg
https://cdn.ncbi.nlm.nih.gov/pmc/blobs/222b/5712549/24a0c70930c7/fcimb-07-00492-g0003.jpg
https://cdn.ncbi.nlm.nih.gov/pmc/blobs/222b/5712549/86e6b4e502f8/fcimb-07-00492-g0004.jpg
https://cdn.ncbi.nlm.nih.gov/pmc/blobs/222b/5712549/435780970c89/fcimb-07-00492-g0005.jpg
https://cdn.ncbi.nlm.nih.gov/pmc/blobs/222b/5712549/985742ea2d29/fcimb-07-00492-g0006.jpg

相似文献

1
A Novel Heat Shock Element (HSE) in that Regulates the Transcriptional Activation of the Gene in the Presence of Emetine Drug.一种新型热休克元件 (HSE) 在依米丁药物存在的情况下调节 基因的转录激活。
Front Cell Infect Microbiol. 2017 Nov 29;7:492. doi: 10.3389/fcimb.2017.00492. eCollection 2017.
2
Entamoeba histolytica EhPgp5 transcriptional activation depends on putative emetine response elements.溶组织内阿米巴EhPgp5转录激活依赖于假定的吐根碱反应元件。
Exp Parasitol. 2005 Jul;110(3):233-7. doi: 10.1016/j.exppara.2005.03.016.
3
EhPgp5 mRNA stability is a regulatory event in the Entamoeba histolytica multidrug resistance phenotype.EhPgp5信使核糖核酸稳定性是溶组织内阿米巴多药耐药表型中的一种调控事件。
J Biol Chem. 2003 Mar 28;278(13):11273-80. doi: 10.1074/jbc.M211757200. Epub 2003 Jan 28.
4
: In Silico and In Vitro Oligomerization of EhHSTF5 Enhances Its Binding to the HSE of the Gene Promoter.EhHSTF5的计算机模拟和体外寡聚化增强了其与基因启动子热休克元件(HSE)的结合。
Int J Mol Sci. 2024 Apr 11;25(8):4218. doi: 10.3390/ijms25084218.
5
Transcriptional analysis of the EhPgp5 promoter of Entamoeba histolytica multidrug-resistant mutant.溶组织内阿米巴多药耐药突变体EhPgp5启动子的转录分析。
J Biol Chem. 1998 Mar 27;273(13):7285-92. doi: 10.1074/jbc.273.13.7285.
6
The novel EhHSTF7 transcription factor displays an oligomer state and recognizes a heat shock element in the Entamoeba histolytica parasite.新型 EhHSTF7 转录因子呈寡聚状态,并能识别溶组织内阿米巴原虫中的热休克元件。
Microb Pathog. 2022 Jan;162:105349. doi: 10.1016/j.micpath.2021.105349. Epub 2021 Dec 2.
7
The Entamoeba histolytica EhPgp5 (MDR-like) protein induces swelling of the trophozoites and alters chloride-dependent currents in Xenopus laevis oocytes.溶组织内阿米巴EhPgp5(多药耐药样)蛋白可诱导滋养体肿胀,并改变非洲爪蟾卵母细胞中氯离子依赖性电流。
Microb Drug Resist. 2002 Spring;8(1):15-26. doi: 10.1089/10766290252913719.
8
Multidrug resistance in the protozoan parasite Entamoeba histolytica.原生动物寄生虫溶组织内阿米巴的多药耐药性。
Parasitol Int. 2002 Dec;51(4):353-9. doi: 10.1016/s1383-5769(02)00041-7.
9
Physiology and molecular biology of multidrug resistance in Entamoeba histolytica.溶组织内阿米巴多药耐药的生理学与分子生物学
Arch Med Res. 1996 Autumn;27(3):421-5.
10
[Multiple drug resistance in Entamoeba histolytica].[溶组织内阿米巴的多重耐药性]
Rev Invest Clin. 2002 Jul-Aug;54(4):349-56.

引用本文的文献

1
: In Silico and In Vitro Oligomerization of EhHSTF5 Enhances Its Binding to the HSE of the Gene Promoter.EhHSTF5的计算机模拟和体外寡聚化增强了其与基因启动子热休克元件(HSE)的结合。
Int J Mol Sci. 2024 Apr 11;25(8):4218. doi: 10.3390/ijms25084218.
2
Screening and Structural Characterization of Heat Shock Response Elements (HSEs) in Promoters.启动子中热休克反应元件(HSEs)的筛选与结构表征
Int J Mol Sci. 2024 Jan 21;25(2):1319. doi: 10.3390/ijms25021319.
3
Tissue-specific transcriptomic analysis uncovers potential roles of natural antisense transcripts in heat stress response.

本文引用的文献

1
Differential expression of pathogenic genes of Entamoeba histolytica vs E. dispar in a model of infection using human liver tissue explants.在使用人肝组织外植体的感染模型中,溶组织内阿米巴与迪斯帕内阿米巴致病基因的差异表达
PLoS One. 2017 Aug 3;12(8):e0181962. doi: 10.1371/journal.pone.0181962. eCollection 2017.
2
Functional characterization of BnHSFA4a as a heat shock transcription factor in controlling the re-establishment of desiccation tolerance in seeds.BnHSFA4a 作为热激转录因子的功能特征,控制种子重新建立脱水耐性。
J Exp Bot. 2017 Apr 1;68(9):2361-2375. doi: 10.1093/jxb/erx097.
3
Analysis of Genomic Sequence Motifs for Deciphering Transcription Factor Binding and Transcriptional Regulation in Eukaryotic Cells.
组织特异性转录组分析揭示了天然反义转录本在热应激反应中的潜在作用。
Front Plant Sci. 2022 Sep 8;13:997967. doi: 10.3389/fpls.2022.997967. eCollection 2022.
用于解析真核细胞中转录因子结合和转录调控的基因组序列基序分析
Front Genet. 2016 Feb 23;7:24. doi: 10.3389/fgene.2016.00024. eCollection 2016.
4
Multi-Level Interactions Between Heat Shock Factors, Heat Shock Proteins, and the Redox System Regulate Acclimation to Heat.热休克因子、热休克蛋白和氧化还原系统之间的多级相互作用调节对热的适应。
Front Plant Sci. 2015 Nov 17;6:999. doi: 10.3389/fpls.2015.00999. eCollection 2015.
5
Entamoeba histolytica P-glycoprotein (EhPgp) inhibition, induce trophozoite acidification and enhance programmed cell death.溶组织内阿米巴 P 糖蛋白(EhPgp)抑制作用可诱导滋养体酸化并增强细胞程序性死亡。
Exp Parasitol. 2013 Nov;135(3):532-40. doi: 10.1016/j.exppara.2013.08.017. Epub 2013 Sep 5.
6
HSF-1 regulators DDL-1/2 link insulin-like signaling to heat-shock responses and modulation of longevity.HSF-1 调控因子 DDL-1/2 将胰岛素样信号传递到热休克反应和寿命的调节中。
Cell. 2012 Jan 20;148(1-2):322-34. doi: 10.1016/j.cell.2011.12.019.
7
The Entamoeba histolytica methylated LINE-binding protein EhMLBP provides protection against heat shock.溶组织内阿米巴甲基化 LINE 结合蛋白 EhMLBP 提供对抗热休克的保护。
Cell Microbiol. 2012 Jan;14(1):58-70. doi: 10.1111/j.1462-5822.2011.01697.x. Epub 2011 Sep 30.
8
Diversity in DNA recognition by heat shock transcription factors (HSFs) from model organisms.模式生物中热休克转录因子(HSFs)对 DNA 的识别多样性。
FEBS Lett. 2011 May 6;585(9):1293-8. doi: 10.1016/j.febslet.2011.04.014. Epub 2011 Apr 14.
9
Drosophila heat shock system as a general model to investigate transcriptional regulation.果蝇热休克系统作为研究转录调控的通用模型。
Cold Spring Harb Symp Quant Biol. 2010;75:1-9. doi: 10.1101/sqb.2010.75.039. Epub 2011 Apr 5.
10
Heterotrimerization of heat-shock factors 1 and 2 provides a transcriptional switch in response to distinct stimuli.热休克因子1和2的异源三聚化可响应不同刺激提供一种转录开关。
Mol Biol Cell. 2009 Mar;20(5):1340-7. doi: 10.1091/mbc.e08-08-0864. Epub 2009 Jan 7.