Suppr超能文献

白杨素通过抗炎和抗氧化活性对脓毒症诱导的急性肺损伤的保护作用。

Protective effect of acacetin on sepsis-induced acute lung injury via its anti-inflammatory and antioxidative activity.

机构信息

Emergency Department of China-Japan Friendship Hospital, 2 Yinghua Dongjie, Chaoyang District, Hepingli, Beijing, 100029, China.

出版信息

Arch Pharm Res. 2018 Dec;41(12):1199-1210. doi: 10.1007/s12272-017-0991-1. Epub 2017 Dec 14.

Abstract

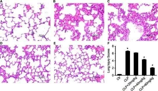
Sepsis is a clinical syndrome with no effective protective or therapeutic treatments. Acacetin, a natural flavonoid compound, has anti-oxidative and anti-inflammatory effects which can potentially work to reduce sepsis. We investigated the potential protective effect of acacetin on sepsis-induced acute lung injury (ALI) ALI and dissect out the underlying mechanisms. Mice were divided into five groups: a sham group, a sepsis-induced ALI group, and three sepsis groups pre-treated with 20, 40, and 80 mg/kg body weight of acacetin. We found that acacetin significantly attenuated sepsis-induced ALI, in histological examinations and lung edema. Additionally, acacetin treatment decreased protein and inflammatory cytokine concentration and the number of infiltrated inflammatory cells in BALF compared with that in the non-treated sepsis mice. Pulmonary myeloperoxidase (MPO) activity was lower in the acacetin-pre-treated sepsis groups than in the sepsis group. The mechanism underlying the protective effect of acacetin on sepsis is related to the regulation of certain antioxidation genes, including inducible nitric oxide synthase (iNOS), cyclooxygenase-2 (COX-2), superoxide dismutases (SODs), and heme oxygenase 1 (HO-1).Taken together, our results indicate that acacetin pre-treatment inhibits sepsis-induced ALI through its anti-inflammatory and antioxidative activity, suggesting that acacetin may be a potential protective agent for sepsis-induced ALI.

摘要

脓毒症是一种临床综合征,目前尚无有效的保护或治疗方法。阿克替宁可减轻脓毒症诱导的急性肺损伤,阿克替宁是一种天然黄酮类化合物,具有抗氧化和抗炎作用,可能有助于减轻脓毒症。我们研究了阿克替宁对脓毒症诱导的急性肺损伤(ALI)的潜在保护作用,并探讨了其潜在机制。将小鼠分为五组:假手术组、脓毒症诱导的 ALI 组和三组用 20、40 和 80mg/kg 体重的阿克替宁预处理的脓毒症组。结果表明,阿克替宁可显著减轻脓毒症诱导的 ALI,在组织学检查和肺水肿方面。此外,与未治疗的脓毒症小鼠相比,阿克替宁治疗可降低 BALF 中的蛋白和炎性细胞因子浓度以及浸润性炎性细胞的数量。肺髓过氧化物酶(MPO)活性在阿克替宁预处理的脓毒症组中低于脓毒症组。阿克替宁对脓毒症的保护作用的机制与某些抗氧化基因的调节有关,包括诱导型一氧化氮合酶(iNOS)、环氧化酶-2(COX-2)、超氧化物歧化酶(SODs)和血红素加氧酶 1(HO-1)。总之,我们的结果表明,阿克替宁预处理通过抗炎和抗氧化活性抑制脓毒症诱导的 ALI,表明阿克替宁可能是脓毒症诱导的 ALI 的潜在保护剂。

https://cdn.ncbi.nlm.nih.gov/pmc/blobs/9705/7101724/140b993aee5c/12272_2017_991_Fig1_HTML.jpg

文献AI研究员

20分钟写一篇综述,助力文献阅读效率提升50倍。

立即体验

用中文搜PubMed

大模型驱动的PubMed中文搜索引擎

马上搜索

文档翻译

学术文献翻译模型,支持多种主流文档格式。

立即体验