Suppr超能文献

移植肝内炎性肌纤维母细胞瘤在超声造影上表现为快进快出:一例报告。

An inflammatory myofibroblastic tumor in the transplanted liver displaying quick wash-in and wash-out on contrast-enhanced ultrasound: A case report.

作者信息

Shang Jing, Wang Yun-Yue, Dang Ying, Zhang Xin-Juan, Song Yan, Ruan Li-Tao

机构信息

Department of Ultrasound Medicine Department of Pathological Diagnosis, the First Affiliated Hospital of Xi'an Jiaotong University, Xi'an, China.

出版信息

Medicine (Baltimore). 2017 Dec;96(49):e9024. doi: 10.1097/MD.0000000000009024.

Abstract

RATIONALE

Inflammatory myofibroblastic tumor (IMT) is an uncommon mesenchymal neoplasm, and its presence in a grafted liver is exceedingly rare.

PATIENT CONCERNS

A 54-year-old woman was admitted to our hospital with a half-month history of intermittent melena. She had undergone deceased-donor liver transplantation (LT) for hepatitis B virus related liver cirrhosis without hepatocellular carcinoma 5 months previously.

DIAGNOSIS

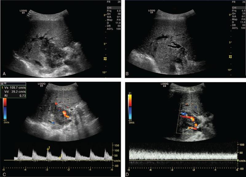
Laboratory examination showed impaired liver and renal functions and Epstein-Barr virus (EBV) infection, but tumor markers within normal ranges. Gastroscopy showed esophageal varices. Ultrasound and computed tomography angiography revealed an ill-defined and irregular solitary lesion in the porta hepatis, encasing both the portal vein and the hepatic artery. The lesion was characterized by arterial hyper-enhancement and hypo-enhancement in the remaining phases with contrast-enhanced ultrasound (CEUS). The lesion was finally confirmed as an IMT by ultrasound-guided biopsy.

INTERVENTION

The patient received conservative treatment, including immunosuppression, endoscopic variceal ligation, antibiotics, steroids, and antiviral agents.

OUTCOME

The patient's gastrointestinal bleeding was controlled, but the symptoms associated with portal hypertension worsened. Attempts to perform a transjugular intrahepatic portosystemic shunt were unsuccessful, and she unfortunately died soon after.

LESSONS

A differential diagnosis of IMT should be considered in LT recipients presenting with EBV infection, normal tumor markers, and a de novo hepatic lesion with quick wash-in and wash-out on CEUS. Ultrasound is associated with the advantages of convenience and nonionizing radiation, and should thus be the priority approach for monitoring transplanted liver.

摘要

理论依据

炎性肌纤维母细胞瘤(IMT)是一种罕见的间叶性肿瘤,在移植肝脏中极为罕见。

患者情况

一名54岁女性因间歇性黑便半月入院。她5个月前因乙型肝炎病毒相关性肝硬化且无肝细胞癌接受了尸体供肝肝移植(LT)。

诊断

实验室检查显示肝肾功能受损及EB病毒(EBV)感染,但肿瘤标志物在正常范围内。胃镜检查显示食管静脉曲张。超声和计算机断层血管造影显示肝门处有一个边界不清、不规则的孤立性病变,包绕门静脉和肝动脉。对比增强超声(CEUS)显示该病变动脉期呈高增强,其余期呈低增强。最终经超声引导下活检确诊为IMT。

干预措施

患者接受了保守治疗,包括免疫抑制、内镜下静脉曲张结扎、抗生素、类固醇和抗病毒药物。

结果

患者的胃肠道出血得到控制,但门静脉高压相关症状加重。经颈静脉肝内门体分流术尝试失败,患者不幸不久后死亡。

经验教训

对于LT受者出现EBV感染、肿瘤标志物正常且CEUS显示肝脏有新发病变且快进快出的情况,应考虑IMT的鉴别诊断。超声具有方便和非电离辐射的优点,因此应作为监测移植肝脏的首选方法。

https://cdn.ncbi.nlm.nih.gov/pmc/blobs/25ae/5728902/fd80893596ac/medi-96-e9024-g001.jpg

文献AI研究员

20分钟写一篇综述,助力文献阅读效率提升50倍。

立即体验

用中文搜PubMed

大模型驱动的PubMed中文搜索引擎

马上搜索

文档翻译

学术文献翻译模型,支持多种主流文档格式。

立即体验