Suppr超能文献

微小RNA-363通过抑制NOB1抑制卵巢癌进展。

MicroRNA-363 inhibits ovarian cancer progression by inhibiting NOB1.

作者信息

Lin Yang, Xu Tianmin, Zhou Shunqing, Cui Manhua

机构信息

Department of Obstetrics and Gynecology, The Second Hospital, Jilin University, Nanguan District, Changchun 130041, China.

出版信息

Oncotarget. 2017 Sep 30;8(60):101649-101658. doi: 10.18632/oncotarget.21417. eCollection 2017 Nov 24.

Abstract

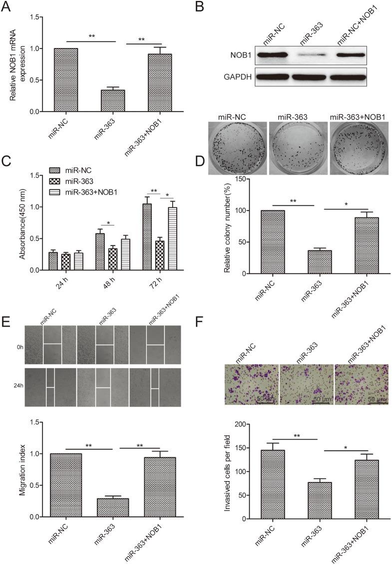
In this study, we investigated the role of microRNA-363(miR-363) in ovarian cancer (OC) progression. MiR-363expression was downregulated in OC patient tissues and four OC cell lines (SKOV3, A2780, OVCAR and HO-8910). Low miR-363 levels were associated with advanced stage, lymph node metastasis, and poor prognosis in OC. MiR-363 overexpression decreased growth, colony formation, migration and invasiveness of SKOV3 cells. In addition, miR-363 overexpression in SKOV3 cells also decreased xenograft tumor size and weight in nude mice. Bioinformatics and dual luciferase reporter assays revealed that miR-363 suppresses expression of NIN1/RPN12 binding protein 1 homolog (NOB1) by binding to the 3'-UTR of its transcript. NOB1 expression inversely correlated with miR-363 levels in OC tissues. Thus miR-363 appears to play a tumor suppressor role in OC by inhibiting NOB1.

摘要

在本研究中,我们调查了微小RNA-363(miR-363)在卵巢癌(OC)进展中的作用。miR-363在OC患者组织和四种OC细胞系(SKOV3、A2780、OVCAR和HO-8910)中表达下调。低miR-363水平与OC的晚期阶段、淋巴结转移及不良预后相关。miR-363过表达降低了SKOV3细胞的生长、集落形成、迁移和侵袭能力。此外,SKOV3细胞中miR-363过表达还减小了裸鼠体内异种移植瘤的大小和重量。生物信息学和双荧光素酶报告基因检测显示,miR-363通过与其转录本的3'-UTR结合来抑制NIN1/RPN12结合蛋白1同源物(NOB1)的表达。在OC组织中,NOB1表达与miR-363水平呈负相关。因此,miR-363似乎通过抑制NOB1在OC中发挥肿瘤抑制作用。

https://cdn.ncbi.nlm.nih.gov/pmc/blobs/16a9/5731903/09d7af350d3a/oncotarget-08-101649-g001.jpg

文献AI研究员

20分钟写一篇综述,助力文献阅读效率提升50倍。

立即体验

用中文搜PubMed

大模型驱动的PubMed中文搜索引擎

马上搜索

文档翻译

学术文献翻译模型,支持多种主流文档格式。

立即体验