Suppr超能文献

在相对年轻的患有内侧间室关节炎合并亲吻损伤的患者中,高位胫骨截骨术与单髁膝关节置换术的比较

High Tibial Osteotomy versus Unicompartmental Knee Arthroplasty for Medial Compartment Arthrosis with Kissing Lesions in Relatively Young Patients.

作者信息

Ryu Seung Min, Park Jae Woo, Na Ho Dong, Shon Oog Jin

机构信息

Department of Orthopedic Surgery, Yeungnam University Medical Center, Daegu, Korea.

出版信息

Knee Surg Relat Res. 2018 Mar 1;30(1):17-22. doi: 10.5792/ksrr.17.006.

Abstract

PURPOSE

The purpose of this study is to compare the clinical and radiographic outcomes of high tibial osteotomy (HTO) and unicompartmental arthroplasty (UKA) in advanced medial compartment arthritis accompanied by kissing lesions in relatively young patients.

MATERIALS AND METHODS

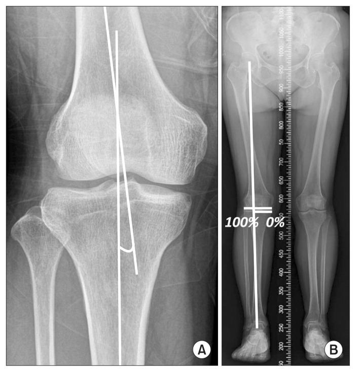
Forty-five patients were divided into the HTO (n=23) and UKA (n=22) groups. Clinically, we evaluated the Lysholm knee scoring scale, visual analogue scale, Hospital for Special Surgery, and Western Ontario and McMaster Universities Osteoarthritis index scores preoperatively, 6 and 12 months postoperatively, and at the final follow-up. Radiographically, we measured the femoral-tibial angle and mechanical axis deviation preoperatively and at the final follow-up.

RESULTS

All clinical outcomes gradually improved in both groups from the postoperative period to the final follow-up. At the final follow-up, all clinical outcomes were slightly better in the UKA group than in the HTO group; however, differences were not statistically significant.

CONCLUSIONS

HTO is comparable to UKA in terms of clinical outcomes. Thus, the results of this study suggest that HTO might be a good alternative treatment to UKA for medial unicompartmental arthritis accompanied by kissing lesions in relatively young patients.

摘要

目的

本研究旨在比较高位胫骨截骨术(HTO)和单髁关节置换术(UKA)在相对年轻的患有内侧间室关节炎并伴有撞击性病变患者中的临床和影像学结果。

材料与方法

45例患者被分为HTO组(n = 23)和UKA组(n = 22)。在临床上,我们在术前、术后6个月、12个月以及末次随访时评估了Lysholm膝关节评分量表、视觉模拟量表、特种外科医院评分以及西安大略和麦克马斯特大学骨关节炎指数评分。在影像学方面,我们在术前和末次随访时测量了股胫角和机械轴偏移。

结果

从术后到末次随访,两组的所有临床结果均逐渐改善。在末次随访时,UKA组的所有临床结果略优于HTO组;然而,差异无统计学意义。

结论

HTO在临床结果方面与UKA相当。因此,本研究结果表明,对于相对年轻的患有内侧单髁关节炎并伴有撞击性病变的患者,HTO可能是UKA的一种良好替代治疗方法。

https://cdn.ncbi.nlm.nih.gov/pmc/blobs/4e4e/5853178/2f47abfd139e/ksrr-30-017f1.jpg

文献AI研究员

20分钟写一篇综述,助力文献阅读效率提升50倍。

立即体验

用中文搜PubMed

大模型驱动的PubMed中文搜索引擎

马上搜索

文档翻译

学术文献翻译模型,支持多种主流文档格式。

立即体验