Suppr超能文献

乳腺癌中基质细胞 CD10 的表达与肿瘤侵袭和癌症干细胞表型相关。

Stromal CD10 expression in breast cancer correlates with tumor invasion and cancer stem cell phenotype.

机构信息

Department of Pathology, Farhat-Hached University Hospital, 4000, Sousse, Tunisia.

出版信息

BMC Cancer. 2018 Jan 6;18(1):49. doi: 10.1186/s12885-017-3951-8.

Abstract

BACKGROUND

Previous investigations have indicated that CD10 is associated with biological aggressivity in human cancers, but the use of this marker for diagnosis and prognosis is more complex. The aim of this study was to evaluate the expression of CD10 in breast cancer and its association with the clinicopathological features. In addition, we investigated whether a relationship exists between CD10 expression and cancer stem cells.

METHODS

CD10 expression was examined by the immunohistochemistry in a series of 133 invasive breast carcinoma cases. Results were correlated to several clinicopathological parameters. Cancer stem cell phenotype was assessed by the immunohistochemical analysis of CD44 and ALDH1.

RESULTS

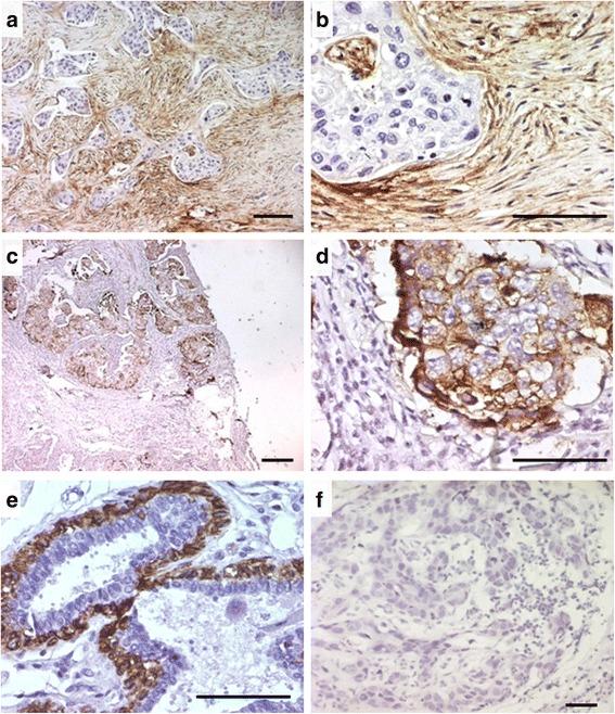
Significant CD10 expression was found in the fusiform stromal cells in 19.5% of the cases and in the neoplastic cells in 7% of the cases. The stromal CD10 positivity was more frequently found in tumors with lymph node metastasis (p = 0.01) and a high histological grade (p = 0.01). However, CD10 expression by the neoplastic cells correlates with a high histological grade (p = 0.03) and the absence of estrogen (p = 0.002) as well as progesterone (p = 0.001) receptor expression. We also found that CD10 expression by the stromal cells, but not by the neoplastic cells, correlates significantly with the expression of cancer stem cell markers (CD44+/ALDH1+) (p = 0.002).

CONCLUSION

These findings support the role of the stromal CD10 expression in breast cancer progression and dissemination, and suggest a relationship with cancer stem cells.

摘要

背景

先前的研究表明,CD10 与人类癌症的生物学侵袭性有关,但该标志物在诊断和预后中的应用更为复杂。本研究旨在评估 CD10 在乳腺癌中的表达及其与临床病理特征的关系。此外,我们还研究了 CD10 表达与癌症干细胞之间是否存在关系。

方法

通过免疫组织化学方法检测了 133 例浸润性乳腺癌病例中 CD10 的表达。结果与多个临床病理参数相关联。通过 CD44 和 ALDH1 的免疫组织化学分析评估癌症干细胞表型。

结果

在 19.5%的病例中,梭形基质细胞和 7%的病例中的肿瘤细胞中存在明显的 CD10 表达。基质 CD10 阳性在有淋巴结转移(p=0.01)和高组织学分级(p=0.01)的肿瘤中更为常见。然而,肿瘤细胞的 CD10 表达与高组织学分级(p=0.03)以及雌激素(p=0.002)和孕激素(p=0.001)受体表达缺失相关。我们还发现,基质细胞的 CD10 表达与癌症干细胞标志物(CD44+/ALDH1+)的表达显著相关(p=0.002),但肿瘤细胞的 CD10 表达与癌症干细胞标志物的表达无关。

结论

这些发现支持了基质 CD10 表达在乳腺癌进展和扩散中的作用,并提示与癌症干细胞之间存在关系。

https://cdn.ncbi.nlm.nih.gov/pmc/blobs/f130/5756378/e049baa78f43/12885_2017_3951_Fig1_HTML.jpg

文献AI研究员

20分钟写一篇综述,助力文献阅读效率提升50倍。

立即体验

用中文搜PubMed

大模型驱动的PubMed中文搜索引擎

马上搜索

文档翻译

学术文献翻译模型,支持多种主流文档格式。

立即体验