Suppr超能文献

在[具体情况未提及]中细胞表面信号通路的激活需要ClpP蛋白酶和新的σ因子合成。

Activation of a Cell Surface Signaling Pathway in Requires ClpP Protease and New Sigma Factor Synthesis.

作者信息

Bishop Thomas F, Martin Lois W, Lamont Iain L

机构信息

Department of Biochemistry, University of Otago, Dunedin, New Zealand.

出版信息

Front Microbiol. 2017 Dec 12;8:2442. doi: 10.3389/fmicb.2017.02442. eCollection 2017.

Abstract

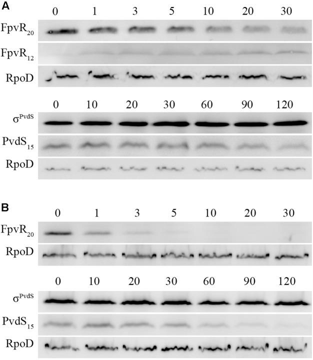
Extracytoplasmic function (ECF) sigma factors control expression of large numbers of genes in bacteria. Most ECF sigma factors are inhibited by antisigma proteins, with inhibition being relieved by environmental signals that lead to inactivation of the antisigma protein and consequent sigma factor activity. In cell surface signaling (CSS) systems in Gram negative bacteria antisigma activity is controlled by an outer membrane protein receptor and its ligand. In one such system controls expression of genes for secretion and uptake of a siderophore, pyoverdine. In this system the activities of two sigma factors σ and σ are inhibited by antisigma protein FpvR that binds to the sigma factors, preventing their interaction with core RNA polymerase. Transport of ferripyoverdine by its outer membrane receptor FpvA causes proteolytic degradation of FpvR, inducing expression of σ- and σ-dependent target genes. Here we show that degradation of FpvR and induction of target gene expression was initiated within 1 min of addition of pyoverdine. FpvR was only partially degraded in a mutant lacking the intracellular ClpP protease, resulting in an FpvR subfragment (FpvR) that inhibited σ and σ. The translation inhibitor chloramphenicol did not prevent induction of an σ-dependent gene, showing that degradation of FpvR released pre-existing σ in an active form. However, chloramphenicol inhibited induction of σ-dependent genes showing that active σ is not released when FpvR is degraded and instead, σ must be synthesized in the absence of FpvR to be active. These findings show that sigma factor activation occurs rapidly following addition of the inducing signal in a CSS pathway and requires ClpP protease. Induction of gene expression that can arise from release of active sigma from an antisigma protein but can also require new sigma factor synthesis.

摘要

胞质外功能(ECF)σ因子控制细菌中大量基因的表达。大多数ECF σ因子受到抗σ蛋白的抑制,环境信号导致抗σ蛋白失活并随之激活σ因子活性,从而解除抑制。在革兰氏阴性菌的细胞表面信号传导(CSS)系统中,抗σ活性由外膜蛋白受体及其配体控制。在一个这样的系统中,控制着铁载体绿脓菌素分泌和摄取相关基因的表达。在这个系统中,两个σ因子σ和σ的活性被抗σ蛋白FpvR抑制,FpvR与σ因子结合,阻止它们与核心RNA聚合酶相互作用。铁绿脓菌素通过其外膜受体FpvA的转运导致FpvR的蛋白水解降解,诱导σ和σ依赖性靶基因的表达。在这里我们表明,添加绿脓菌素后1分钟内就开始了FpvR的降解和靶基因表达的诱导。在缺乏细胞内ClpP蛋白酶的突变体中,FpvR仅部分降解,产生一个抑制σ和σ的FpvR亚片段(FpvR)。翻译抑制剂氯霉素不能阻止σ依赖性基因的诱导,表明FpvR的降解释放出已存在的活性形式的σ。然而,氯霉素抑制σ依赖性基因的诱导,表明FpvR降解时活性σ不会释放,相反,σ必须在没有FpvR的情况下合成才能具有活性。这些发现表明,在CSS途径中添加诱导信号后,σ因子迅速激活,并且需要ClpP蛋白酶。基因表达的诱导既可以源于抗σ蛋白释放活性σ,也可能需要新的σ因子合成。

https://cdn.ncbi.nlm.nih.gov/pmc/blobs/c7eb/5733041/084c56fa2077/fmicb-08-02442-g001.jpg

文献AI研究员

20分钟写一篇综述,助力文献阅读效率提升50倍。

立即体验

用中文搜PubMed

大模型驱动的PubMed中文搜索引擎

马上搜索

文档翻译

学术文献翻译模型,支持多种主流文档格式。

立即体验