Suppr超能文献

使用椎间孔内镜脊柱系统技术的经椎间孔经皮内镜下椎间盘切除术:初学者应避免的陷阱。

Transforaminal Percutaneous Endoscopic Discectomy using Transforaminal Endoscopic Spine System technique: Pitfalls that a beginner should avoid.

作者信息

Kapetanakis Stylianos, Gkasdaris Grigorios, Angoules Antonios G, Givissis Panagiotis

机构信息

Spine Department and Deformities, Interbalkan European Medical Center, Thessaloniki 55535, Greece.

Department of Medical Laboratories, Technological Educational Institute of Athens, Athens 12243, Greece.

出版信息

World J Orthop. 2017 Dec 18;8(12):874-880. doi: 10.5312/wjo.v8.i12.874.

Abstract

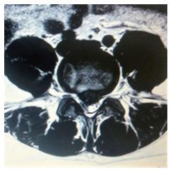
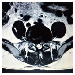
Transforaminal Percutaneous Endoscopic Discectomy (TPED) is a minimally invasive technique mainly used for the treatment of lumbar disc herniation from a lateral approach. Performed under local anesthesia, TPED has been proven to be a safe and effective technique which has been also associated with shorter rehabilitation period, reduced blood loss, trauma, and scar tissue compared to conventional procedures. However, the procedure should be performed by a spine surgeon experienced in the specific technique and capable of recognizing or avoiding various challenging conditions. In this review, pitfalls that a novice surgeon has to be mindful of, are reported and analyzed.

摘要

经椎间孔入路经皮内镜下椎间盘切除术(TPED)是一种主要用于从侧方入路治疗腰椎间盘突出症的微创技术。TPED在局部麻醉下进行,已被证明是一种安全有效的技术,与传统手术相比,它还具有康复期短、失血少、创伤小和瘢痕组织少的特点。然而,该手术应由精通该特定技术且能够识别或避免各种具有挑战性情况的脊柱外科医生进行。在本综述中,报告并分析了新手外科医生必须注意的陷阱。

https://cdn.ncbi.nlm.nih.gov/pmc/blobs/26fc/5745429/b74ed5740ce1/WJO-8-874-g001.jpg

相似文献

4
Percutaneous Transforaminal Endoscopic Discectomy for Lumbar Disk Herniation.
Clin Spine Surg. 2016 Nov;29(9):368-371. doi: 10.1097/BSD.0000000000000366.
10
Postoperative seizure following transforaminal percutaneous endoscopic lumbar discectomy.
Asian J Neurosurg. 2016 Oct-Dec;11(4):450. doi: 10.4103/1793-5482.145119.

引用本文的文献

3
Transforaminal endoscopic lumbar discectomy: learning curve of a single surgeon.
J Spine Surg. 2023 Jun 30;9(2):159-165. doi: 10.21037/jss-22-54. Epub 2023 Apr 13.
4
Impact of Body Weight, Height, and Obesity on Selection of Skin Entry Point for Transforaminal Endoscopic Lumbar Discectomy.
Asian J Neurosurg. 2022 Aug 24;17(2):262-267. doi: 10.1055/s-0042-1751005. eCollection 2022 Jun.
7
Cadaveric anatomy of the lumbar triangular safe zone of Kambin's in North West Indian population.
Anat Cell Biol. 2021 Mar 31;54(1):35-41. doi: 10.5115/acb.20.243.
9
A review of discogenic pain management by interventional techniques.
J Craniovertebr Junction Spine. 2020 Jan-Mar;11(1):4-8. doi: 10.4103/jcvjs.JCVJS_19_20. Epub 2020 Apr 4.

本文引用的文献

1
Anatomical considerations of the iliac crest on percutaneous endoscopic discectomy using a transforaminal approach.
Spine J. 2017 Dec;17(12):1875-1880. doi: 10.1016/j.spinee.2017.06.012. Epub 2017 Jun 20.
5
Clinical anatomy and significance of the thoracic intervertebral foramen: A cadaveric study and review of the literature.
J Craniovertebr Junction Spine. 2016 Oct-Dec;7(4):228-235. doi: 10.4103/0974-8237.193266.
6
Transforaminal Percutaneous Endoscopic Discectomy in Parkinson Disease: Preliminary Results and Short Review of the Literature.
Korean J Spine. 2016 Sep;13(3):144-150. doi: 10.14245/kjs.2016.13.3.144. Epub 2016 Sep 30.
7
Transforaminal Percutaneous Endoscopic Discectomy for Lumbar Disc Herniation in Parkinson's Disease: A Case-Control Study.
Asian Spine J. 2016 Aug;10(4):671-7. doi: 10.4184/asj.2016.10.4.671. Epub 2016 Aug 16.
9
Transforaminal full-endoscopic lumbar discectomy in obese patients.
Int J Spine Surg. 2016 May 4;10:18. doi: 10.14444/3018. eCollection 2016.

文献AI研究员

20分钟写一篇综述,助力文献阅读效率提升50倍。

立即体验

用中文搜PubMed

大模型驱动的PubMed中文搜索引擎

马上搜索

文档翻译

学术文献翻译模型,支持多种主流文档格式。

立即体验