Suppr超能文献

西格列汀,一种二肽基肽酶-4 抑制剂,抑制小鼠的腹主动脉瘤形成。

Suppression of Abdominal Aortic Aneurysm Formation in Mice by Teneligliptin, a Dipeptidyl Peptidase-4 Inhibitor.

机构信息

Department of Cardiovascular Medicine, Kyushu University Graduate School of Medical Sciences, Kyushu University.

Center for Disruptive Cardiovascular Medicine, Department of Advanced Cardiovascular Regulation and Therapeutics, Kyushu University.

出版信息

J Atheroscler Thromb. 2018 Aug 1;25(8):698-708. doi: 10.5551/jat.42481. Epub 2018 Jan 10.

Abstract

AIM

Dipeptidyl peptidase-4 (DPP-4) inhibitors lower blood glucose levels through inhibition of incretin degradation, which stimulates insulin secretion. Recent studies reported that DPP-4 inhibitors suppressed atherogenesis in apolipoprotein E-knockout (ApoEKO) mice. In this study, we investigated whether teneligliptin, a DPP-4 inhibitor, affects the development of abdominal aortic aneurysms (AAA) in ApoEKO mice.

METHODS

ApoEKO mice were fed a high-fat diet (HFD) and infused with angiotensin (Ang) II by osmotic mini pumps for 4 weeks to induce AAA with (DPP-4i group) or without (control group) teneligliptin administered orally from 1 week before HFD and Ang II infusion to the end of the experiment. Confluent rat vascular smooth muscle cells (VSMCs) were serum-starved for 48 hours, then incubated with or without teneligliptin for another 24 hours and stimulated with Ang II.

RESULTS

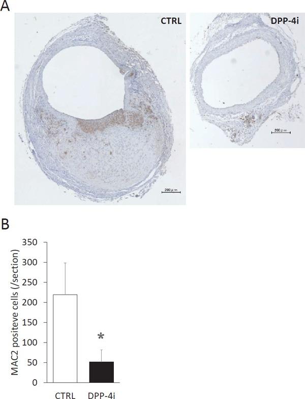
Treatment with teneligliptin significantly reduced the AAA formation rate (30.7% vs. 71.4% vs. control, P<0.05), aortic dilatation (1.32±0.09 mm vs. 1.76±0.18 mm in the control, P<0.05) and severity score (0.75±0.28 vs. 1.91±0.4 in the control, P<0.05). Elastin degradation grade was also attenuated in DPP-4i group (2.83±0.17 vs. 3.45±0.16 in the control, P<0.05). The number of macrophages infiltrating into the abdominal aorta was decreased in the DPP-4i group (51.8± 29.8/section vs. 219.5±78.5/section in the control, P<0.05). Teneligliptin attenuated Ang II-induced phosphorylation of extracellular signal-regulated kinase (ERK) and Akt, and mRNA expression of monocyte chemoattractant protein-1 in VSMCs.

CONCLUSION

Treatment with teneligliptin suppressed AAA formation in ApoEKO mice with HFD and Ang II infusion. Suppression of macrophage infiltration by teneligliptin may be involved in the inhibition of AAA formation.

摘要

目的

二肽基肽酶-4(DPP-4)抑制剂通过抑制肠降血糖素的降解来降低血糖水平,从而刺激胰岛素分泌。最近的研究报道,DPP-4 抑制剂可抑制载脂蛋白 E 敲除(ApoEKO)小鼠的动脉粥样硬化形成。在这项研究中,我们研究了 DPP-4 抑制剂替格列汀是否会影响 ApoEKO 小鼠腹主动脉瘤(AAA)的发展。

方法

ApoEKO 小鼠喂食高脂肪饮食(HFD)并通过渗透微型泵输注血管紧张素(Ang)II 4 周,以诱导 AAA,并用或不用替格列汀(DPP-4i 组)口服治疗,从 HFD 和 Ang II 输注前 1 周开始至实验结束。使大鼠血管平滑肌细胞(VSMCs)汇合,血清饥饿 48 小时,然后用或不用替格列汀孵育 24 小时,并用 Ang II 刺激。

结果

替格列汀治疗可显著降低 AAA 形成率(30.7% vs. 71.4% vs. 对照组,P<0.05)、主动脉扩张(1.32±0.09 mm vs. 1.76±0.18 mm 对照组,P<0.05)和严重程度评分(0.75±0.28 vs. 1.91±0.4 对照组,P<0.05)。DPP-4i 组弹性蛋白降解程度也减弱(2.83±0.17 vs. 3.45±0.16 对照组,P<0.05)。DPP-4i 组腹主动脉内浸润的巨噬细胞数量减少(51.8±29.8/切片 vs. 219.5±78.5/切片 对照组,P<0.05)。替格列汀减弱了 Ang II 诱导的 VSMCs 细胞外信号调节激酶(ERK)和 Akt 的磷酸化以及单核细胞趋化蛋白-1 的 mRNA 表达。

结论

替格列汀治疗可抑制 ApoEKO 小鼠 HFD 和 Ang II 输注诱导的 AAA 形成。替格列汀抑制巨噬细胞浸润可能参与了 AAA 形成的抑制。

https://cdn.ncbi.nlm.nih.gov/pmc/blobs/2af5/6099070/7142fe05fd0d/jat-25-698-g001.jpg

文献AI研究员

20分钟写一篇综述,助力文献阅读效率提升50倍。

立即体验

用中文搜PubMed

大模型驱动的PubMed中文搜索引擎

马上搜索

文档翻译

学术文献翻译模型,支持多种主流文档格式。

立即体验