Suppr超能文献

骨硬化症中的颈椎骨折:一例病例报告及文献综述

Cervical spine fractures in osteopetrosis: a case report and review of the literature.

作者信息

Ahmadpour Arjang, Goodarzi Amir, Lee Darrin J, Panchal Ripul R, Kim Kee D

机构信息

Department of Neurological Surgery, University of California-Davis Medical Center, Sacramento, CA 95817, USA.

出版信息

J Biomed Res. 2018 Jan 18;32(1):68-76. doi: 10.7555/JBR.32.20170055.

Abstract

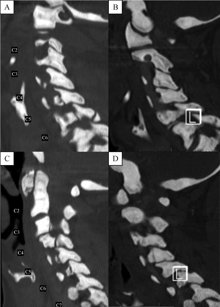
While management of appendicular fractures has been well described in the setting of osteopetrosis, there is limited information on managing fractures of the axial spine. Here we present an osteopetrotic patient with multiple traumatic multiple, comminuted, unstable cervical spinal fractures managed with non-operative stabilization, and provide a review of the pathophysiology, genetic characteristics, and special considerations that must be explored when determining operative versus non-operative management of spinal injury in osteopetrosis. A PubMed query was performed for English articles in the literature published up to June 2016, and used the following search terms alone and in combination: "osteopetrosis", "spine", "fractures", "osteoclasts", and "operative management". Within four months after initial injury, treatment with halo vest allowed for adequate healing. The patient was asymptomatic with cervical spine dynamic radiographs confirming stability at four months. On four-year follow up examination, the patient remained without neck pain, and CT scan demonstrated partially sclerotic fracture lines with appropriate anatomical alignment. In conclusion, external halo stabilization may be an effective option for treatment of multiple unstable acute traumatic cervical spine fractures in patients with osteopetrosis. Given the challenge of surgical stabilization in osteopetrosis, further research is necessary to elucidate the optimal form of treatment in this select patient population.

摘要

虽然在骨质石化症背景下,四肢骨折的处理已有详尽描述,但关于轴性脊柱骨折的处理信息有限。在此,我们介绍一名患有多发性创伤性、粉碎性、不稳定型颈椎骨折的骨质石化症患者,其采用非手术固定治疗,并对骨质石化症患者脊柱损伤手术与非手术治疗决策时必须探究的病理生理学、遗传特征及特殊注意事项进行综述。在PubMed上检索截至2016年6月发表的英文文献,单独及组合使用以下检索词:“骨质石化症”“脊柱”“骨折”“破骨细胞”及“手术治疗”。初次损伤后4个月内,采用头环背心治疗实现了充分愈合。患者无症状,颈椎动态X线片证实4个月时稳定。在4年随访检查中,患者无颈部疼痛,CT扫描显示骨折线部分硬化,解剖对位良好。总之,对于骨质石化症患者的多发性不稳定急性创伤性颈椎骨折,外固定头环可能是一种有效的治疗选择。鉴于骨质石化症手术固定的挑战,有必要进一步研究以阐明这一特定患者群体的最佳治疗方式。

https://cdn.ncbi.nlm.nih.gov/pmc/blobs/bb74/5956260/977adf514403/jbr-32-01-68-fig1.jpg

文献AI研究员

20分钟写一篇综述,助力文献阅读效率提升50倍。

立即体验

用中文搜PubMed

大模型驱动的PubMed中文搜索引擎

马上搜索

文档翻译

学术文献翻译模型,支持多种主流文档格式。

立即体验