Suppr超能文献

DNA复制许可蛋白(MCM2、MCM5和CDC6)、p16和p63作为子宫颈癌前病变标志物的意义:其预测恶性潜能的效用。

Significance of DNA Replication Licensing Proteins (MCM2, MCM5 and CDC6), p16 and p63 as Markers of Premalignant Lesions of the Uterine Cervix: Its Usefulness to Predict Malignant Potential.

作者信息

Saritha V N, Veena V S, Jagathnath Krishna K M, Somanathan Thara, Sujathan K

机构信息

Division of Cancer Research, , Regional Cancer Centre,Trivandrum, Kerla, India. Email:

出版信息

Asian Pac J Cancer Prev. 2018 Jan 27;19(1):141-148. doi: 10.22034/APJCP.2018.19.1.141.

Abstract

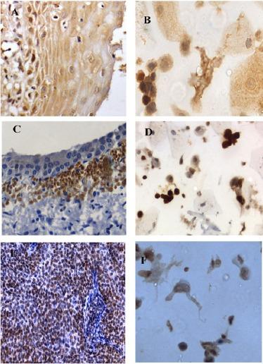
Cervical cancer continues to be a leading cancer among women in many parts of the world. Nation-wide screening with the Pap smear has not been implemented in India due to the lack of adequately trained cytologists. Identification of biomarkers to predict malignant potential of the identified low risk lesions is essential to avoid excessive retesting and follow up. The current study analyzed the expression patterns of DNA replication licensing proteins, proliferation inhibitor protein p16INK4A and tumor suppresser protein p63 in cervical tissues and smears to assess the ability of these proteins to predict progression. Methods: Cervical smears and corresponding tissues were immunostained using mouse monoclonal antibodies against MCM2, MCM5, CDC6, p16 and p63. Smears were treated with a non-ionic surfactant sodium deoxycholate prior to immuno-cytochemistry. The standard ABC method of immunohistochemistry was performed using DAB as the chromogen. The immunostained samples were scored on a 0-3+ scale and staining patterns of smears were compared with those of tissue sections. Sensitivity and specificity for each of these markers were calculated taking histopathology as the gold standard. Result: All the markers were positive in malignant and dysplastic cells. MCM protein expression was found to be up-regulated in LSIL, HSIL and in malignancies to a greater extent than p16 as well as p63. CDC6 protein was preferentially expressed in high grade lesions and in invasive squamous cell carcinomas. A progressive increase in the expression of DNA replication licensing proteins in accordance with the grades of cervical intraepithelial lesion suggests these markers as significant to predict malignant potential of low grade lesions in cervical smears. Conclusion: MCMs and CDC6 can be applied as biomarkers to predict malignant potential of low grade lesions identified in screening programmes and retesting / follow up might be confined to those with high risk lesions alone so that overuse of resources can be safely avoided.

摘要

宫颈癌在世界许多地区仍是女性中的主要癌症。由于缺乏训练有素的细胞学家,印度尚未实施全国范围的巴氏涂片筛查。识别生物标志物以预测已确定的低风险病变的恶性潜能对于避免过度复查和随访至关重要。本研究分析了宫颈组织和涂片样本中DNA复制许可蛋白、增殖抑制蛋白p16INK4A和肿瘤抑制蛋白p63的表达模式,以评估这些蛋白预测病变进展的能力。方法:使用抗MCM2、MCM5、CDC6、p16和p63的小鼠单克隆抗体对宫颈涂片及相应组织进行免疫染色。在免疫细胞化学之前,涂片用非离子表面活性剂脱氧胆酸钠处理。使用DAB作为显色剂,采用标准的免疫组织化学ABC法。对免疫染色样本进行0-3+评分,并将涂片的染色模式与组织切片的染色模式进行比较。以组织病理学为金标准,计算每个标志物的敏感性和特异性。结果:所有标志物在恶性细胞和发育异常细胞中均呈阳性。发现MCM蛋白在低度鳞状上皮内病变(LSIL)、高度鳞状上皮内病变(HSIL)和恶性肿瘤中的表达上调程度高于p16和p63。CDC6蛋白在高级别病变和浸润性鳞状细胞癌中优先表达。随着宫颈上皮内病变等级的增加,DNA复制许可蛋白的表达逐渐增加,表明这些标志物对于预测宫颈涂片中低级别病变的恶性潜能具有重要意义。结论:MCM蛋白和CDC6可作为生物标志物,用于预测筛查计划中发现的低级别病变的恶性潜能,复查和随访可能仅限于高危病变,从而可以安全地避免资源的过度使用。

https://cdn.ncbi.nlm.nih.gov/pmc/blobs/8611/5844608/cc75eee5ce45/APJCP-19-141-g001.jpg

文献AI研究员

20分钟写一篇综述,助力文献阅读效率提升50倍。

立即体验

用中文搜PubMed

大模型驱动的PubMed中文搜索引擎

马上搜索

文档翻译

学术文献翻译模型,支持多种主流文档格式。

立即体验