Suppr超能文献

在法国一个传统的自繁自养农场中,对仔猪接种一种菌苗与一种包含猪圆环病毒2型的即用型产品进行现场评估。

Field evaluation of piglet vaccination with a bacterin as compared to a ready-to-use product including porcine circovirus 2 and in a conventional French farrow-to-finish farm.

作者信息

Duivon Didier, Corrégé Isabelle, Hémonic Anne, Rigaut Martial, Roudaut David, Jolie Rika

机构信息

MSD Santé Animale, 7, rue Olivier de Serres - Angers Technopole, C.S. 17144, 49071 Beaucouzé cedex, France.

2IFIP, La Motte au Vicomte, 35650 Le Rheu, France.

出版信息

Porcine Health Manag. 2018 Jan 18;4:4. doi: 10.1186/s40813-017-0077-y. eCollection 2018.

Abstract

BACKGROUND

A controlled randomized trial was performed on a well-managed conventional French 180-sow farm. The trial compared the growth performances of piglets vaccinated at weaning (single shot) either with a commercial monovalent bacterin vaccine or with a commercial bivalent vaccine (Porcilis® PCV M Hyo) against and porcine circovirus 2 (PCV2). The farm's porcine reproductive and respiratory syndrome status was stable, and most diseases (enzootic pneumonia, atrophic rhinitis, post-weaning multisystemic wasting syndrome) were controlled by routine vaccination.

RESULTS

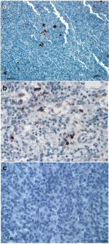
During the post-weaning phase, the growth performances of the piglets vaccinated with the bivalent vaccine were not significantly different from those vaccinated with the monovalent vaccine. However, during the fattening phase the group vaccinated with the bivalent vaccine had a significantly improved ADG (+34 g/d,  = 0. 047), resulting in a 5-day earlier shipment to slaughter. The group also had a shorter and lower PCV2 load in serum during the fattening period, and an improved lung lesions score. In both groups, three pigs died during the peak PCV2 viraemia (16-23 weeks of age). Immunohistochemistry of the lymph nodes showed that in the group vaccinated with the bivalent vaccine, none of these pigs had PCV2-like lesions, while 2 out of the 3 from the other group did. Results suggest that the added PCV2 valence in the vaccination protocol helps countering the negative impact of subclinical PCV2 infection on growth. The calculated return on investment of the added PCV2 vaccine valence was €1.7 extra revenue per slaughtered pig (€ 39 additional revenue per sow and per year), despite the fact that the cost of the bivalent vaccine was higher than the monovalent vaccine.

CONCLUSION

In this healthy conventional sow farm, the combined and PCV2 vaccination was efficacious, convenient to administer and profitable.

摘要

背景

在一个管理良好的传统法国180头母猪养殖场进行了一项对照随机试验。该试验比较了断奶时(单次注射)接种商业单价菌苗疫苗或商业二价疫苗(Porcilis® PCV M Hyo)的仔猪针对猪繁殖与呼吸综合征和猪圆环病毒2型(PCV2)的生长性能。该养殖场的猪繁殖与呼吸综合征状况稳定,大多数疾病(地方性肺炎、萎缩性鼻炎、断奶后多系统消耗综合征)通过常规疫苗接种得到控制。

结果

在断奶后阶段,接种二价疫苗的仔猪生长性能与接种单价疫苗的仔猪无显著差异。然而,在育肥阶段,接种二价疫苗的组平均日增重显著提高(+34克/天,P = 0.047),从而提前5天出栏屠宰。该组在育肥期血清中的PCV2载量也更低且持续时间更短,肺部病变评分有所改善。两组中,有三头猪在PCV2病毒血症高峰期(16 - 23周龄)死亡。淋巴结免疫组织化学显示,接种二价疫苗的组中,这些猪均无PCV2样病变,而另一组的三头中有两头有。结果表明,疫苗接种方案中增加PCV2价有助于抵消亚临床PCV2感染对生长的负面影响。尽管二价疫苗成本高于单价疫苗,但计算得出增加PCV2疫苗价的投资回报率为每头屠宰猪额外增加1.7欧元收入(每头母猪每年额外增加39欧元收入)。

结论

在这个健康的传统母猪养殖场,同时接种猪繁殖与呼吸综合征和PCV2疫苗有效、易于管理且有利可图。

https://cdn.ncbi.nlm.nih.gov/pmc/blobs/446d/5772722/b57146cf31ca/40813_2017_77_Fig1_HTML.jpg

文献检索

告别复杂PubMed语法,用中文像聊天一样搜索,搜遍4000万医学文献。AI智能推荐,让科研检索更轻松。

立即免费搜索

文件翻译

保留排版,准确专业,支持PDF/Word/PPT等文件格式,支持 12+语言互译。

免费翻译文档

深度研究

AI帮你快速写综述,25分钟生成高质量综述,智能提取关键信息,辅助科研写作。

立即免费体验