Suppr超能文献

原发性肺弥漫性大B细胞淋巴瘤的CT及PET/CT表现:1例报告并文献复习

CT and PET/CT findings of primary pulmonary diffuse large B-cell lymphoma: One case report and literature review.

作者信息

Bai Yanjun, Liang Wenjie

机构信息

Department of Radiology, Beilun Branch Hospital of the First Affiliated Hospital, College of Medicine, Zhejiang University, The People's Hospital of Beilun District, Ningbo Department of Radiology, The First Affiliated Hospital, College of Medicine, Zhejiang University, Hangzhou, Zhejiang, China.

出版信息

Medicine (Baltimore). 2017 Nov;96(47):e8876. doi: 10.1097/MD.0000000000008876.

Abstract

RATIONALE

Primary pulmonary diffuse large B-cell lymphoma (PPL-DLBCL) is rare and its clinical manifestations lack specificity. In this report, we present one case of PPL-DLBCL with complete clinical and imaging data, including uncontrast-enhanced CT, contrast-enhanced CT, and positron emission tomography (PET)/CT. Previous cases will also be reviewed and summarized.

PATIENT CONCERNS

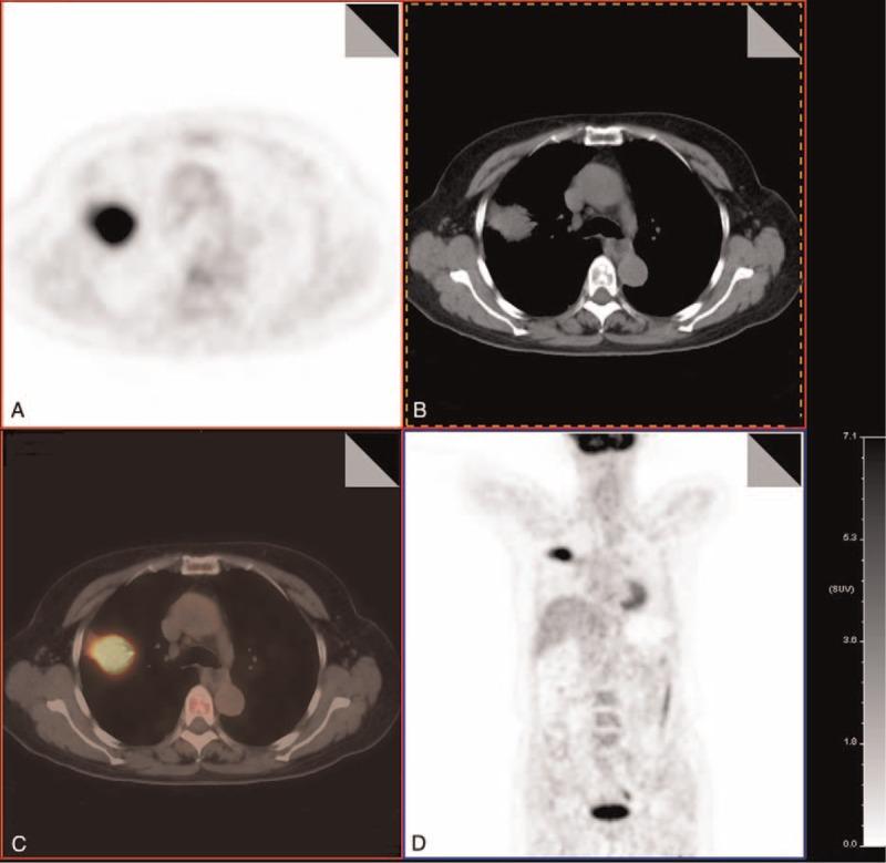
A 62-year-old woman was hospitalized due to a swelling pain located in the right side of her back that persisted for >1 month. Local CT examination indicated a pulmonary infection and anti-infective therapy was administered; however, her symptoms did not improve. In the hospital, a lung CT scan with enhancement showed hyperintensity of the right upper lobe (RUL), ill-defined margins, inhomogeneous density, with air bronchograms, and mild-to-moderate enhancement. PET/CT showed a slight hyperintensity of mass with high uptake (about 14.7 standardized uptake value [SUV]), and no high uptake was found in other locations.

INTERVENTIONS

A CT-guided percutaneous needle biopsy with Tru-Cut needles was performed.

DIAGNOSES

The final diagnosis was PPL-DLBCL.

OUTCOMES

After 4 rounds of chemotherapy using the rituximab-cyclophosphamide hydroxydaunorubicin oncovin prednisolone (R-CHOP) regimen, the patient's pain was significantly relieved.

LESSONS

Finally, the PPL-DLBCL manifestation was similar to other types of PPL clinical manifestations and CT manifestations, but the PPL-DLBCL PET/CT showed an apparent, high metabolism. CT-guided percutaneous transthoracic needle biopsy can clearly diagnose the disease.

摘要

理由

原发性肺弥漫性大B细胞淋巴瘤(PPL-DLBCL)较为罕见,其临床表现缺乏特异性。在本报告中,我们呈现了1例具有完整临床和影像数据(包括平扫CT、增强CT及正电子发射断层显像(PET)/CT)的PPL-DLBCL病例。还将对既往病例进行回顾与总结。

患者情况

一名62岁女性因右侧背部肿胀疼痛持续1个月以上入院。局部CT检查提示肺部感染并给予抗感染治疗,但症状未改善。在医院,增强肺部CT扫描显示右上叶(RUL)密度增高,边界不清,密度不均匀,可见空气支气管征,呈轻至中度强化。PET/CT显示肿块轻度强化伴高摄取(标准化摄取值(SUV)约为14.7),其他部位未见高摄取。

干预措施

采用Tru-Cut针在CT引导下进行经皮穿刺活检。

诊断结果

最终诊断为PPL-DLBCL。

治疗结果

采用利妥昔单抗-环磷酰胺-羟基柔红霉素-长春新碱-泼尼松(R-CHOP)方案进行4轮化疗后,患者疼痛明显缓解。

经验教训

PPL-DLBCL的表现与其他类型的PPL临床表现及CT表现相似,但PPL-DLBCL的PET/CT显示明显的高代谢。CT引导下经皮经胸针吸活检可明确诊断该病。

https://cdn.ncbi.nlm.nih.gov/pmc/blobs/d69f/5709009/63f6ce9d0232/medi-96-e8876-g001.jpg

文献检索

告别复杂PubMed语法,用中文像聊天一样搜索,搜遍4000万医学文献。AI智能推荐,让科研检索更轻松。

立即免费搜索

文件翻译

保留排版,准确专业,支持PDF/Word/PPT等文件格式,支持 12+语言互译。

免费翻译文档

深度研究

AI帮你快速写综述,25分钟生成高质量综述,智能提取关键信息,辅助科研写作。

立即免费体验