Suppr超能文献

二嗪农诱导Wistar大鼠急性毒性时肝细胞抗氧化基因表达模式及氧化损伤生物标志物的改变:一项时间进程机制研究

Alteration of hepatocellular antioxidant gene expression pattern and biomarkers of oxidative damage in diazinon-induced acute toxicity in Wistar rat: A time-course mechanistic study.

作者信息

Hassani Shokoufeh, Maqbool Faheem, Salek-Maghsoudi Armin, Rahmani Soheila, Shadboorestan Amir, Nili-Ahmadabadi Amir, Amini Mohsen, Norouzi Parviz, Abdollahi Mohammad

机构信息

Toxicology and Diseases Group, Pharmaceutical Sciences Research Center, Tehran University of Medical Sciences, Tehran, Iran.

Department of Toxicology and Pharmacology, Faculty of Pharmacy, Tehran University of Medical Sciences, Tehran, Iran.

出版信息

EXCLI J. 2018 Jan 8;17:57-71. doi: 10.17179/excli2017-760. eCollection 2018.

Abstract

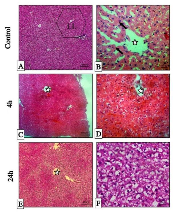
In the present survey, the plasma level of diazinon after acute exposure was measured by HPLC method at a time-course manner. In addition, the impact of diazinon on the expression of the key genes responsible for hepatocellular antioxidative defense, including PON1, GPx and CAT were investigated. The increase in oxidative damages in treated rats was determined by measuring LPO, protein carbonyl content and total antioxidant power in plasma. After administration of 85 mg/kg diazinon in ten groups of male rats at different time points between 0-24 hours, the activity of AChE enzyme was inhibited to about 77.94 %. Significant increases in carbonyl groups and LPO after 0.75 and 1 hours were also observed while the plasma antioxidant power was significantly decreased. Despite the dramatic reduction of GP and PON1 gene expression, CAT gene was significantly upregulated in mRNA level by 1.1 fold after 4 hours and 1.5-fold after 24 hours due to diazinon exposure, compared to control group. Furthermore, no significant changes in diazinon plasma levels were found after 4 hours in the treated rats. The limits of detection and quantification were 137.42 and 416.52 ng/mL, respectively. The average percentage recoveries from plasma were between 90.62 % and 95.72 %. In conclusion, acute exposure to diazinon increased oxidative stress markers in a time-dependent manner and the changes were consistent with effects on hepatic antioxidant gene expression pattern. The effect of diazinon even as a non-lethal dose was induced on the gene expression of antioxidant enzymes. The change in antioxidant defense system occurs prior to diazinon plasma peak time. These results provide biochemical and molecular evidence supporting potential acute toxicity of diazinon and is beneficial in the evaluation of acute toxicity of other organophosphorus pesticides as well.

摘要

在本次调查中,采用高效液相色谱法(HPLC)对急性暴露后敌百虫的血浆水平进行了时间进程测定。此外,还研究了敌百虫对负责肝细胞抗氧化防御的关键基因(包括对氧磷酶1、谷胱甘肽过氧化物酶和过氧化氢酶)表达的影响。通过测量血浆中的脂质过氧化(LPO)、蛋白质羰基含量和总抗氧化能力来确定经处理大鼠氧化损伤的增加情况。在0至24小时的不同时间点,对十组雄性大鼠给予85 mg/kg敌百虫后,乙酰胆碱酯酶(AChE)的活性被抑制至约77.94%。在0.75小时和1小时后,还观察到羰基和LPO显著增加,而血浆抗氧化能力显著降低。尽管谷胱甘肽过氧化物酶(GP)和对氧磷酶1基因表达显著降低,但与对照组相比,由于敌百虫暴露,过氧化氢酶基因在mRNA水平在4小时后显著上调1.1倍,在24小时后上调1.5倍。此外,处理后的大鼠在4小时后未发现敌百虫血浆水平有显著变化。检测限和定量限分别为137.42和416.52 ng/mL。血浆中的平均回收率在90.62%至95.72%之间。总之,急性暴露于敌百虫会以时间依赖性方式增加氧化应激标志物,且这些变化与对肝脏抗氧化基因表达模式的影响一致。即使是在非致死剂量下,敌百虫也会诱导抗氧化酶的基因表达。抗氧化防御系统的变化发生在敌百虫血浆峰值时间之前。这些结果提供了生化和分子证据,支持敌百虫潜在的急性毒性,也有助于评估其他有机磷农药的急性毒性。

https://cdn.ncbi.nlm.nih.gov/pmc/blobs/349a/5780620/ce2e43978a0d/EXCLI-17-57-t-001.jpg

文献AI研究员

20分钟写一篇综述,助力文献阅读效率提升50倍。

立即体验

用中文搜PubMed

大模型驱动的PubMed中文搜索引擎

马上搜索

文档翻译

学术文献翻译模型,支持多种主流文档格式。

立即体验