• 文献检索
  • 文档翻译
  • 深度研究
  • 学术资讯
  • Suppr Zotero 插件Zotero 插件
  • 邀请有礼
  • 套餐&价格
  • 历史记录
应用&插件
Suppr Zotero 插件Zotero 插件浏览器插件Mac 客户端Windows 客户端微信小程序
定价
高级版会员购买积分包购买API积分包
服务
文献检索文档翻译深度研究API 文档MCP 服务
关于我们
关于 Suppr公司介绍联系我们用户协议隐私条款
关注我们

Suppr 超能文献

核心技术专利:CN118964589B侵权必究
粤ICP备2023148730 号-1Suppr @ 2026

文献检索

告别复杂PubMed语法,用中文像聊天一样搜索,搜遍4000万医学文献。AI智能推荐,让科研检索更轻松。

立即免费搜索

文件翻译

保留排版,准确专业,支持PDF/Word/PPT等文件格式,支持 12+语言互译。

免费翻译文档

深度研究

AI帮你快速写综述,25分钟生成高质量综述,智能提取关键信息,辅助科研写作。

立即免费体验

伴有卵圆孔未闭的冠状动脉和肺栓塞:一例报告

Concomitant coronary and pulmonary embolism associated with patent foramen ovale: A case report.

作者信息

Chen Zhongxiu, Li Chen, Li Yajiao, Tang Hong, Rao Li, Wang Mian

机构信息

Department of Cardiology, West China Hospital of Sichuan University, Chengdu, Sichuan, China.

出版信息

Medicine (Baltimore). 2017 Dec;96(52):e9480. doi: 10.1097/MD.0000000000009480.

DOI:10.1097/MD.0000000000009480
PMID:29384941
原文链接:https://pmc.ncbi.nlm.nih.gov/articles/PMC6392996/
Abstract

RATIONALE

The differential diagnosis of acute chest pain is very important, and can sometimes be challenging. Related diseases share a number of risk factors, and occasionally, 1 condition causes another disease to develop.

PATIENT CONCERNS

We described a 59-year-old man who presented to emergency department complaining of chest pain.

DIAGNOSES

He was suffered acute myocardial infarction (MI) and pulmonary embolism (PE) simultaneously.

INTERVENTIONS

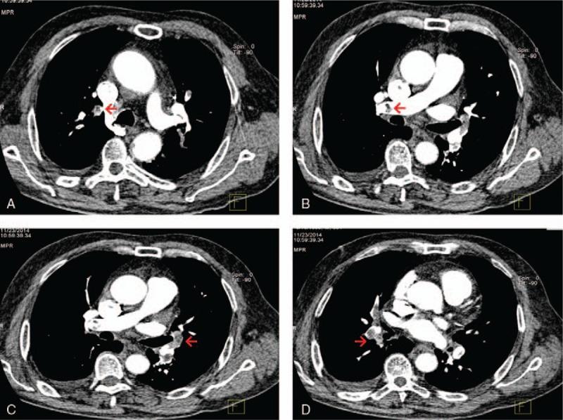
Dual antiplatelet therapy, statin, and low molecular weight heparin were administrated during his stay. The searches for cancers, autoimmune diseases, and hematologic diseases were unremarkable, ruling out a hypercoagulable state. Subsequent ultrasound scan revealed a thrombus in a vein of the lower left extremity. Thus, paradoxical embolism was highly suspected.

OUTCOMES

Paradoxical embolism is a rare cause of acute MI, which may have occurred in our patient. This was evidenced by a previously unrecognized patent foramen ovale (PFO) with a right-to-left atrial shunt detected using contrast transesophageal echocardiography.

LESSONS

Acute MI complicated with PE is not common in the clinical setting. The fatal condition is difficult to diagnose because of the similar symptoms and confusing causes. Paradoxical embolism can cause this phenomenon, and physicians should be highly vigilant in the search for a PFO in cases of paradoxical embolism.

摘要

理论依据

急性胸痛的鉴别诊断非常重要,有时也具有挑战性。相关疾病有许多共同的危险因素,而且偶尔一种疾病会导致另一种疾病的发生。

患者情况

我们描述了一名59岁男性,他因胸痛到急诊科就诊。

诊断

他同时患有急性心肌梗死(MI)和肺栓塞(PE)。

干预措施

住院期间给予双联抗血小板治疗、他汀类药物和低分子肝素。对癌症、自身免疫性疾病和血液系统疾病的检查未发现异常,排除了高凝状态。随后的超声扫描显示左下肢静脉有血栓。因此,高度怀疑为反常栓塞。

结果

反常栓塞是急性心肌梗死的罕见原因,可能在我们的患者中发生。经食管对比超声心动图检测到先前未被识别的卵圆孔未闭(PFO)伴右向左心房分流,证明了这一点。

经验教训

急性心肌梗死合并肺栓塞在临床中并不常见。由于症状相似且病因复杂,这种致命情况很难诊断。反常栓塞可导致这种现象,医生在反常栓塞病例中寻找卵圆孔未闭时应高度警惕。

https://cdn.ncbi.nlm.nih.gov/pmc/blobs/3bea/6392996/7bf4f7dc337f/medi-96-e9480-g004.jpg
https://cdn.ncbi.nlm.nih.gov/pmc/blobs/3bea/6392996/6d429630015b/medi-96-e9480-g001.jpg
https://cdn.ncbi.nlm.nih.gov/pmc/blobs/3bea/6392996/05834dc15b1d/medi-96-e9480-g002.jpg
https://cdn.ncbi.nlm.nih.gov/pmc/blobs/3bea/6392996/69f512d0db81/medi-96-e9480-g003.jpg
https://cdn.ncbi.nlm.nih.gov/pmc/blobs/3bea/6392996/7bf4f7dc337f/medi-96-e9480-g004.jpg
https://cdn.ncbi.nlm.nih.gov/pmc/blobs/3bea/6392996/6d429630015b/medi-96-e9480-g001.jpg
https://cdn.ncbi.nlm.nih.gov/pmc/blobs/3bea/6392996/05834dc15b1d/medi-96-e9480-g002.jpg
https://cdn.ncbi.nlm.nih.gov/pmc/blobs/3bea/6392996/69f512d0db81/medi-96-e9480-g003.jpg
https://cdn.ncbi.nlm.nih.gov/pmc/blobs/3bea/6392996/7bf4f7dc337f/medi-96-e9480-g004.jpg

相似文献

1
Concomitant coronary and pulmonary embolism associated with patent foramen ovale: A case report.伴有卵圆孔未闭的冠状动脉和肺栓塞:一例报告
Medicine (Baltimore). 2017 Dec;96(52):e9480. doi: 10.1097/MD.0000000000009480.
2
Impending paradoxical embolism: a case report.即将发生的反常栓塞:一例报告
J Emerg Med. 2013 Jul;45(1):19-21. doi: 10.1016/j.jemermed.2012.11.046. Epub 2013 Feb 7.
3
Patent foramen ovale, paradoxical embolism and fatal coronary obstruction.卵圆孔未闭、反常栓塞与致命性冠状动脉阻塞
Forensic Sci Med Pathol. 2018 Jun;14(2):258-262. doi: 10.1007/s12024-018-9963-0. Epub 2018 Feb 27.
4
Successful surgical treatment of impending paradoxical embolism with pulmonary embolism and myocardial infarction.成功手术治疗伴肺栓塞和心肌梗死的即将发生的矛盾性栓塞。
J Cardiothorac Surg. 2024 Mar 19;19(1):137. doi: 10.1186/s13019-024-02606-0.
5
[Massive pulmonary embolism with a large thrombus stuck in patent foramen ovale - an impending paradoxical embolism].[巨大肺栓塞伴大血栓嵌顿于卵圆孔未闭——即将发生反常栓塞]
Vnitr Lek. 2021 Spring;67(2):114-118.
6
Frequent Arterial Emboli in a Patient with Acute Pulmonary Thromboembolism and Patent Foramen Ovale.一名患有急性肺血栓栓塞症和卵圆孔未闭患者的频繁动脉栓塞
Ann Vasc Surg. 2018 Nov;53:274.e7-274.e10. doi: 10.1016/j.avsg.2018.05.048. Epub 2018 Aug 4.
7
Pulmonary embolism and renal artery thrombosis in a patient with patent foramen ovale.卵圆孔未闭患者合并肺栓塞和肾动脉血栓形成。
Acta Biomed. 2022 Jun 29;93(S1):e2022209. doi: 10.23750/abm.v93iS1.12948.
8
Simultaneous Onset of Deep Vein Thrombosis, Pulmonary Embolism, Cerebral Infarction, and Myocardial Infarction in a Patient with Patent Foramen Ovale.卵圆孔未闭患者同时发生深静脉血栓形成、肺栓塞、脑梗死和心肌梗死
S D Med. 2017 Jun;70(6):266-269.
9
Paradoxical embolism-report of a case involving four organ systems.反常栓塞——累及四个器官系统的病例报告
J Emerg Med. 2000 Jul;19(1):31-4. doi: 10.1016/s0736-4679(00)00178-5.
10
Concomitant acute myocardial infarction and acute pulmonary embolism caused by paradoxical embolism: a case report.由反常栓塞引起的同时急性心肌梗死和急性肺栓塞:一例报告。
BMC Cardiovasc Disord. 2021 Jun 24;21(1):313. doi: 10.1186/s12872-021-02123-1.

引用本文的文献

1
Cryptogenic stroke and patent foramen ovale: endeavoring for clarity.隐源性卒中与卵圆孔未闭:力求明晰
Front Neurol. 2025 Jan 14;15:1533232. doi: 10.3389/fneur.2024.1533232. eCollection 2024.
2
Cardiac arrest in a healthy child due to paradoxical embolus across a previously unrecognised sinus venosus defect.一名健康儿童因一枚此前未被发现的静脉窦缺损处的反常栓塞而发生心脏骤停。
BMJ Case Rep. 2019 Dec 5;12(12):e230135. doi: 10.1136/bcr-2019-230135.

本文引用的文献

1
2014 ESC Guidelines on the diagnosis and management of acute pulmonary embolism.2014年欧洲心脏病学会急性肺栓塞诊断和管理指南
Eur Heart J. 2014 Dec 1;35(45):3145-6. doi: 10.1093/eurheartj/ehu393.
2
Guidelines for the prevention of stroke in patients with stroke and transient ischemic attack: a guideline for healthcare professionals from the American Heart Association/American Stroke Association.《卒中和短暂性脑缺血发作患者卒中预防指南:美国心脏协会/美国卒中协会医疗保健专业人员指南》。
Stroke. 2014 Jul;45(7):2160-236. doi: 10.1161/STR.0000000000000024. Epub 2014 May 1.
3
Stroke or transient ischemic attack in patients with transvenous pacemaker or defibrillator and echocardiographically detected patent foramen ovale.
经胸超声心动图检查发现卵圆孔未闭的经静脉起搏器或除颤器患者的卒中或短暂性脑缺血发作。
Circulation. 2013 Sep 24;128(13):1433-41. doi: 10.1161/CIRCULATIONAHA.113.003540. Epub 2013 Aug 14.
4
Diagnosis of pulmonary embolism in the coronary care unit.冠心病监护病房中肺栓塞的诊断
Am J Cardiol. 2009 Mar 15;103(6):881-6. doi: 10.1016/j.amjcard.2008.11.040. Epub 2009 Jan 24.
5
Young Adult Myocardial Infarction and Ischemic Stroke: the role of paradoxical embolism and thrombophilia (The YAMIS Study).青年心肌梗死与缺血性卒中:反常栓塞与易栓症的作用(YAMIS研究)
J Am Coll Cardiol. 2006 Aug 15;48(4):686-91. doi: 10.1016/j.jacc.2006.02.074. Epub 2006 Jul 25.
6
Pulmonary embolism as a cause of death in patients with heart disease: an autopsy study.心脏病患者中肺栓塞作为死因的尸检研究
Chest. 2006 May;129(5):1282-7. doi: 10.1378/chest.129.5.1282.
7
Incidence and clinical predictors of pulmonary embolism in severe heart failure patients admitted to a coronary care unit.入住冠心病监护病房的重症心力衰竭患者肺栓塞的发生率及临床预测因素
Chest. 2005 Oct;128(4):2576-80. doi: 10.1378/chest.128.4.2576.
8
Patent foramen ovale is an important predictor of adverse outcome in patients with major pulmonary embolism.卵圆孔未闭是主要肺栓塞患者不良预后的重要预测指标。
Circulation. 1998 May 19;97(19):1946-51. doi: 10.1161/01.cir.97.19.1946.
9
Incidence and size of patent foramen ovale during the first 10 decades of life: an autopsy study of 965 normal hearts.出生后第一个十年间卵圆孔未闭的发生率及大小:965例正常心脏的尸检研究
Mayo Clin Proc. 1984 Jan;59(1):17-20. doi: 10.1016/s0025-6196(12)60336-x.
10
Transient right to left atrial shunt detected by contrast echocardiography in the acute stage of pulmonary embolism.在肺栓塞急性期通过对比超声心动图检测到的短暂性右向左心房分流。
J Clin Ultrasound. 1984 Sep;12(7):417-9. doi: 10.1002/jcu.1870120707.