• 文献检索
  • 文档翻译
  • 深度研究
  • 学术资讯
  • Suppr Zotero 插件Zotero 插件
  • 邀请有礼
  • 套餐&价格
  • 历史记录
应用&插件
Suppr Zotero 插件Zotero 插件浏览器插件Mac 客户端Windows 客户端微信小程序
定价
高级版会员购买积分包购买API积分包
服务
文献检索文档翻译深度研究API 文档MCP 服务
关于我们
关于 Suppr公司介绍联系我们用户协议隐私条款
关注我们

Suppr 超能文献

核心技术专利:CN118964589B侵权必究
粤ICP备2023148730 号-1Suppr @ 2026

文献检索

告别复杂PubMed语法,用中文像聊天一样搜索,搜遍4000万医学文献。AI智能推荐,让科研检索更轻松。

立即免费搜索

文件翻译

保留排版,准确专业,支持PDF/Word/PPT等文件格式,支持 12+语言互译。

免费翻译文档

深度研究

AI帮你快速写综述,25分钟生成高质量综述,智能提取关键信息,辅助科研写作。

立即免费体验

一名青少年左颈总动脉囊状假性动脉瘤:覆膜支架治疗

Saccular pseudoaneurysm of the left common carotid artery in an adolescent: Management with a covered stent.

作者信息

Van Camp Laurent, Budts Werner, Maleux Geert

机构信息

Department of Radiology, University Hospitals Leuven, Leuven, Belgium.

Department of Congenital Cardiology, University Hospitals Leuven, Leuven, Belgium.

出版信息

Ann Pediatr Cardiol. 2018 Jan-Apr;11(1):83-85. doi: 10.4103/apc.APC_56_17.

DOI:10.4103/apc.APC_56_17
PMID:29440836
原文链接:https://pmc.ncbi.nlm.nih.gov/articles/PMC5803983/
Abstract

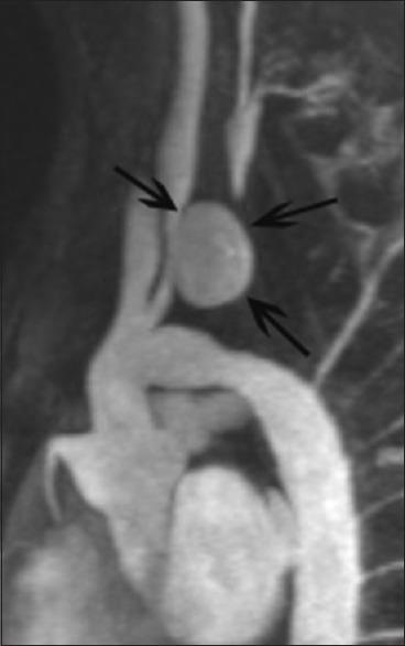
An adolescent patient with a previous history of surgical repair for interrupted aortic arch type B presented with an asymptomatic, saccular pseudoaneurysm of the proximal, common left carotid artery, identified on a follow-up magnetic resonance angiography of the thoracic large vessels. The pseudoaneurysm was successfully excluded with a covered stent. Clinical and radiological follow-up after 2 years was uneventful.

摘要

一名曾因B型主动脉弓中断接受手术修复的青少年患者,在胸部大血管的随访磁共振血管造影中发现左颈总动脉近端有无症状的囊状假性动脉瘤。该假性动脉瘤通过覆膜支架成功排除。2年后的临床和影像学随访均无异常。

https://cdn.ncbi.nlm.nih.gov/pmc/blobs/4735/5803983/61666237ff45/APC-11-83-g003.jpg
https://cdn.ncbi.nlm.nih.gov/pmc/blobs/4735/5803983/242c63aff31e/APC-11-83-g001.jpg
https://cdn.ncbi.nlm.nih.gov/pmc/blobs/4735/5803983/507cb4029b7b/APC-11-83-g002.jpg
https://cdn.ncbi.nlm.nih.gov/pmc/blobs/4735/5803983/61666237ff45/APC-11-83-g003.jpg
https://cdn.ncbi.nlm.nih.gov/pmc/blobs/4735/5803983/242c63aff31e/APC-11-83-g001.jpg
https://cdn.ncbi.nlm.nih.gov/pmc/blobs/4735/5803983/507cb4029b7b/APC-11-83-g002.jpg
https://cdn.ncbi.nlm.nih.gov/pmc/blobs/4735/5803983/61666237ff45/APC-11-83-g003.jpg

相似文献

1
Saccular pseudoaneurysm of the left common carotid artery in an adolescent: Management with a covered stent.一名青少年左颈总动脉囊状假性动脉瘤:覆膜支架治疗
Ann Pediatr Cardiol. 2018 Jan-Apr;11(1):83-85. doi: 10.4103/apc.APC_56_17.
2
Non-infected carotid artery pseudoaneurysm 29 years after endarterectomy, endovascular management with covered stent.内膜剥脱术后29年的非感染性颈动脉假性动脉瘤,采用覆膜支架进行血管腔内治疗。
J Neurosurg Sci. 2012 Jun;56(2):145-9.
3
Staged hybrid treatment of complex ascending aortic and distal aortic arch pseudoaneurysm after repair of aortic coarctation.主动脉缩窄修复术后复杂升主动脉及远端主动脉弓假性动脉瘤的分期杂交治疗
J Cardiovasc Surg (Torino). 2011 Jun;52(3):395-8. Epub 2008 Oct 24.
4
Natural history of aneurysmal aortic arch branch vessels in a single tertiary referral center.单一三级转诊中心动脉瘤性主动脉弓分支血管的自然病史
J Vasc Surg. 2018 Dec;68(6):1631-1639.e1. doi: 10.1016/j.jvs.2018.03.412. Epub 2018 May 24.
5
Treatment of an Aortic Arch Aneurysm with Scalloped and Fenestrated Thoracic Stent Graft and Left Carotid to Subclavian Artery Bypass.使用带扇形和开窗的胸主动脉覆膜支架及左颈动脉至锁骨下动脉旁路术治疗主动脉弓动脉瘤
Ann Vasc Surg. 2017 Apr;40:300.e11-300.e15. doi: 10.1016/j.avsg.2016.08.041. Epub 2017 Feb 3.
6
Successful Kissing Balloon Expandable Stent Graft Treatment for a Right Common Carotid Pseudoaneurysm Caused by Tracheotomy.经气管切开术后右颈总假性动脉瘤成功采用 Kissing Balloon 可扩张覆膜支架治疗。
World Neurosurg. 2018 Jun;114:241-244. doi: 10.1016/j.wneu.2018.03.139. Epub 2018 Mar 27.
7
Treatment of type II endoleaks associated with left subclavian artery coverage during thoracic aortic stent grafting.胸主动脉支架植入术中左锁骨下动脉覆盖相关Ⅱ型内漏的治疗
J Thorac Cardiovasc Surg. 2008 Nov;136(5):1193-9. doi: 10.1016/j.jtcvs.2008.05.036. Epub 2008 Sep 6.
8
Coverage of the left subclavian artery during thoracic endovascular aortic repair.胸主动脉腔内修复术中左锁骨下动脉的覆盖情况。
J Vasc Surg. 2007 Jan;45(1):90-4; discussion 94-5. doi: 10.1016/j.jvs.2006.08.076.
9
Autologous vein-covered stent repair of a cervical internal carotid artery pseudoaneurysm: technical case report.颈内动脉假性动脉瘤的自体静脉覆盖支架修复术:技术病例报告
Neurosurgery. 1998 Feb;42(2):408-12; discussion 412-3. doi: 10.1097/00006123-199802000-00138.
10
Proximal Scallop in Thoracic Endovascular Aortic Aneurysm Repair to Overcome Neck Issues in the Arch.胸主动脉腔内修复术中近端扇贝形移植物以克服弓部的颈部问题。
Eur J Vasc Endovasc Surg. 2016 Mar;51(3):343-9. doi: 10.1016/j.ejvs.2015.09.012. Epub 2015 Oct 17.

本文引用的文献

1
Dual antiplatelet therapy after carotid stenting: lessons from 'big brother'.颈动脉支架置入术后的双重抗血小板治疗:来自“老大哥”的经验教训。
Eur J Vasc Endovasc Surg. 2015 Jun;49(6):621-622. doi: 10.1016/j.ejvs.2015.02.004. Epub 2015 Mar 7.
2
Endovascular stenting of extracranial carotid artery aneurysm: a systematic review.颅内颈动脉动脉瘤的血管内支架治疗:系统评价。
Eur J Vasc Endovasc Surg. 2011 Oct;42(4):419-26. doi: 10.1016/j.ejvs.2011.05.008. Epub 2011 Jun 8.
3
Acute life-threatening hemorrhage in patients with head and neck cancer presenting with carotid blowout syndrome: follow-up results after initial hemostasis with covered-stent placement.
头颈部癌伴颈动脉破裂综合征患者发生危及生命的急性大出血:初始采用覆膜支架置入进行止血后的随访结果。
AJNR Am J Neuroradiol. 2011 Apr;32(4):743-7. doi: 10.3174/ajnr.A2379. Epub 2011 Mar 24.
4
Extracranial carotid arteries aneurysms in children: single-center experiences in 4 patients and review of the literature.儿童颅外颈动脉动脉瘤:4例单中心经验及文献复习
J Pediatr Surg. 2007 Nov;42(11):1961-8. doi: 10.1016/j.jpedsurg.2007.07.052.
5
Emergency endovascular deployment of stent graft in the ascending aorta for contained rupture of innominate artery pseudoaneurysm in a pediatric patient.一名儿科患者无名动脉假性动脉瘤局限性破裂时,紧急在升主动脉内血管部署覆膜支架。
Ann Thorac Surg. 2006 May;81(5):1872-5. doi: 10.1016/j.athoracsur.2005.07.046.
6
Symptomatic internal carotid artery dissecting pseudoaneurysm: endovascular treatment by stent-graft.症状性颈内动脉夹层假性动脉瘤:支架移植物血管内治疗
Cardiovasc Intervent Radiol. 2005 Jul-Aug;28(4):499-501. doi: 10.1007/s00270-004-0269-0.
7
Internal carotid artery aneurysm with life-threatening hemorrhages in a pediatric patient: endovascular treatment options.一名儿科患者的颈内动脉动脉瘤伴危及生命的出血:血管内治疗选择
J Endovasc Ther. 2004 Dec;11(6):734-8. doi: 10.1583/1308R.1.
8
Endovascular treatment of a left carotid artery "bowtie" pseudoaneurysm with a covered Wallgraft stent.
J Neuroimaging. 2003 Oct;13(4):362-6.