Inohana Mari, Eguchi Ayumi, Nakamura Misato, Nagahara Rei, Watanabe Yosuke, Yoshida Toshinori, Shibutani Makoto
Laboratory of Veterinary Pathology, Tokyo University of Agriculture and Technology, 3-5-8 Saiwai-cho, Fuchu-shi, Tokyo 183-8509, Japan.
Pathogenetic Veterinary Science, United Graduate School of Veterinary Sciences, Gifu University, 1-1 Yanagido, Gifu-shi, Gifu 501-1193, Japan.
J Vet Med Sci. 2018 Apr 18;80(4):611-615. doi: 10.1292/jvms.17-0644. Epub 2018 Feb 16.
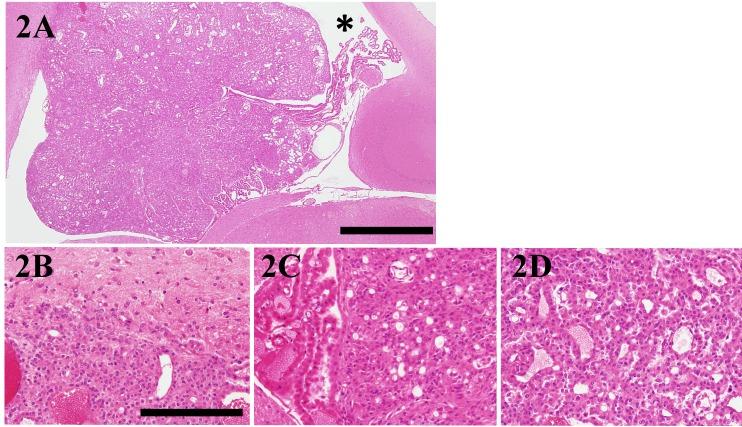
We describe a case of choroid plexus carcinoma arising in the cerebrum of a 7-week-old male Sprague-Dawley rat. The tumor mass occupied the right lateral ventricle of the cerebrum. Histological analyses revealed that the epithelial tumor cells had proliferated in tubular, cribriform, papillary and solid growth patterns in the vicinity of the choroid plexus, with slight invasion into the cerebrum parenchyma. We divided the tumor cells into cuboidal, elongated and intermediate cells. Immunohistochemical studies showed that these tumor cells expressed relatively high levels of cytokeratin AE1/AE3, vimentin and glial fibrillary acidic proteins, and low levels of nestin, oligodendrocyte transcription factor and doublecortin proteins. The present case was diagnosed as a choroid plexus carcinoma with neuronal and glial differentiation.
我们描述了一例发生在7周龄雄性Sprague-Dawley大鼠大脑中的脉络丛癌。肿瘤块占据了大脑右侧脑室。组织学分析显示,上皮肿瘤细胞在脉络丛附近呈管状、筛状、乳头状和实性生长模式增殖,并轻微侵入大脑实质。我们将肿瘤细胞分为立方细胞、细长细胞和中间细胞。免疫组织化学研究表明,这些肿瘤细胞表达相对高水平的细胞角蛋白AE1/AE3、波形蛋白和胶质纤维酸性蛋白,以及低水平的巢蛋白、少突胶质细胞转录因子和双皮质素蛋白。本病例被诊断为具有神经元和胶质分化的脉络丛癌。