Suppr超能文献

成人肾母细胞瘤合并下腔静脉血栓及远端深静脉血栓形成 1 例报告并文献复习

Adult Wilms tumor with inferior vena cava thrombus and distal deep vein thrombosis - a case report and literature review.

机构信息

Department of Urology, Regional Specialist Hospital, Wroclaw, Poland.

Department of Pathology, Regional Specialist Hospital, Wroclaw, Poland.

出版信息

World J Surg Oncol. 2018 Feb 23;16(1):38. doi: 10.1186/s12957-018-1343-4.

Abstract

BACKGROUND

Adult Wilms tumor (WT, nephroblastoma) is a rare, but well-described renal neoplasm. Although inferior vena cava tumor thrombosis is present in up to 10% of Wilms tumors in childhood, only few cases of this clinical manifestation in adults have been reported. To the best of our knowledge, this is the first case of adult WT infiltrating into inferior vena cava (IVC) with concomitant distal deep vein thrombosis.

CASE PRESENTATION

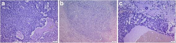
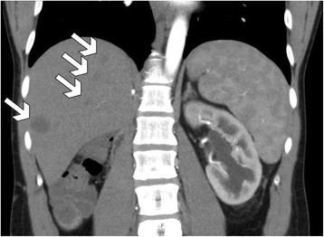
A 28-year-old male patient with gross hematuria and right flank pain was diagnosed with right kidney tumor penetrating to IVC. Preoperatively, acute distal thrombosis in inferior vena cava and lower extremities veins occurred. Right radical nephrectomy with tumor thrombectomy via cavotomy was performed. In order to prevent pulmonary embolism, IVC was ligated below left renal vein level. Histopathological examination revealed a triphasic nephroblastoma without anaplastic features. Postoperatively, patient was diagnosed with metastatic liver disease, which was treated with two lines of chemotherapy followed by radiotherapy with achievement of complete response.

CONCLUSIONS

Adult WT occurs usually in young patients, under 40 years of age. Neoadjuvant chemotherapy proved to be effective in children, resulting with tumor shrinkage and venous tumor thrombus regression. Therefore, percutaneous biopsy should be always considered in young patients presenting with renal tumor invading venous system. IVC ligation is a safe treatment option in the event of complete inferior vena cava occlusion due to distal thrombosis concomitant to tumor thrombus, provided collateral venous pathways are well-developed.

摘要

背景

成人肾母细胞瘤(WT,肾胚细胞瘤)是一种罕见但已充分描述的肾肿瘤。尽管儿童肾母细胞瘤中多达 10%存在下腔静脉肿瘤血栓,但成人中仅有少数此类临床表现的病例报道。据我们所知,这是首例成人 WT 浸润下腔静脉(IVC)并伴有远端深静脉血栓形成的病例。

病例介绍

一名 28 岁男性患者因肉眼血尿和右侧腰痛被诊断为右肾肿瘤穿透 IVC。术前发生急性 IVC 远端和下肢静脉血栓形成。通过腔静脉切开术进行了右肾根治性切除术和肿瘤血栓切除术。为了预防肺栓塞,在左肾静脉水平以下结扎 IVC。组织病理学检查显示为三时相肾母细胞瘤,无间变特征。术后患者被诊断为肝转移疾病,接受了两线化疗和放疗,达到完全缓解。

结论

成人 WT 通常发生在 40 岁以下的年轻患者中。新辅助化疗在儿童中证明有效,可导致肿瘤缩小和静脉肿瘤血栓消退。因此,对于有肾静脉系统侵袭性肾肿瘤的年轻患者,应始终考虑经皮活检。如果由于肿瘤血栓伴发的远端血栓形成导致 IVC 完全闭塞,则 IVC 结扎是一种安全的治疗选择,前提是侧支静脉通路发育良好。

https://cdn.ncbi.nlm.nih.gov/pmc/blobs/4a43/5824467/5f5dd8767281/12957_2018_1343_Fig1_HTML.jpg

文献AI研究员

20分钟写一篇综述,助力文献阅读效率提升50倍。

立即体验

用中文搜PubMed

大模型驱动的PubMed中文搜索引擎

马上搜索

文档翻译

学术文献翻译模型,支持多种主流文档格式。

立即体验