Suppr超能文献

成人肾母细胞瘤:病例报告与文献综述

Adult Wilms' Tumor: Case Report and Literature Review.

作者信息

Vallejo Yepes Camilo, Bermudez Marcela, Camacho-Nieto Diego, Mesa Jorge, Bruges Ricardo

机构信息

Oncology, Instituto Nacional De Cancerología, Bogota, COL.

Oncology, Instituto Nacional de Cancerología, Bogotá, COL.

出版信息

Cureus. 2021 Jun 8;13(6):e15524. doi: 10.7759/cureus.15524. eCollection 2021 Jun.

Abstract

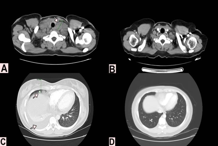
Wilms' tumor is childhood's most common renal tumor, and its presentation in the adult age is extremely rare. Due to the low frequency in adults, no standard management guidelines are available for this population, also the natural history of the disease and management is unclear. We present a case report of a 31-year-old woman with metastatic Wilms' tumor, with lymph node, lung and liver involvement; systemic treatment with chemotherapy was started, with complete clinical response. Finally, a literature review is performed to showcase the differences in the clinical course, prognosis, and treatment alternatives, in adult disease compared to childhood.

摘要

肾母细胞瘤是儿童期最常见的肾肿瘤,在成人中极为罕见。由于在成人中发病率低,尚无针对该人群的标准管理指南,而且该疾病的自然病程和管理尚不清楚。我们报告一例31岁转移性肾母细胞瘤女性病例,伴有淋巴结、肺和肝转移;开始进行化疗全身治疗,临床完全缓解。最后,进行文献综述以展示成人疾病与儿童疾病在临床病程、预后和治疗选择上的差异。

https://cdn.ncbi.nlm.nih.gov/pmc/blobs/8f26/8265692/e070dbb894db/cureus-0013-00000015524-i01.jpg

文献AI研究员

20分钟写一篇综述,助力文献阅读效率提升50倍。

立即体验

用中文搜PubMed

大模型驱动的PubMed中文搜索引擎

马上搜索

文档翻译

学术文献翻译模型,支持多种主流文档格式。

立即体验